相关产品推荐更多 >
万千商家帮你免费找货
0 人在求购买到急需产品
- 详细信息
- 文献和实验
- 技术资料
- 免疫原:
Peptide sequence around phosphorylation site of threonine 202(R-K-T(p)-L-N) derived from Human Synaptotagmin.
- 形态:
liquid
- 保存条件:
Store at -20˚C
- 克隆性:
Polyclonal
- 适应物种:
Human;Mouse;Rat
- 保质期:
12 months
- 抗原来源:
Rabbit
- 供应商:
南京赛戈巍生物科技有限公司
- 宿主:
Rabbit
- 应用范围:
WB IHC
- 靶点:
Uniprot:P21579
- 抗体英文名:
Synaptotagmin (Phospho-Thr202) Antibody
- 规格:
50ul/100ul
配方:Rabbit IgG in phosphate buffered saline (without Mg2+ and Ca2+), pH 7.4, 150mM NaCl, 0.02% sodium azide and 50% glycerol.
应用详情:
Western blotting: 1:500~1:1000
Immunohistochemistry: 1:50~1:100
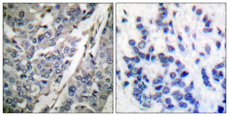
图片:

Western blot analysis of extracts from colo cells (Lane 2), using Synaptotagmin (Phospho-Thr202) Antibody #11645. The lane on the left is treated with antigen-specific peptide.
,

Immunohistochemical analysis of paraffin-embedded human breast carcinoma tissue using Synaptotagmin (phospho-Thr202) antibody #11645 (left)or the same antibody preincubated with blocking peptide (right).
风险提示:丁香通仅作为第三方平台,为商家信息发布提供平台空间。用户咨询产品时请注意保护个人信息及财产安全,合理判断,谨慎选购商品,商家和用户对交易行为负责。对于医疗器械类产品,请先查证核实企业经营资质和医疗器械产品注册证情况。
文献和实验运用Cell Based Elisa检测信号通路蛋白和磷酸化蛋白
using Phospho-p38 antibody (A) and Total-p38 antibody (B). Cell Based Elisa were performed directly in the 96-well plates using Phospho-p38 and Total-p38 antibodies (C). Figure 3: JNK detection with FACECells were serum-starved for 16 hours
9921 Phospho-PKC Antibody Sampler Kit 9375 Phospho-PKCalpha/beta II (Thr638/641) Antibody W IP 9374 Phospho-PKCdelta (Thr505) Antibody W IHC 9376 Phospho-PKCdelta/theta (Ser643/676) Antibody W IHC 9377 Phospho-PKCtheta (Thr538
domains as well as ataxia telangiectasia mutated (ATM) protein kinase in cells treated with inhibitors of DNA replication. Phosphorylation of these proteins is detected in individual cell immunocytochemically with phospho-specific antibody (Ab
技术资料暂无技术资料 索取技术资料






![Adducin α (phospho-Thr445) Polyclonal Antibody[14109]](https://img1.dxycdn.com/p/s14/2025/0922/498/0460884283108299691.jpg!wh200)
![LMTK2 Conjugated Antibody[C33961]](https://img1.dxycdn.com/p/s14/2025/0923/278/4431488150116040791.jpg!wh200)
![NOL10 Conjugated Antibody[C47840]](https://img1.dxycdn.com/p/s14/2025/0923/305/2150219664296040791.jpg!wh200)

