相关产品推荐更多 >
万千商家帮你免费找货
0 人在求购买到急需产品
- 详细信息
- 技术资料
- 免疫原:
Fusion protein corresponding to residues near the N terminal of human Kruppel-like factor 15
- 形态:
liquid
- 保存条件:
Store at -20˚C
- 克隆性:
Polyclonal
- 适应物种:
Human
- 保质期:
12 months
- 抗原来源:
Rabbit
- 供应商:
南京赛戈巍生物科技有限公司
- 宿主:
Rabbit
- 应用范围:
IHC
- 靶点:
Uniprot:Q9UIH9
- 抗体英文名:
KLF15 Antibody
- 规格:
50ul/100ul
别名:KKLF
配方:Rabbit IgG in pH7.3 PBS, 0.05% NaN3, 50% Glycerol.
应用详情:Immunohistochemistry: 1:25-1:100
图片:
配方:Rabbit IgG in pH7.3 PBS, 0.05% NaN3, 50% Glycerol.
应用详情:Immunohistochemistry: 1:25-1:100
图片:
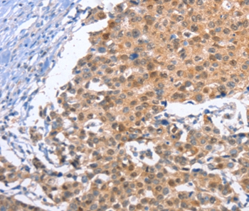
![KLF15 Antibody[35794]](https://img1.dxycdn.com/p/s14/2025/0922/207/8670278982262799691.jpg)
Immunohistochemical analysis of paraffin-embedded Human liver cancer tissue using #35794 at dilution 1/30.
,
![KLF15 Antibody[35794]](https://img1.dxycdn.com/p/s14/2025/0922/161/6125269782262799691.jpg)
Immunohistochemical analysis of paraffin-embedded Human breast cancer tissue using #35794 at dilution 1/30.
风险提示:丁香通仅作为第三方平台,为商家信息发布提供平台空间。用户咨询产品时请注意保护个人信息及财产安全,合理判断,谨慎选购商品,商家和用户对交易行为负责。对于医疗器械类产品,请先查证核实企业经营资质和医疗器械产品注册证情况。
技术资料暂无技术资料 索取技术资料
KLF15 Antibody[35794]
询价


![KLF15 Antibody[35794]](https://img1.dxycdn.com/p/s14/2025/0922/359/6146153295428599691.jpg)


![PFN4 Antibody[35884]](https://img1.dxycdn.com/p/s14/2025/0922/359/6146153295428599691.jpg!wh200)
![Ku-70 Polyclonal Antibody[41095]](https://img1.dxycdn.com/p/s14/2025/0922/568/0046652811090600791.jpg!wh200)
![TRBC1 Mouse mAb[64356]](https://img1.dxycdn.com/p/s14/2025/0922/632/2321321568067599691.jpg!wh200)
![LGALS3BP Rabbit mAb[52397]](https://img1.dxycdn.com/p/s14/2025/0922/498/0460884283108299691.jpg!wh200)
