相关产品推荐更多 >
万千商家帮你免费找货
0 人在求购买到急需产品
- 详细信息
- 文献和实验
- 技术资料
- 免疫原:
Synthetic peptide corresponding to a region derived from internal residues of human mitochondrially encoded cytochrome c oxidase II
- 形态:
liquid
- 保存条件:
Store at -20˚C
- 克隆性:
Polyclonal
- 适应物种:
Human
- 保质期:
12 months
- 抗原来源:
Rabbit
- 供应商:
南京赛戈巍生物科技有限公司
- 宿主:
Rabbit
- 应用范围:
WB,IHC,ELISA
- 靶点:
Uniprot:P00403
- 抗体英文名:
MT-CO2 Antibody
- 规格:
50ul/100ul
配方:Rabbit IgG in pH7.3 PBS, 0.05% NaN3, 50% Glycerol.
应用详情:
Western blotting: 1:500-1:2000
Immunohistochemistry: 1:10-1:50
图片:

Gel: 10%SDS-PAGE
Lysates (from left to right): Mouse heart tissue
Amount of lysate: 30ug per lane
Primary antibody: 1/150 dilution
Secondary antibody dilution: 1/8000
Exposure time: 30 seconds
,

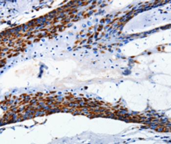
Immunohistochemical analysis of paraffin-embedded Human skin tissue using #36717 at dilution 1/5.
风险提示:丁香通仅作为第三方平台,为商家信息发布提供平台空间。用户咨询产品时请注意保护个人信息及财产安全,合理判断,谨慎选购商品,商家和用户对交易行为负责。对于医疗器械类产品,请先查证核实企业经营资质和医疗器械产品注册证情况。
文献和实验Notes: The key variable in MT spindown experiments is ATP. Under high ATP conditions,conventional MAPs are selectively co-sedimented with microtubules. In theabsence of ATP (or in presence of AMPPNP which induces rigor binding
CO2 fixation by the nervous system has been demonstrated with the use of 14 C-labeled bicarbonate in the retina (Crane and Ball, 1951), in the brain of 1-d-old mice (Moldave et al., 1953), and in the adult cat brain (Berl et al., 1962a,b
Microtubule (MT)/Organelle Motility Assays
) and minus (shorter, slower growing MTs) ends of the axonemes. During the observation of MT dynamics, allow the membrane mix to warm to room temperature. Perfuse 12 ul of membrane mix into the simple perfusion chamber on the microscope stage. Seal
技术资料暂无技术资料 索取技术资料





![PPP2R5D Conjugated Antibody[C57112]](https://img1.dxycdn.com/p/s14/2025/0922/632/2321321568067599691.jpg!wh200)
![MED6 Antibody[42787]](https://img1.dxycdn.com/p/s14/2025/0922/568/0046652811090600791.jpg!wh200)

![GM130 (cis-Golgi Marker) Antibody[48253]](https://img1.dxycdn.com/p/s14/2025/0923/496/0462304380155040791.jpg!wh200)
![MAPK12 Rabbit Polyclonal Antibody[53499]](https://img1.dxycdn.com/p/s14/2025/0922/498/0460884283108299691.jpg!wh200)

