相关产品推荐更多 >
万千商家帮你免费找货
0 人在求购买到急需产品
- 详细信息
- 文献和实验
- 技术资料
- 免疫原:
Synthetic peptide corresponding to a region derived from internal residues of human Cancer/testis antigen 1
- 形态:
liquid
- 保存条件:
Store at -20˚C
- 克隆性:
Polyclonal
- 适应物种:
Human
- 保质期:
12 months
- 抗原来源:
Rabbit
- 供应商:
南京赛戈巍生物科技有限公司
- 宿主:
Rabbit
- 应用范围:
IHC
- 靶点:
Uniprot:P78358
- 抗体英文名:
CTAG1A/B Antibody
- 规格:
50ul/100ul
配方:Rabbit IgG in pH7.3 PBS, 0.05% NaN3, 50% Glycerol.
应用详情:Immunohistochemistry: 1:25-1:100
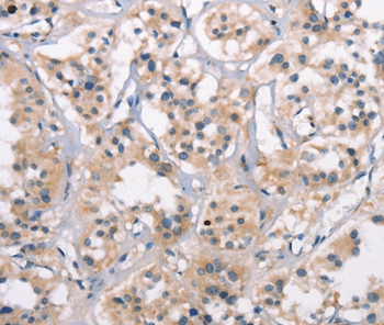
图片:

Immunohistochemical analysis of paraffin-embedded Human gastric cancer tissue using #37512 at dilution 1/25.
,

Immunohistochemical analysis of paraffin-embedded Human thyroid cancer tissue using #37512 at dilution 1/25.
风险提示:丁香通仅作为第三方平台,为商家信息发布提供平台空间。用户咨询产品时请注意保护个人信息及财产安全,合理判断,谨慎选购商品,商家和用户对交易行为负责。对于医疗器械类产品,请先查证核实企业经营资质和医疗器械产品注册证情况。
文献和实验Detection of Hepatitis B Virus X Antigen by Immunohistochemistry and Western Blotting
The genome of hepatitis B virus (HBV) is a partially double-stranded DNA molecule within virus particles that is approx 3.2 kbp long (1 ,2 ). It has four open reading frames, all on one strand, that encode the surface antigen or envelope
Abrogation of p53-Induced Apoptosis by the Hepatitis B Virus X Gene
Hepatocellular carcinoma (HCC) is one of the most prevalent malignant diseases worldwide and has become a leading cause for cancer-related deaths in adults from Asia and sub-Saharan Africa (1 ). The DNA tumor virus hepatitis B virus (HBV
8.0) in clean 16x125mm polypropylene test tube. If needed, adjust pH to 8.0 using 0.5M carbonate buffer. 2. Prepare fresh, 1mg/mL of either NHS-FITC in DMSO or 1mg/mL NHS-LC-Biotin in DH2O. If FITC coupling, add 75uL of FITC/DMSO solution to Antibody
技术资料暂无技术资料 索取技术资料





![Hemoglobin Polyclonal Antibody[42108]](https://img1.dxycdn.com/p/s14/2025/0922/568/0046652811090600791.jpg!wh200)
![SERTAD3 antibody[31814]](https://img1.dxycdn.com/p/s14/2025/0923/305/2150219664296040791.jpg!wh200)
![Desmin Antibody[48577]](https://img1.dxycdn.com/p/s14/2025/0923/496/0462304380155040791.jpg!wh200)

