相关产品推荐更多 >
万千商家帮你免费找货
0 人在求购买到急需产品
- 详细信息
- 文献和实验
- 技术资料
- 免疫原:
Peptide sequence around phosphorylation site of tyrosine 501 (R-Q-Y(p)-E-L) derived from Human BLK.
- 形态:
liquid
- 保存条件:
Store at -20˚C
- 克隆性:
Polyclonal
- 适应物种:
Human
- 保质期:
12 months
- 抗原来源:
Rabbit
- 供应商:
南京赛戈巍生物科技有限公司
- 宿主:
Rabbit
- 应用范围:
IHC
- 靶点:
Uniprot:P51451
- 抗体英文名:
BLK (Phospho-Tyr501) Antibody
- 规格:
50ul/100ul
配方:Rabbit IgG in phosphate buffered saline (without Mg2+ and Ca2+), pH 7.4, 150mM NaCl, 0.02% sodium azide and 50% glycerol.
应用详情:
Immunohistochemistry: 1:50~1:100
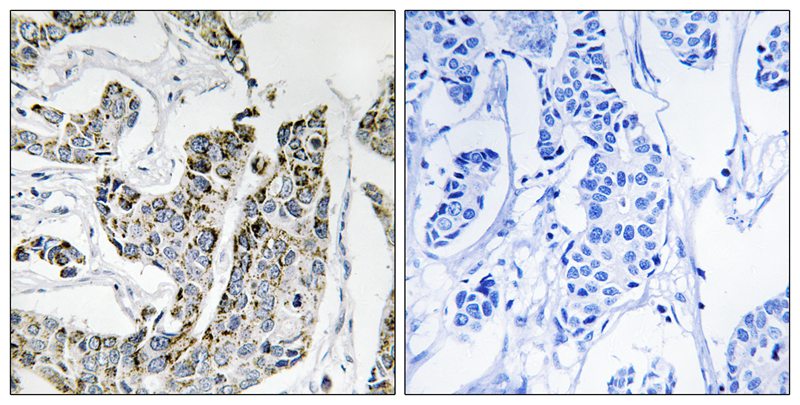
图片:

Immunohistochemical analysis of paraffin-embedded human breast carcinoma tissue using BLK (Phospho-Tyr501) antibody #11727 (left)or the same antibody preincubated with blocking peptide (right).
风险提示:丁香通仅作为第三方平台,为商家信息发布提供平台空间。用户咨询产品时请注意保护个人信息及财产安全,合理判断,谨慎选购商品,商家和用户对交易行为负责。对于医疗器械类产品,请先查证核实企业经营资质和医疗器械产品注册证情况。
文献和实验运用Cell Based Elisa检测信号通路蛋白和磷酸化蛋白
using Phospho-p38 antibody (A) and Total-p38 antibody (B). Cell Based Elisa were performed directly in the 96-well plates using Phospho-p38 and Total-p38 antibodies (C). Figure 3: JNK detection with FACECells were serum-starved for 16 hours
祝贺〖雅裕睿安〗成为Signalway Antibody(SAB)独家
货号T501,产品描述:HA-Tag Rabbit Polyclonal Antibody;规格 50 ul / 100 ul; 货号T503,产品描述:Anti-DYKDDDDK Polyclonal Antibody;规格 50 ul / 100 ul; 货号T504,产品描述:Myc-Tag Mouse Monoclonal Antibody;规格 50 ul / 100 ul; 货号
【共享】如何检测GFP、GFP、YFP、EYFP、CFP抗体?
以及定位分析。那么该如何检测GFP其他的一些突变体,如EGFP、YFP、EYFP、CFP的表达和定位呢?我们来看一下GFP标签与其它突变体标签的关系。YFP(Yellow Fluorescent Protein)是黄色荧光蛋白,其序列与GFP基本相同。YFP就是把Thr203以Tyr取代,这样的GFP不发出绿色荧光,而发出较长波长的黄色荧光,也就是YFP。因此两者最大的区别则是发射波长了,在其他序列上没有区别。而EGFP是增强型的GFP,发生了双氨基酸取代,Leu(亮氨酸)取代GFP上的Phe64
技术资料暂无技术资料 索取技术资料





![H3F3C Antibody[35766]](https://img1.dxycdn.com/p/s14/2025/0922/359/6146153295428599691.jpg!wh200)

![Rabbit Anti-Horse IgG (H&L) - AF568[L35331]](https://img1.dxycdn.com/p/s14/2025/0922/498/0460884283108299691.jpg!wh200)
![Heterogeneous nuclear ribonucleoprotein Q Polyclonal Antibody[42390]](https://img1.dxycdn.com/p/s14/2025/0922/568/0046652811090600791.jpg!wh200)
![PHF2 Antibody[47783]](https://img1.dxycdn.com/p/s14/2025/0923/496/0462304380155040791.jpg!wh200)

