相关产品推荐更多 >
万千商家帮你免费找货
0 人在求购买到急需产品
- 详细信息
- 文献和实验
- 技术资料
- 免疫原:
Peptide sequence around phosphorylation site of tyrosine 513 (K-K-Y(p)-V-R) derived from Human DDR1 .
- 形态:
liquid
- 保存条件:
Store at -20˚C
- 克隆性:
Polyclonal
- 适应物种:
Human
- 保质期:
12 months
- 抗原来源:
Rabbit
- 供应商:
南京赛戈巍生物科技有限公司
- 宿主:
Rabbit
- 应用范围:
WB IHC
- 靶点:
Uniprot:Q08345
- 抗体英文名:
DDR1 (Phospho-Tyr513) Antibody
- 规格:
50ul/100ul
配方:Rabbit IgG in phosphate buffered saline (without Mg2+ and Ca2+), pH 7.4, 150mM NaCl, 0.02% sodium azide and 50% glycerol.
应用详情:
Western blotting: 1:500~1:1000
Immunohistochemistry: 1:50~1:100
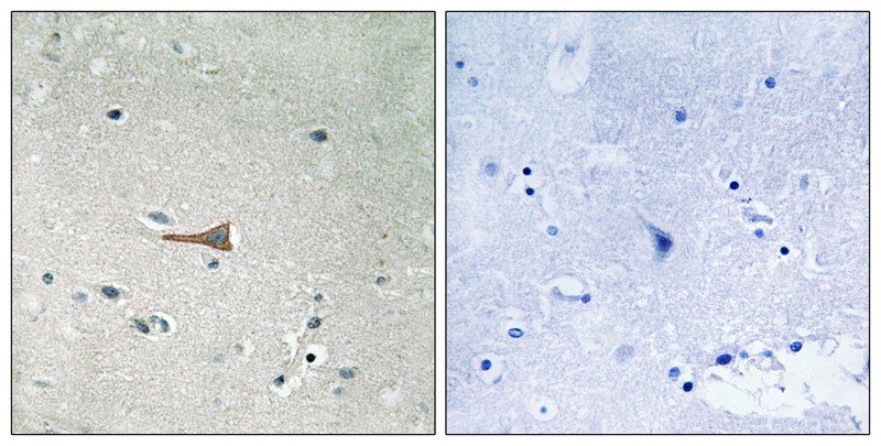
图片:

Western blot analysis of extracts from JK cells (Lane 2), using DDR1 (Phospho-Tyr513) Antibody #11770. The lane on the left is treated with antigen-specific peptide.
,

Immunohistochemical analysis of paraffin-embedded human brain tissue using DDR1 (Phospho-Tyr513) antibody #11770 (left)or the same antibody preincubated with blocking peptide (right).
风险提示:丁香通仅作为第三方平台,为商家信息发布提供平台空间。用户咨询产品时请注意保护个人信息及财产安全,合理判断,谨慎选购商品,商家和用户对交易行为负责。对于医疗器械类产品,请先查证核实企业经营资质和医疗器械产品注册证情况。
文献和实验运用Cell Based Elisa检测信号通路蛋白和磷酸化蛋白
using Phospho-p38 antibody (A) and Total-p38 antibody (B). Cell Based Elisa were performed directly in the 96-well plates using Phospho-p38 and Total-p38 antibodies (C). Figure 3: JNK detection with FACECells were serum-starved for 16 hours
。所以,我们建议使用微波炉或高压锅加热煮沸以达到最佳抗原修复效果。抗体:Phospho–Stat3 (Tyr705)(D3A7) XP. Rabbit mAb #9145样本:石蜡包埋人类肺部肿瘤样本煮沸设备:浴锅 (左),微波炉 (中),高压锅 (右)免疫染色—封闭在 IHC–P 中,我们建议在室温下在含有 Tween20 的 TBST 缓冲液和 5% 正常山羊血清 (NGS) 中封闭样品,时长 1 小时,以防止非特异性背景染色。在进行 IHC–F 时,在含有 0.3% Triton. X–100 的 1X
v468. chapter 4 WNT 细胞通路 检测细胞GSK3活性与表达水平
. Immunoblot using antibodies to phospho-Tyr279/216 can assess alterations in activity independent ofthe N-terminal phosphorylation, although phosphorylation atthis site is most likely to be constitutive (14) . 3. Immunoblot using antibodies to known
技术资料暂无技术资料 索取技术资料





![PARP-1 (Acetyl-K521) Polyclonal Antibody[HW188]](https://img1.dxycdn.com/p/s14/2025/0922/568/0046652811090600791.jpg!wh200)
![phospho-IRE1 (Ser724) Polyclonal Antibody HRP Conjugated[C91216HRP]](https://img1.dxycdn.com/p/s14/2025/0922/498/0460884283108299691.jpg!wh200)
![CACNA1G Conjugated Antibody[C37455]](https://img1.dxycdn.com/p/s14/2025/0923/278/4431488150116040791.jpg!wh200)
![MBOAT4 Antibody[47576]](https://img1.dxycdn.com/p/s14/2025/0923/496/0462304380155040791.jpg!wh200)


