相关产品推荐更多 >
万千商家帮你免费找货
0 人在求购买到急需产品
- 详细信息
- 技术资料
- 免疫原:
Synthetic peptide corresponding to residues near the C terminal of human pim-3 oncogene
- 形态:
liquid
- 保存条件:
Store at -20˚C
- 克隆性:
Polyclonal
- 适应物种:
Human;Mouse;Rat
- 保质期:
12 months
- 抗原来源:
Rabbit
- 供应商:
南京赛戈巍生物科技有限公司
- 宿主:
Rabbit
- 应用范围:
WB,IHC,ELISA
- 靶点:
Uniprot:Q86V86
- 抗体英文名:
PIM3 Antibody
- 规格:
50ul/100ul
配方:Rabbit IgG in pH7.3 PBS, 0.05% NaN3, 50% Glycerol.
应用详情:
Western blotting: 1:1000-1:5000
Immunohistochemistry: 1:50-1:200
图片:
![PIM3 Antibody[37701]](https://img1.dxycdn.com/p/s14/2025/0922/351/0635315867738799691.jpg)
Gel: 8%SDS-PAGELysate: 40 μgLane: Mouse brain tissue lysatePrimary antibody: 37701(PIM3 Antibody) at dilution 1/1350Secondary antibody: HRP-conjugated Goat anti rabbit IgG at 1/5000 dilutionExposure time: 5 seconds
,
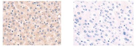
![PIM3 Antibody[37701]](https://img1.dxycdn.com/p/s14/2025/0922/693/2156739497738799691.jpg)
The image on the left is immunohistochemistry of paraffin-embedded Human liver cancer tissue using 37701(PIM3 Antibody) at dilution 1/50, on the right is treated with synthetic peptide. (Original magnification: ×200)
风险提示:丁香通仅作为第三方平台,为商家信息发布提供平台空间。用户咨询产品时请注意保护个人信息及财产安全,合理判断,谨慎选购商品,商家和用户对交易行为负责。对于医疗器械类产品,请先查证核实企业经营资质和医疗器械产品注册证情况。
技术资料暂无技术资料 索取技术资料


![PIM3 Antibody[37701]](https://img1.dxycdn.com/p/s14/2025/0922/359/6146153295428599691.jpg)


![GABRR2 Conjugated Antibody[C43672]](https://img1.dxycdn.com/p/s14/2025/0923/305/2150219664296040791.jpg!wh200)

![CCT3 antibody[38999]](https://img1.dxycdn.com/p/s14/2025/0922/359/6146153295428599691.jpg!wh200)
![TBL1Y Conjugated Antibody[C40352]](https://img1.dxycdn.com/p/s14/2025/0923/278/4431488150116040791.jpg!wh200)
