相关产品推荐更多 >
万千商家帮你免费找货
0 人在求购买到急需产品
- 详细信息
- 文献和实验
- 技术资料
- 免疫原:
Recombinant protein of human GADD45A.
- 形态:
liquid
- 保存条件:
Store at -20˚C
- 克隆性:
Polyclonal
- 适应物种:
Human;Mouse;Rat
- 保质期:
12 months
- 抗原来源:
Rabbit
- 供应商:
南京赛戈巍生物科技有限公司
- 宿主:
Rabbit
- 应用范围:
WB,IHC,IF
- 靶点:
Uniprot:P24522
- 抗体英文名:
GADD45A Antibody
- 规格:
50ul/100ul
配方:Supplied at 1.0mg/mL in phosphate buffered saline (without Mg2+ and Ca2+), pH 7.4, 150mM NaCl, 0.02% sodium azide and 50% glycerol.
应用详情:WB 1:500 - 1:2000
图片:

Western blot analysis of extracts of various cell lines, using GADD45A antibody at 1:1000 dilution.
,

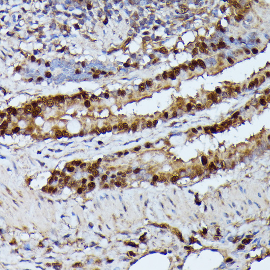
Immunohistochemistry of paraffin-embedded rat lung using GADD45A antibody at dilution of 1:100 (40x lens).
,

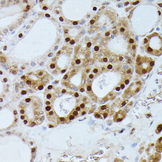
Immunohistochemistry of paraffin-embedded human thyroid cancer using GADD45A antibody at dilution of 1:100 (40x lens).
,

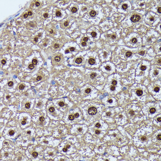
Immunohistochemistry of paraffin-embedded mouse liver using GADD45A antibody at dilution of 1:100 (40x lens).
,

Immunofluorescence analysis of U2OS cells using GADD45A antibody at dilution of 1:100. Blue: DAPI for nuclear staining.
,

Western blot analysis of extracts of various cell lines, using GADD45A antibody at 1:1000 dilution.
风险提示:丁香通仅作为第三方平台,为商家信息发布提供平台空间。用户咨询产品时请注意保护个人信息及财产安全,合理判断,谨慎选购商品,商家和用户对交易行为负责。对于医疗器械类产品,请先查证核实企业经营资质和医疗器械产品注册证情况。
文献和实验The GADD45a-GFP GreenScreen HC Assay
Mutagens, clastogens, and aneugens cause increased expression of the human GADD45a gene. This has been exploited in the GreenScreen HC genotoxicity assay in which the gene’s expression is linked to the expression of green fluorescent protein
Generation of Antibody Molecules Through Antibody Engineering
been overcome to a large extent using genetic-engineering techniques to produce chimeric mouse/human and completely human antibodies. Such an approach is particularly suitable because of the domain structure of the antibody molecule ( 2 ), where functional
The importance of antibody molecules was first recognized in the 1890s, when it was shown that immunity to tetanus and diphtheria was caused by antibodies against the bacterial exotoxins (1 ). Around the same time, it was shown that antisera
技术资料暂无技术资料 索取技术资料





![SRGN Polyclonal Antibody[42330]](https://img1.dxycdn.com/p/s14/2025/0922/568/0046652811090600791.jpg!wh200)
![Ki67 Rabbit Polyclonal Antibody[53240]](https://img1.dxycdn.com/p/s14/2025/0922/498/0460884283108299691.jpg!wh200)
![Caspase-9 (Phospho-Ser196) Polyclonal Conjugated Antibody[C12238]](https://img1.dxycdn.com/p/s14/2025/0923/278/4431488150116040791.jpg!wh200)

