相关产品推荐更多 >
万千商家帮你免费找货
0 人在求购买到急需产品
- 详细信息
- 文献和实验
- 技术资料
- 免疫原:
Peptide sequence around phosphorylation site of Serine 104(I-P-S(p)-A-K) derived from Human PEA-15.
- 形态:
liquid
- 保存条件:
Store at -20˚C
- 克隆性:
Polyclonal
- 适应物种:
Human;Mouse;Rat
- 保质期:
12 months
- 抗原来源:
Rabbit
- 供应商:
南京赛戈巍生物科技有限公司
- 宿主:
Rabbit
- 应用范围:
WB IHC
- 靶点:
Uniprot:Q15121
- 抗体英文名:
PEA-15 (Phospho-Ser104) Antibody
- 规格:
50ul/100ul
配方:Rabbit IgG in phosphate buffered saline (without Mg2+ and Ca2+), pH 7.4, 150mM NaCl, 0.02% sodium azide and 50% glycerol.
应用详情:
Western blotting: 1:500~1:1000
Immunohistochemistry: 1:50~1:100
图片:

Western blot analysis of extracts from COS cells treated with TNF using PEA-15 (Phospho-Ser104) Antibody #11676.The lane on the right is treated with the antigen-specific peptide.
,

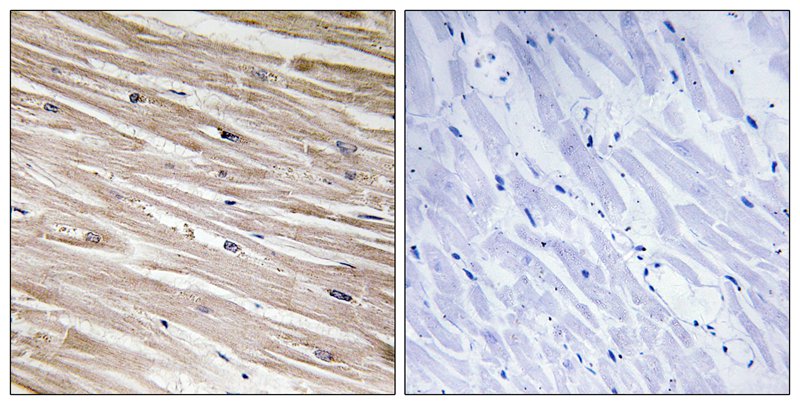
Immunohistochemical analysis of paraffin-embedded human heart tissue using PEA-15 (Phospho-Ser104) antibody #11676 (left)or the same antibody preincubated with blocking peptide (right).
风险提示:丁香通仅作为第三方平台,为商家信息发布提供平台空间。用户咨询产品时请注意保护个人信息及财产安全,合理判断,谨慎选购商品,商家和用户对交易行为负责。对于医疗器械类产品,请先查证核实企业经营资质和医疗器械产品注册证情况。
文献和实验人骨成型蛋白-15 ( BMP-15 )ELISA 试剂盒 ( 用于血清、血浆、细胞培养上清液和尿液、骨组织裂解物生物体液内 ) 原理 本实验采用双抗体夹心 ABC-ELISA 法。用抗人 BMP-15 单抗包被于酶标板上,标准品和样品中的 BMP-15与单抗结合,加入生物素化的抗人 BMP-15 ,形成免疫复合物连接在板上,辣根过氧化物酶标记的 Streptavidin 与生物素结合,加入底物
上海西唐生物科技有限公司 021-55229872, 65333639 www.westang.com 大鼠白介素 -15(IL-15)ELISA 试剂盒 ( 用于血清、血浆、细胞培养上清液和其它生物体液内 ) 原理 本实验采用双抗体夹心 ABC-ELISA 法。用抗大鼠 IL-15 单抗包被于酶标板上,标准品和样品中的 IL-15 与单抗结合,加入生物素化的抗大鼠 IL-15 ,形成免疫复合物连接
人生长分化因子-15(GDF-15)ELISA试剂盒 说明书
上海西唐生物科技有限公司 021-55229872, 65333639 www.westang.com 人生长分化因子-15 ( GDF-15 )ELISA 试剂盒 ( 用于血清、血浆、细胞培养上清液和其它生物体液内 ) 原理 本实验采用双抗体夹心 ABC-ELISA 法。用抗人 GDF-15 单抗包被于酶标板上,标准品和样品中的 GDF-15与单抗结合,加入生物
技术资料暂无技术资料 索取技术资料





![BAAT Conjugated Antibody[C36274]](https://img1.dxycdn.com/p/s14/2025/0923/278/4431488150116040791.jpg!wh200)
![Orexin Prepro antibody[62151]](https://img1.dxycdn.com/p/s14/2025/0922/632/2321321568067599691.jpg!wh200)
![MGEA5 Rabbit Polyclonal Antibody[55581]](https://img1.dxycdn.com/p/s14/2025/0922/498/0460884283108299691.jpg!wh200)
![CLTCL1 Conjugated Antibody[C46520]](https://img1.dxycdn.com/p/s14/2025/0923/305/2150219664296040791.jpg!wh200)

