相关产品推荐更多 >
万千商家帮你免费找货
0 人在求购买到急需产品
- 详细信息
- 技术资料
- 免疫原:
Recombinant fusion protein of human RPS27A (NP_001170884.1).
- 形态:
liquid
- 保存条件:
Store at -20˚C
- 克隆性:
Polyclonal
- 适应物种:
Human;Mouse;Rat
- 保质期:
12 months
- 抗原来源:
Rabbit
- 供应商:
南京赛戈巍生物科技有限公司
- 宿主:
Rabbit
- 应用范围:
WB,IHC,IF
- 靶点:
Uniprot:P62979
- 抗体英文名:
RPS27A antibody
- 规格:
50ul/100ul
别名:RPS27A;CEP80;HEL112;S27A;UBA80;UBC;UBCEP1;UBCEP80
配方:PBS with 0.02% sodium azide,50% glycerol,pH7.3.
应用详情:
图片:
配方:PBS with 0.02% sodium azide,50% glycerol,pH7.3.
应用详情:
WB 1:500 - 1:2000
IHC 1:50 - 1:200
IF:1:50 - 1:200
图片:
![RPS27A antibody[38336]](https://img1.dxycdn.com/p/s14/2025/0922/162/0297127660840899691.jpg)
Western blot analysis of extracts of various cell lines, using RPS27A antibody.
,
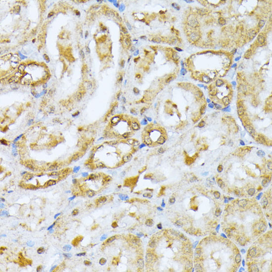
![RPS27A antibody[38336]](https://img1.dxycdn.com/p/s14/2025/0922/179/6940771021840899691.jpg)
Immunohistochemistry of paraffin-embedded rat kidney using RPS27A antibody.
,
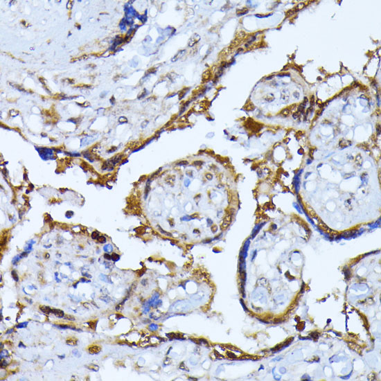
![RPS27A antibody[38336]](https://img1.dxycdn.com/p/s14/2025/0922/374/6313828021840899691.jpg)
Immunohistochemistry of paraffin-embedded human placenta using RPS27A antibody.
,
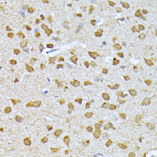
![RPS27A antibody[38336]](https://img1.dxycdn.com/p/s14/2025/0922/852/6161137811840899691.jpg)
Immunohistochemistry of paraffin-embedded mouse brain using RPS27A antibody.
风险提示:丁香通仅作为第三方平台,为商家信息发布提供平台空间。用户咨询产品时请注意保护个人信息及财产安全,合理判断,谨慎选购商品,商家和用户对交易行为负责。对于医疗器械类产品,请先查证核实企业经营资质和医疗器械产品注册证情况。
技术资料暂无技术资料 索取技术资料
RPS27A antibody[38336]
询价


![RPS27A antibody[38336]](https://img1.dxycdn.com/p/s14/2025/0922/359/6146153295428599691.jpg)


![MT-CO2 Conjugated Antibody[C36717]](https://img1.dxycdn.com/p/s14/2025/0923/278/4431488150116040791.jpg!wh200)
![BRD2 Mouse mAb[63165]](https://img1.dxycdn.com/p/s14/2025/0922/632/2321321568067599691.jpg!wh200)
![SLCO2B1 Antibody[43910]](https://img1.dxycdn.com/p/s14/2025/0922/568/0046652811090600791.jpg!wh200)
