相关产品推荐更多 >
万千商家帮你免费找货
0 人在求购买到急需产品
- 详细信息
- 文献和实验
- 技术资料
- 形态:
liquid
- 保存条件:
Store at -20˚C
- 克隆性:
Polyclonal
- 适应物种:
Hu Ms Rt
- 保质期:
12 months
- 抗原来源:
Rabbit
- 供应商:
南京赛戈巍生物科技有限公司
- 宿主:
Rabbit
- 应用范围:
WB
- 靶点:
Uniprot:P07954
- 抗体英文名:
Fumarase Antibody
- 规格:
50ul/100ul
配方:Rabbit IgG in phosphate buffered saline (without Mg2+ and Ca2+), pH 7.4, 150mM NaCl, 0.02% sodium azide and 50% glycerol.
应用详情:Western blotting: 1:1000~1:2000
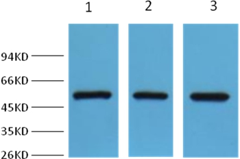
图片:

Western blot analysis of Hela (lane 1), mouse brain (lane 2) and HepG2 (lane 3), using #38002 diluted at 1:2,000.
风险提示:丁香通仅作为第三方平台,为商家信息发布提供平台空间。用户咨询产品时请注意保护个人信息及财产安全,合理判断,谨慎选购商品,商家和用户对交易行为负责。对于医疗器械类产品,请先查证核实企业经营资质和医疗器械产品注册证情况。
文献和实验延胡索酸酶(反丁烯二酸酶) fumarase 正式名称为延胡索酸水化酶( fumarate hydra- tase),是催化延胡索酸 H2 O L-苹果酸可逆进行相互转变反应的酶, EC4. 2. 1. 2.最适 pH=6.5-8.0。底物特异性非常严格,反应平衡偏右,生物界中广泛发现,可从肝脏、心肌、骨骼肌中提纯,从心肌中提纯结晶化的延胡索酸酶分子量约 20万,由四个多肽亚基构成,是三羧酸循环的酶,因此存在于线粒体基本结构中。
Generation of Antibody Molecules Through Antibody Engineering
been overcome to a large extent using genetic-engineering techniques to produce chimeric mouse/human and completely human antibodies. Such an approach is particularly suitable because of the domain structure of the antibody molecule ( 2 ), where functional
The importance of antibody molecules was first recognized in the 1890s, when it was shown that immunity to tetanus and diphtheria was caused by antibodies against the bacterial exotoxins (1 ). Around the same time, it was shown that antisera
技术资料暂无技术资料 索取技术资料





![VAV3 Rabbit Polyclonal Antibody[54028]](https://img1.dxycdn.com/p/s14/2025/0922/498/0460884283108299691.jpg!wh200)
![IGF2BP2 Conjugated Antibody[C56940]](https://img1.dxycdn.com/p/s14/2025/0922/632/2321321568067599691.jpg!wh200)
![SOX2 Antibody[43142]](https://img1.dxycdn.com/p/s14/2025/0922/568/0046652811090600791.jpg!wh200)
![KMT2C Conjugated Antibody[C46594]](https://img1.dxycdn.com/p/s14/2025/0923/305/2150219664296040791.jpg!wh200)

