相关产品推荐更多 >
万千商家帮你免费找货
0 人在求购买到急需产品
- 详细信息
- 文献和实验
- 技术资料
- 英文名:
TTA1
- 库存:
100
- 供应商:
镜像绮点
- 肿瘤类型:
甲状腺癌
- 细胞类型:
-
- 品系:
细胞系
- 组织来源:
甲状腺组织
- 相关疾病:
甲状腺癌
- 物种来源:
组织
- 免疫类型:
否
- 细胞形态:
上皮细胞样
- 是否是肿瘤细胞:
是
- 器官来源:
甲状腺组织
- 运输方式:
冻存/复苏
- 年限:
长期
- 生长状态:
贴壁生长
- 规格:
T25
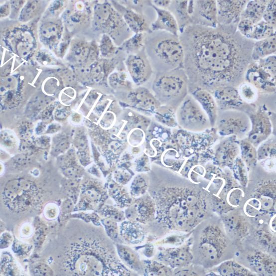
细胞介绍
人甲状腺未分化癌细胞(anaplastic thyroid carcinoma, ATC),未分化。该细胞株经过STR鉴定,与国际上ATCC、DSMZ、JCRB和RIKEN 公布的STR数据库中8000余种细胞均不相符,排除被常见细胞系污染的可能。由于TTA1细胞本身没有公布可比对的STR图谱数据,我们只能初步判断该细胞可能为TTA1。
STR结果如下:D5S818: 12,13;D13S317: 12;D7S820: 11,12;D16S539: 9,10;vWA: 17;THO1: 6;Amelogenin: X;TPOX: 11;CSF1PO: 10,11
细胞特性
1) 来源:女性 甲状腺
2) 形态:上皮细胞样 贴壁生长
3) 含量:>1x10^6 细胞数
4) 规格:T25瓶或者1mL冻存管包装
5)用途:仅供科研使用。

一.培养基及培养冻存条件准备
1) 准备DMEM (推荐iCell-0001)培养基;优质胎牛血清,10%;双抗,1%。
2) 培养条件: 气相:空气,95%;二氧化碳,5%。 温度:37摄氏度,培养箱湿度为70%-80%。
3) 冻存液:90%血清,10%DMSO,现用现配。
业务范围



风险提示:丁香通仅作为第三方平台,为商家信息发布提供平台空间。用户咨询产品时请注意保护个人信息及财产安全,合理判断,谨慎选购商品,商家和用户对交易行为负责。对于医疗器械类产品,请先查证核实企业经营资质和医疗器械产品注册证情况。
文献和实验该产品被引用文献
查询:www.icellbioscience.com/news/News/blog/1
技术资料文献支持
TTA1 | TTA1细胞 | TTA-1细胞 | TTA-1 | 人甲状腺癌细胞 | STR鉴定
¥1500











