相关产品推荐更多 >
万千商家帮你免费找货
0 人在求购买到急需产品
- 详细信息
- 文献和实验
- 技术资料
- 免疫原:
Recombinant protein within human Syntrophin alpha 1 aa 1-200.
- 形态:
liquid
- 保存条件:
Store at -20˚C
- 克隆性:
Monoclonal antibody
- 适应物种:
Human;Mouse
- 保质期:
12 months
- 抗原来源:
Recombinant Rabbit
- 供应商:
南京赛戈巍生物科技有限公司
- 宿主:
Recombinant Rabbit
- 应用范围:
WB,ICC,IF,IHC,FC
- 靶点:
Uniprot:Q13424
- 抗体英文名:
Syntrophin alpha 1 Rabbit mAb
- 规格:
50ul/100ul
Acidic alpha 1 syntrophin antibody
Alpha 1 syntrophin antibody
Alpha-1-syntrophin antibody
dJ1187J4.5 antibody
Dystrophin associated protein A1 59kDa acidic component antibody
LQT12 antibody
OTTHUMP00000030650 antibody
Pro-TGF-alpha cytoplasmic domain-interacting protein 1 antibody
SNT1 antibody
Snta1 antibody
SNTA1_HUMAN antibody
Syntrophin 1 antibody
Syntrophin-1 antibody
TACIP1 antibody
计算分子量:54 kDa
配方:1*TBS (pH7.4), 1%BSA, 40%Glycerol. Preservative: 0.05% Sodium Azide.
应用详情:WB: 1:500
IHC: 1:50-1:200
ICC: 1:50-1:200
FC: 1:50-1:200
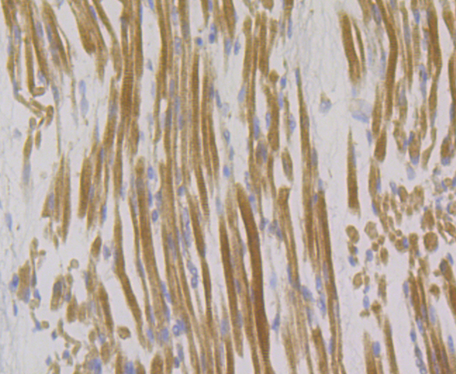
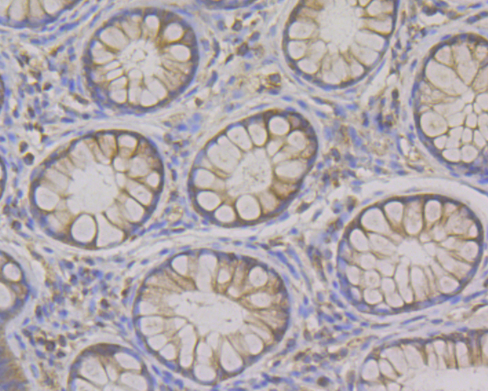
图片:

Western blot analysis of Syntrophin alpha 1 on SiHa cells lysates using anti-Syntrophin alpha 1 antibody at 1/1,000 dilution.
,

Immunohistochemical analysis of paraffin-embedded human skeletal muscle tissue using anti-Syntrophin alpha 1 antibody. Counter stained with hematoxylin.
,

Immunohistochemical analysis of paraffin-embedded mouse colon tissue using anti-Syntrophin alpha 1 antibody. Counter stained with hematoxylin.
,

Immunohistochemical analysis of paraffin-embedded mouse skeletal muscle tissue using anti-Syntrophin alpha 1 antibody. Counter stained with hematoxylin.
,

Immunohistochemical analysis of paraffin-embedded human colon tissue using anti-Syntrophin alpha 1 antibody. Counter stained with hematoxylin.
,

ICC staining Syntrophin alpha 1 in LOVO cells (green). The nuclear counter stain is DAPI (blue). Cells were fixed in paraformaldehyde, permeabilised with 0.25% Triton X100/PBS.
,

ICC staining Syntrophin alpha 1 in SiHa cells (green). The nuclear counter stain is DAPI (blue). Cells were fixed in paraformaldehyde, permeabilised with 0.25% Triton X100/PBS.
,

ICC staining Syntrophin alpha 1 in HepG2 cells (green). The nuclear counter stain is DAPI (blue). Cells were fixed in paraformaldehyde, permeabilised with 0.25% Triton X100/PBS.
,

Flow cytometric analysis of LOVO cells with Syntrophin alpha 1 antibody at 1/100 dilution (purple) compared with an unlabelled control (cells without incubation with primary antibody; yellow). Alexa Fluor 488-conjugated goat anti-rabbit IgG was used as the secondary antibody.
风险提示:丁香通仅作为第三方平台,为商家信息发布提供平台空间。用户咨询产品时请注意保护个人信息及财产安全,合理判断,谨慎选购商品,商家和用户对交易行为负责。对于医疗器械类产品,请先查证核实企业经营资质和医疗器械产品注册证情况。
文献和实验Immunohistochemistry / Immunocytochemistry Procedures
of fixative for each antigen. However frozen sections give less morphological detail and resolution than other methods. Rabbit anti-alpha-internexin (Cat No. AB5354
High‐Throughput, Multiplexed Analysis of 3‐Nitrotyrosine in Individual Proteins
.1 ) Phosphate‐buffered saline (PBS; Fisher Scientific) Alexa Fluor 546–conjugated goat anti—rabbit IgG (Invitrogen, cat. no. A‐11035
技术资料暂无技术资料 索取技术资料






![MARS Conjugated Antibody[C31774]](https://img1.dxycdn.com/p/s14/2025/0923/305/2150219664296040791.jpg!wh200)
![MKS1 Antibody[40007]](https://img1.dxycdn.com/p/s14/2025/0922/568/0046652811090600791.jpg!wh200)
![Nucleostemin Antibody[39394]](https://img1.dxycdn.com/p/s14/2025/0922/359/6146153295428599691.jpg!wh200)
