相关产品推荐更多 >
万千商家帮你免费找货
0 人在求购买到急需产品
- 详细信息
- 技术资料
- 免疫原:
Fusion protein corresponding to residues near the C terminal of human myotubularin related protein 7
- 形态:
liquid
- 保存条件:
Store at -20˚C
- 克隆性:
Polyclonal
- 适应物种:
Human
- 保质期:
12 months
- 抗原来源:
Rabbit
- 供应商:
南京赛戈巍生物科技有限公司
- 宿主:
Rabbit
- 应用范围:
IHC
- 靶点:
Uniprot:Q9Y216
- 抗体英文名:
MTMR7 Antibody
- 规格:
50ul/100ul
别名:DKFZp781E194;MGC163449;MGC163451
配方:Rabbit IgG in pH7.3 PBS, 0.05% NaN3, 50% Glycerol.
应用详情:Immunohistochemistry: 1:50-1:200
图片:
配方:Rabbit IgG in pH7.3 PBS, 0.05% NaN3, 50% Glycerol.
应用详情:Immunohistochemistry: 1:50-1:200
图片:
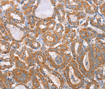
![MTMR7 Antibody[36184]](https://img1.dxycdn.com/p/s14/2025/0922/346/2196481786673799691.jpg)
Immunohistochemical analysis of paraffin-embedded Human thyroid cancer tissue using #36184 at dilution 1/40.
,
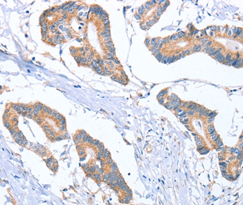
![MTMR7 Antibody[36184]](https://img1.dxycdn.com/p/s14/2025/0922/391/6180160486673799691.jpg)
Immunohistochemical analysis of paraffin-embedded Human colon cancer tissue using #36184 at dilution 1/40.
风险提示:丁香通仅作为第三方平台,为商家信息发布提供平台空间。用户咨询产品时请注意保护个人信息及财产安全,合理判断,谨慎选购商品,商家和用户对交易行为负责。对于医疗器械类产品,请先查证核实企业经营资质和医疗器械产品注册证情况。
技术资料暂无技术资料 索取技术资料
MTMR7 Antibody[36184]
询价


![MTMR7 Antibody[36184]](https://img1.dxycdn.com/p/s14/2025/0922/359/6146153295428599691.jpg)


![MYL1 Rabbit Polyclonal Antibody[55515]](https://img1.dxycdn.com/p/s14/2025/0922/498/0460884283108299691.jpg!wh200)
![HIP1R Conjugated Antibody[C27592]](https://img1.dxycdn.com/p/s14/2025/0923/305/2150219664296040791.jpg!wh200)

![ARHGEF3 Antibody[36134]](https://img1.dxycdn.com/p/s14/2025/0922/359/6146153295428599691.jpg!wh200)
