相关产品推荐更多 >
万千商家帮你免费找货
0 人在求购买到急需产品
- 详细信息
- 技术资料
- 免疫原:
Synthetic peptide corresponding to residues near the C terminal of human BRICK1, SCAR/WAVE actin-nucleating complex subunit
- 形态:
liquid
- 保存条件:
Store at -20˚C
- 克隆性:
Polyclonal
- 适应物种:
Human;Mouse
- 保质期:
12 months
- 抗原来源:
Rabbit
- 供应商:
南京赛戈巍生物科技有限公司
- 宿主:
Rabbit
- 应用范围:
WB IHC
- 靶点:
Uniprot:Q8WUW1
- 抗体英文名:
BRK1 Antibody
- 规格:
50ul/100ul
别名:MDS027; hHBrk1; C3orf10; HSPC300
配方:Rabbit IgG in pH7.3 PBS, 0.05% NaN3, 50% Glycerol.
应用详情:Western blotting: 1:500-1:2000
Immunohistochemistry: 1:50-1:200
图片:
配方:Rabbit IgG in pH7.3 PBS, 0.05% NaN3, 50% Glycerol.
应用详情:Western blotting: 1:500-1:2000
Immunohistochemistry: 1:50-1:200
图片:
![BRK1 Antibody[37618]](https://img1.dxycdn.com/p/s14/2025/0922/229/2975281004118799691.jpg)
Gel: 10%SDS-PAGE
Lysate: 40ug A172 cell
Primary antibody: 1/350 dilution
Secondary antibody dilution: 1/8000
Exposure time: 1 minute
,
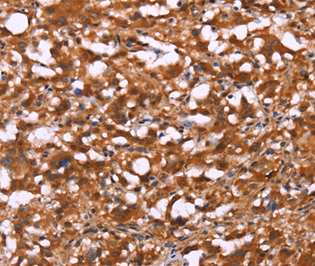
![BRK1 Antibody[37618]](https://img1.dxycdn.com/p/s14/2025/0922/999/6376937184118799691.jpg)
Immunohistochemical analysis of paraffin-embedded Human thyroid cancer tissue using #37618 at dilution 1/40.
风险提示:丁香通仅作为第三方平台,为商家信息发布提供平台空间。用户咨询产品时请注意保护个人信息及财产安全,合理判断,谨慎选购商品,商家和用户对交易行为负责。对于医疗器械类产品,请先查证核实企业经营资质和医疗器械产品注册证情况。
技术资料暂无技术资料 索取技术资料
BRK1 Antibody[37618]
询价


![BRK1 Antibody[37618]](https://img1.dxycdn.com/p/s14/2025/0922/359/6146153295428599691.jpg)


![MYL4 Antibody[45268]](https://img1.dxycdn.com/p/s14/2025/0922/568/0046652811090600791.jpg!wh200)
![SCG2 antibody[38903]](https://img1.dxycdn.com/p/s14/2025/0922/359/6146153295428599691.jpg!wh200)
![NDUFS2 Conjugated Antibody[C57126]](https://img1.dxycdn.com/p/s14/2025/0922/632/2321321568067599691.jpg!wh200)
