相关产品推荐更多 >
万千商家帮你免费找货
0 人在求购买到急需产品
- 详细信息
- 文献和实验
- 技术资料
- 免疫原:
Synthetic peptide corresponding to a region derived from internal residues of human leukocyte immunoglobulin-like receptor, subfamily B (with TM and ITIM domains), member 3
- 形态:
liquid
- 保存条件:
Store at -20˚C
- 克隆性:
Polyclonal
- 适应物种:
Human
- 保质期:
12 months
- 抗原来源:
Rabbit
- 供应商:
南京赛戈巍生物科技有限公司
- 宿主:
Rabbit
- 应用范围:
IHC
- 靶点:
Uniprot:O75022
- 抗体英文名:
LILRB3 Antibody
- 规格:
50ul/100ul
配方:Rabbit IgG in pH7.3 PBS, 0.05% NaN3, 50% Glycerol.
应用详情:Immunohistochemistry: 1:15-1:50
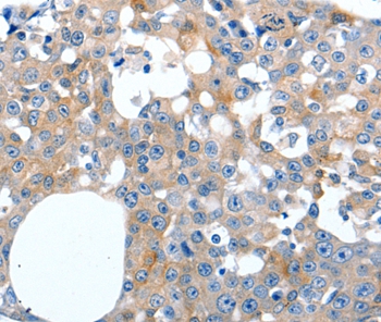
图片:

Immunohistochemical analysis of paraffin-embedded Human breast cancer tissue using #36936 at dilution 1/20.
风险提示:丁香通仅作为第三方平台,为商家信息发布提供平台空间。用户咨询产品时请注意保护个人信息及财产安全,合理判断,谨慎选购商品,商家和用户对交易行为负责。对于医疗器械类产品,请先查证核实企业经营资质和医疗器械产品注册证情况。
文献和实验施一公团队 2023 首秀!发现 APOE4 受体,揭示阿尔兹海默症潜在致病因子
2 日,西湖大学施一公团队在 Cell Research 在线发表题为 LilrB3 is a putative cell surface receptor of APOE4 的文章,该研究发现,白细胞免疫球蛋白样受体 B3(LilrB3)是 APOE4 的潜在细胞表面受体,两者可特异性结合,并阐明了这种特异性配体-受体识别的结构基础。同时,他们的研究发现,LilrB3 与 APOE4 结合还会触发小胶质细胞的激活。这些实验结果为 APOE 亚型依赖的功能和疾病研究提供了线索。 图片来源:Cell
Generation of Antibody Molecules Through Antibody Engineering
been overcome to a large extent using genetic-engineering techniques to produce chimeric mouse/human and completely human antibodies. Such an approach is particularly suitable because of the domain structure of the antibody molecule ( 2 ), where functional
The importance of antibody molecules was first recognized in the 1890s, when it was shown that immunity to tetanus and diphtheria was caused by antibodies against the bacterial exotoxins (1 ). Around the same time, it was shown that antisera
技术资料暂无技术资料 索取技术资料





![TACR3 Polyclonal Antibody[42339]](https://img1.dxycdn.com/p/s14/2025/0922/568/0046652811090600791.jpg!wh200)
![HES5 Conjugated Antibody[C56412]](https://img1.dxycdn.com/p/s14/2025/0922/632/2321321568067599691.jpg!wh200)
![DDX20 Conjugated Antibody[C33063]](https://img1.dxycdn.com/p/s14/2025/0923/278/4431488150116040791.jpg!wh200)

