相关产品推荐更多 >
万千商家帮你免费找货
0 人在求购买到急需产品
- 详细信息
- 文献和实验
- 技术资料
- 免疫原:
Peptide sequence around phosphorylation site of tyrosine 199(Q-K-Y(p)-T-V)derived from Human IKK-β.
- 形态:
liquid
- 保存条件:
Store at -20˚C
- 克隆性:
Polyclonal
- 适应物种:
Human;Mouse;Rat
- 保质期:
12 months
- 抗原来源:
Rabbit
- 供应商:
南京赛戈巍生物科技有限公司
- 宿主:
Rabbit
- 应用范围:
WB,IHC,IF
- 靶点:
Uniprot:O14920
- 抗体英文名:
IKK-β(Phospho-Tyr199) Antibody
- 规格:
50ul/100ul
配方:Supplied at 1.0mg/mL in phosphate buffered saline (without Mg2+ and Ca2+), pH 7.4, 150mM NaCl, 0.02% sodium azide and 50% glycerol.
应用详情:
图片:

Immunofluorescence staining of methanol-fixed HeLa cells using IKK-β (Phospho-Tyr199) Antibody (#11305, Red).
,

Western blot analysis of lysates from HeLa cells treated with TNF-a 20ng/ml+Calyculin A 50nM 5', using IKK-beta (Phospho-Tyr199) Antibody. The lane on the right is blocked with the phospho peptide.
,

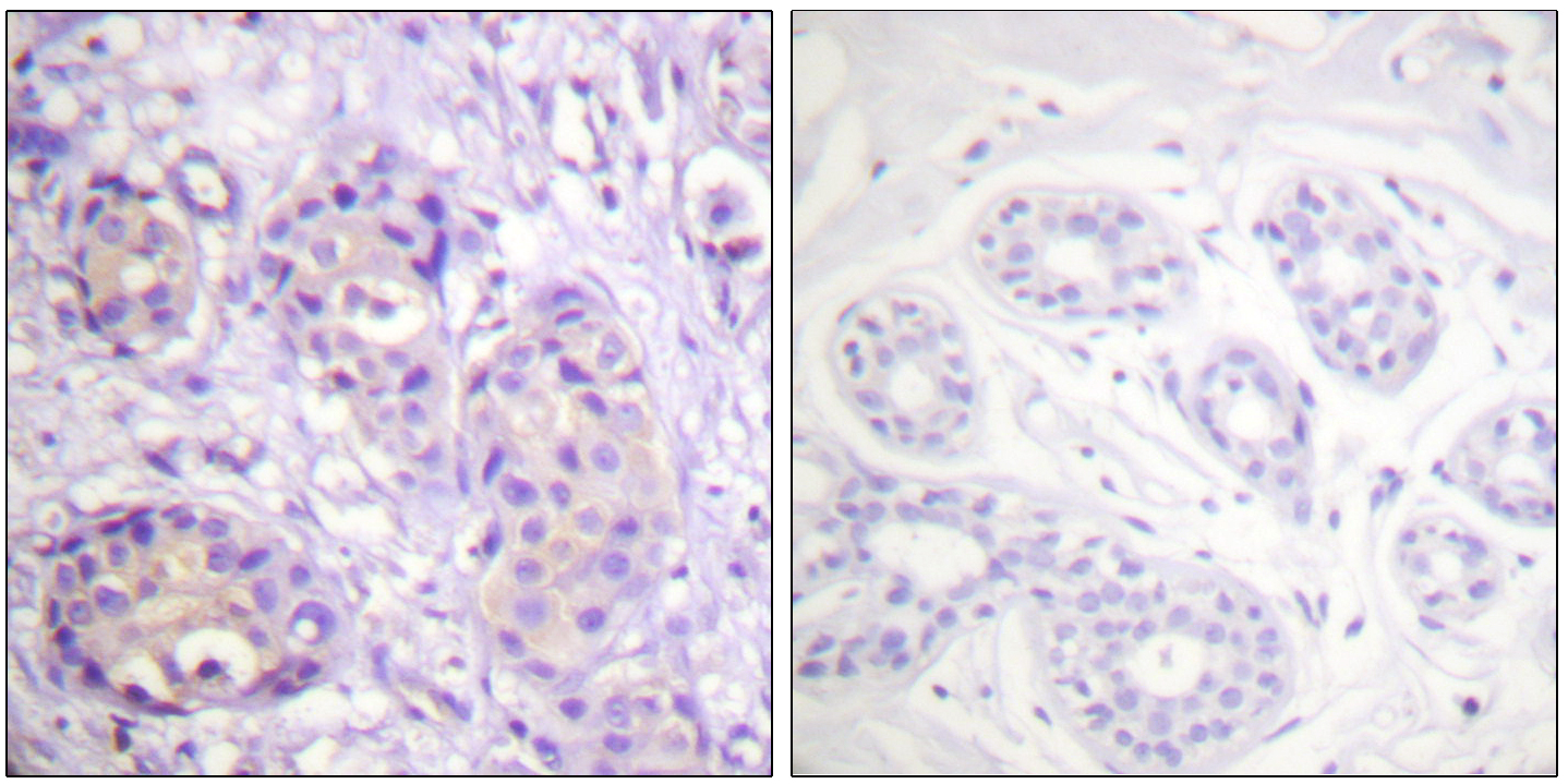
Immunohistochemistry analysis of paraffin-embedded human breast carcinoma, using IKK-beta (Phospho-Tyr199) Antibody. The picture on the right is blocked with the phospho peptide.
风险提示:丁香通仅作为第三方平台,为商家信息发布提供平台空间。用户咨询产品时请注意保护个人信息及财产安全,合理判断,谨慎选购商品,商家和用户对交易行为负责。对于医疗器械类产品,请先查证核实企业经营资质和医疗器械产品注册证情况。
文献和实验运用Cell Based Elisa检测信号通路蛋白和磷酸化蛋白
using Phospho-p38 antibody (A) and Total-p38 antibody (B). Cell Based Elisa were performed directly in the 96-well plates using Phospho-p38 and Total-p38 antibodies (C). Figure 3: JNK detection with FACECells were serum-starved for 16 hours
Staining Whole Mouse Embryos for β-Galactosidase (lacZ) Activity
Staining Whole Mouse Embryos for β-Galactosidase (lacZ ) Activity Andras Nagy , Marina Gertsenstein , Kristina Vintersten , and Richard Behringer This protocol was adapted from "Techniques for Visualizing Gene Products, Cells, Tissues
Imaging Gene Expression Using Antibody Probes
either β-galactosidase or green fluorescent protein (GFP), are physically labeled with dextran coupled to a fluorophore (8 ) or are labeled with fluorescent lipophilic dyes, such as diI (9 ). Multiple labeling experiments are then performed comparing
技术资料暂无技术资料 索取技术资料





![usp29 Polyclonal Antibody[29885]](https://img1.dxycdn.com/p/s14/2025/0923/305/2150219664296040791.jpg!wh200)
![DARPP-32 (Phospho-Thr75) Conjugated Antibody[C11185]](https://img1.dxycdn.com/p/s14/2025/0923/278/4431488150116040791.jpg!wh200)
![EBFP Monoclonal Antibody[T615]](https://img1.dxycdn.com/p/s14/2025/0922/568/0046652811090600791.jpg!wh200)
![ALG1 Antibody[39590]](https://img1.dxycdn.com/p/s14/2025/0922/359/6146153295428599691.jpg!wh200)

