相关产品推荐更多 >
万千商家帮你免费找货
0 人在求购买到急需产品
- 详细信息
- 文献和实验
- 技术资料
- 免疫原:
Peptide sequence around phosphorylation site of tyrosine 204 (T-E-Y(p)-V-A) derived from Human p44/42 MAP Kinase.
- 形态:
liquid
- 保存条件:
Store at -20˚C
- 克隆性:
Polyclonal
- 适应物种:
Human;Mouse;Rat
- 保质期:
12 months
- 抗原来源:
Rabbit
- 供应商:
南京赛戈巍生物科技有限公司
- 宿主:
Rabbit
- 应用范围:
WB IHC IF
- 靶点:
Uniprot:P27361
- 抗体英文名:
p44/42 MAP Kinase(Phospho-Tyr204) Antibody
- 规格:
50ul/100ul
配方:Supplied at 1.0mg/mL in phosphate buffered saline (without Mg2+ and Ca2+), pH 7.4, 150mM NaCl, 0.02% sodium azide and 50% glycerol.
应用详情:
Predicted MW: 42 44 kd
Western blotting: 1:500~1:1000
Immunohistochemistry: 1:50~1:100
Immunofluorescence: 1:100~1:200
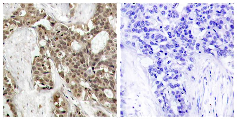
图片:

Immunohistochemical analysis of paraffin-embedded human breast carcinoma tissue using p44/42 MAP Kinase (Phospho-Tyr204) Antibody #11246 (left) or the same antibody preincubated with blocking peptide #51246 (right).
,

Western blot analysis of extracts from SK-BR-3 cells, treated with insulin and EGF, and pretreated with U0126 and LY294002 cells using p44/42 MAP Kinase (Phospho-Tyr204) Antibody #11246.
,

Immunofluorescence staining of methanol-fixed Hela cells showing centrosome and nuclear staining using p44/42 MAP Kinase (Phospho-Tyr204) Antibody #11246.
,

Western blot analysis of various lysates using p44/42 MAP Kinase(Phospho-Tyr204) Antibody at 1:500 dilution.Secondary antibody: HRP-conjugated Goat anti-Rabbit IgG (H+L) (L3012) at 1:10000 dilution.Lysates/proteins: 25μg per lane.
风险提示:丁香通仅作为第三方平台,为商家信息发布提供平台空间。用户咨询产品时请注意保护个人信息及财产安全,合理判断,谨慎选购商品,商家和用户对交易行为负责。对于医疗器械类产品,请先查证核实企业经营资质和医疗器械产品注册证情况。
文献和实验Direct Kinase Assay Screening for Inhibitors of MAP Kinase
An important convergence point involved in the signal transduction pathways of many different growth factors, hormones, and cytokines are the p42 and p44 serine/ threonine kinases called either MAP kinases (mitogen-activate protein kinases
运用Cell Based Elisa检测信号通路蛋白和磷酸化蛋白
也有类似产品。在我们这里先介绍两种目的蛋白的检测实验,we presented data on two targets: p38 mitogen activated protein kinase (MAPK) and stress-activated protein kinase/Jun-terminal kinase (SAPK/JNK)其中P38 MAPK和JNK是参与到separate MAP kinase cascade pathways and function mainly
Using Phospho‐Motif Antibodies to Determine Kinase Substrates
comprising both the phosphorylated residue and the surrounding residues that determine kinase specificity, with degenerate residues taking up the remaining positions. Currently, several categories of phospho?motif antibody are commercially available
技术资料暂无技术资料 索取技术资料






![RRM1 Rabbit Polyclonal Antibody[53692]](https://img1.dxycdn.com/p/s14/2025/0922/498/0460884283108299691.jpg!wh200)
![PYCR2 Conjugated Antibody[C28844]](https://img1.dxycdn.com/p/s14/2025/0923/305/2150219664296040791.jpg!wh200)
![NXPH2 Antibody[46080]](https://img1.dxycdn.com/p/s14/2025/0922/568/0046652811090600791.jpg!wh200)

