相关产品推荐更多 >
万千商家帮你免费找货
0 人在求购买到急需产品
- 详细信息
- 文献和实验
- 技术资料
- 免疫原:
Synthetic Peptide
- 形态:
liquid
- 保存条件:
Store at -20˚C
- 克隆性:
Monoclonal
- 适应物种:
Human;Rat
- 保质期:
12 months
- 抗原来源:
Mouse
- 供应商:
南京赛戈巍生物科技有限公司
- 宿主:
Mouse
- 应用范围:
WB IHC
- 靶点:
Uniprot:P11021
- 抗体英文名:
GRP78/Bip Monoclonal Antibody(8G3)
- 规格:
50ul/100ul
配方:Liquid in PBS containing 50% glycerol, 0.5% BSA and 0.02% sodium azide.
应用详情:Western blotting: 1:1000-1:2000
Immunohistochemistry: 1:100-1:200
图片:

Western blot analysis of 1)Hela, 2) Rat LiverTissue with GRP78/Bip Mouse mAb diluted at 1:2,000.
,

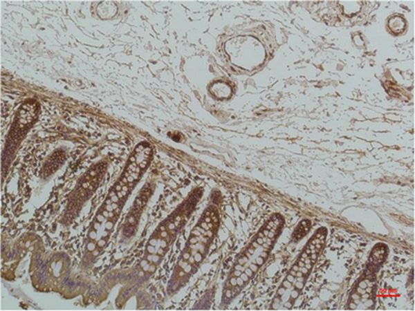
Immunohistochemical analysis of paraffin-embedded Human Colon Caricnoma using GRP78/BipMouse mAb diluted at 1:200.
,

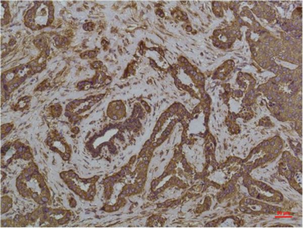
Immunohistochemical analysis of paraffin-embedded Human Breast Caricnoma using GRP78/BipMouse mAb diluted at 1:200.
风险提示:丁香通仅作为第三方平台,为商家信息发布提供平台空间。用户咨询产品时请注意保护个人信息及财产安全,合理判断,谨慎选购商品,商家和用户对交易行为负责。对于医疗器械类产品,请先查证核实企业经营资质和医疗器械产品注册证情况。
文献和实验the probe stay for 1.5 hrs RT for complete erythrocyte lysis Count platelets under a phase contrast microscope at x400 magnification using Neubauer hemocytometer SOLUTIONS The Unopette Reservoir
viral immunity pathogenesis group
the probe stay for 1.5 hrs RT for complete erythrocyte lysis Count platelets under a phase contrast microscope at x400 magnification using Neubauer hemocytometer SOLUTIONS The Unopette Reservoir
a subset of genomic DNA sequences of type 5'-(NNN )3 -3', whereas the 6ZF library would recognize a subset of genomic sequences of type 5'-(NNN )6 -3'. Given the zinc-finger domains used, both libraries were more likely to recognize (RNN)x -type sequences
技术资料暂无技术资料 索取技术资料





![SCF Conjugated Antibody[C48994]](https://img1.dxycdn.com/p/s14/2025/0923/305/2150219664296040791.jpg!wh200)
![DGKZ Conjugated Antibody[C37376]](https://img1.dxycdn.com/p/s14/2025/0923/278/4431488150116040791.jpg!wh200)

