相关产品推荐更多 >
万千商家帮你免费找货
0 人在求购买到急需产品
- 详细信息
- 文献和实验
- 技术资料
- 免疫原:
Recombinant protein fragment contain a sequence corresponding to a region within amino acids 497 and 707 of cyclin T2
- 形态:
liquid
- 保存条件:
Store at -20˚C
- 克隆性:
Polyclonal
- 适应物种:
Human
- 保质期:
12 months
- 抗原来源:
Rabbit
- 供应商:
南京赛戈巍生物科技有限公司
- 宿主:
Rabbit
- 应用范围:
WB IHC IF
- 抗体英文名:
cyclin T2 antibody
- 规格:
50ul/100ul
应用详情:
Predicted MW: 81kd
Western blotting: 1:500-1:3000
Immunohistochemistry: 1:100-1:250
Immunofluorescence: 1:100-1:200
图片:

Sample (30 ug of whole cell lysate)
A: Hep G2
7.5% SDS PAGE
Primary antibody diluted at 1: 1000
,

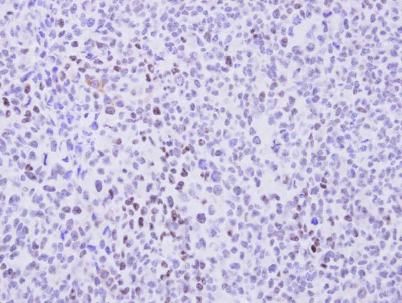
Immunohistochemical analysis of paraffin-embedded H1299 Xenograft, using cyclin T2 antibody at 1: 100 dilution.
,

Immunofluorescence analysis of paraformaldehyde-fixed A431, using cyclin T2 antibody at 1: 200 dilution.
风险提示:丁香通仅作为第三方平台,为商家信息发布提供平台空间。用户咨询产品时请注意保护个人信息及财产安全,合理判断,谨慎选购商品,商家和用户对交易行为负责。对于医疗器械类产品,请先查证核实企业经营资质和医疗器械产品注册证情况。
文献和实验Immunodetection of cyclin D1 and D2/D3 using flow cytometry
that has been kept -20°C. Incubate the cells for at least two hours. Wash once with staining buffer and decant. Add the primary anti-cyclin antibody in a volume of 200 µ l. Incubate overnight at 4°C. Wash twice with cold cyclin staining buffer and add the Cy
Measurement of Changes in Cdk2 and Cyclin O-Associated Kinase Activity in Apoptosis
and members of the Bcl-2 protein family. In this chapter, we describe methods for measuring changes in Cdk2 activity during apoptosis. In addition, we also show the details of the generation of an antibody able to immunoprecipitate the cyclin O complexes
Orderly progression of the eukaryotic cell cycle is governed by a coordinated response to intrinsic and extracellular cues through activation of cyclin-dependent kinases (CDKs). It is therefore important to verify the kinase activity
技术资料暂无技术资料 索取技术资料





![LAG3 Polyclonal Conjugated Antibody[C41851]](https://img1.dxycdn.com/p/s14/2025/0923/278/4431488150116040791.jpg!wh200)

![EXOG Polyclonal Antibody[30448]](https://img1.dxycdn.com/p/s14/2025/0923/305/2150219664296040791.jpg!wh200)
![APLF Antibody[36118]](https://img1.dxycdn.com/p/s14/2025/0922/359/6146153295428599691.jpg!wh200)

