相关产品推荐更多 >
万千商家帮你免费找货
0 人在求购买到急需产品
- 详细信息
- 文献和实验
- 技术资料
- 免疫原:
Peptide sequence around phosphorylation site of tyrosine 770 (T-E-Y(p)-M-T) derived from Human c-Cbl.
- 形态:
liquid
- 保存条件:
Store at -20˚C
- 克隆性:
Polyclonal
- 适应物种:
Human
- 保质期:
12 months
- 抗原来源:
Rabbit
- 供应商:
南京赛戈巍生物科技有限公司
- 宿主:
Rabbit
- 应用范围:
WB IHC IF
- 靶点:
Uniprot:P22681
- 抗体英文名:
c-Cbl(phospho-Tyr700) Antibody
- 规格:
50ul/100ul
配方:Supplied at 1.0mg/mL in phosphate buffered saline (without Mg2+ and Ca2+), pH 7.4, 150mM NaCl, 0.02% sodium azide and 50% glycerol.
应用详情:Predicted MW: 120kd
Western blotting: 1:500~1:1000
Immunohistochemistry: 1:50~1:100
Immunofluorescence: 1:100~1:200
图片:

Western blot analysis of extracts from HT29 cells untreated or treated with UV using c-Cbl(phospho-Tyr700) Antibody #11549.
,

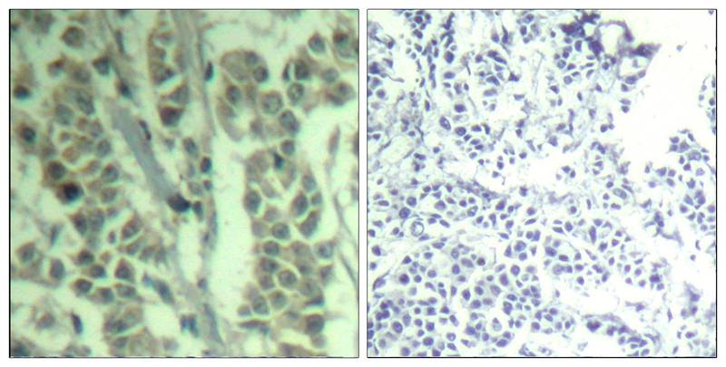
Immunohistochemical analysis of paraffin-embedded human breast carcinoma tissue using c-Cbl(Phospho-Tyr700) Antibody #11549(left) or the same antibody preincubated with blocking peptide(right).
,

Immunofluorescence staining of methanol-fixed Hela cells using c-Cbl(phospho-Tyr700) Antibody #11549.
风险提示:丁香通仅作为第三方平台,为商家信息发布提供平台空间。用户咨询产品时请注意保护个人信息及财产安全,合理判断,谨慎选购商品,商家和用户对交易行为负责。对于医疗器械类产品,请先查证核实企业经营资质和医疗器械产品注册证情况。
文献和实验Generation of Antibody Molecules Through Antibody Engineering
Twenty-five years ago, Georges K�hler and C�sar Milstein invented a means of cloning individual antibodies, thus opening up the way for tremendous advances in the fields of cell biology and clinical diagnostics ( 1 ). However, in spite
volumes running buffer (the serum albumin should stick to the column and the Ig should flow through).(6) On ice slowly add saturated ammonium sulfate to 45% (550 ml sample 450 ml saturated ammonium sulfate). Tilt overnight at 4°C.(7) Pellet by spinning
has eluted into the column. c) Add 5mL of PBS on top. d)Open Stopcock. collect in 2mL fractions, discarding the first 2mL and keeping the 2nd 2mL fraction. The second 2mL fraction contains the conjugated antibody*. *NOTE: Step d) appropriate only if 1mL
技术资料暂无技术资料 索取技术资料





![TIM3 Conjugated Antibody[C28301]](https://img1.dxycdn.com/p/s14/2025/0923/305/2150219664296040791.jpg!wh200)
![MerTK/Tyro3 Polyclonal Antibody[48799]](https://img1.dxycdn.com/p/s14/2025/0922/632/2321321568067599691.jpg!wh200)
![FGF13 Antibody[35216]](https://img1.dxycdn.com/p/s14/2025/0922/359/6146153295428599691.jpg!wh200)
![FZR1 Antibody[43031]](https://img1.dxycdn.com/p/s14/2025/0922/568/0046652811090600791.jpg!wh200)

