相关产品推荐更多 >
万千商家帮你免费找货
0 人在求购买到急需产品
- 详细信息
- 文献和实验
- 技术资料
- 规格:
100ml
碧云天生产的核固红染色液(Nuclear Fast Red Staining Solution)是一种通过核固红对细胞核进行染色的试剂,是组织切片染色中常用的复染液,染色后细胞核呈红色。本产品对不同组织的石蜡切片和冰冻切片均适用。
核固红又称细胞核坚牢红,英文名为Nuclear Fast Red,或Kernechtrot、Calcium Red,分子式为C14H8NNaO7S,分子量为357.27, CAS号为6409-77-4,微红至深棕色粉末,溶于乙醇和水。核固红染色液是组织切片染色中常用的复染液(counterstain),可以与细胞核结合,将其染成红色,还可以用于血清中钙的测定(核固红比色法)。核固红染色液常与普鲁士蓝染色液(Prussian Blue Staining Solution)联合使用。
本染色液无需稀释,可直接使用,并且可重复使用,但使用次数过多会导致染色效果降低。
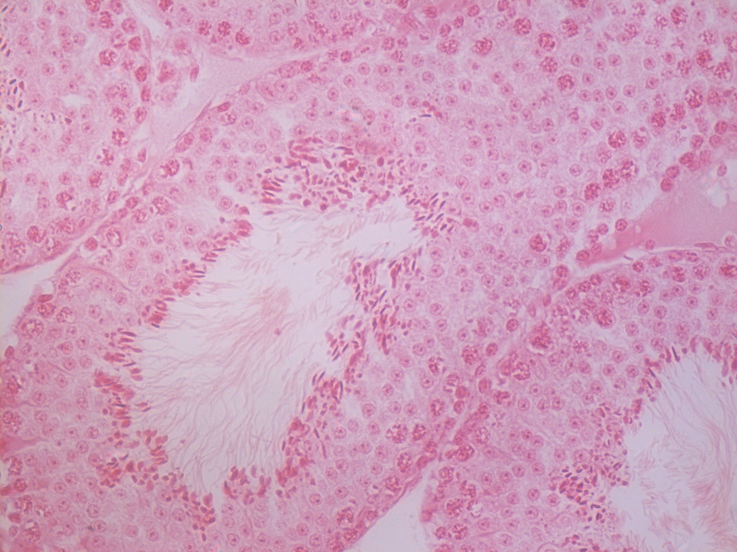
本产品染色灵敏度高,背景低,着色清晰分明。本产品用于小鼠睾丸石蜡切片的效果图参考图1。

图1.核固红染色液用于小鼠睾丸石蜡切片的染色效果图。如图所示,经核固红染色液染色,细胞核被染成红色。实际检测效果会因实验条件、检测仪器等的不同而存在差异,图中数据仅供参考。
按照每个切片使用100µl染色液来计算,本产品100ml的包装可以用于1000个切片的染色。
包装清单:
| 产品编号 | 产品名称 | 包装 |
| C0151-100ml | 核固红染色液 | 100ml |
| — | 说明书 | 1份 |
保存条件:
室温避光保存,一年有效。长期不使用可以4℃或-20℃保存。
注意事项:
低温保存时,会出现析出物,此时可以25-50℃水浴加热,充分溶解并混匀后使用。
初次使用时建议先取1-2个样品进行预实验,摸索染色适宜的条件。
染色过程推荐浅染,通常能够分辨细胞核即可,颜色过深可能影响细胞其它部分的染色。
核固红溶于水和乙醇,因此染色后水洗和乙醇脱水的时间不宜过长,且封片液不应含水和乙醇,以免影响切片的保存。
本产品仅限于专业人员的科学研究用,不得用于临床诊断或治疗,不得用于食品或药品,不得存放于普通住宅内。
为了您的安全和健康,请穿实验服并戴一次性手套操作。
风险提示:丁香通仅作为第三方平台,为商家信息发布提供平台空间。用户咨询产品时请注意保护个人信息及财产安全,合理判断,谨慎选购商品,商家和用户对交易行为负责。对于医疗器械类产品,请先查证核实企业经营资质和医疗器械产品注册证情况。
文献和实验附录I 染色液的配制 一、吕氏(Loeffler)碱性美蓝染液 (实验6,53) A液:美蓝(methylene blue) 0.6g 95%酒精 30ml B液:KOH 0.01g 蒸馏水 100ml 分别配制A液和B液,配好后混合即可。 二、齐氏 (Ziehl)石炭酸复红染色液 (实验6) A液:碱性复红(basic
四、醋酸洋红染液 将洋红粉末1g倒入100mL45%醋酸溶液中,边煮边搅拌,煮沸(沸腾时间不超过30s),冷却后过滤,即可使用。也可再加入1%~2%铁明矾水溶液5-10滴,至此液变为暗红色而不发生沉淀为止。如制作永久标本染色时,可加入饱和氢氧化铁或醋酸铁(媒染剂)溶液数滴,至染色液呈浅蓝色为止。 五、硫堇染液(工作液) ①干液(硫堇):硫堇1g或2g溶于100mL 50%乙醇中,溶解后过滤备用; ②醋酸钠缓冲液:醋酸钠・3H2O 9.7g,巴比
一、吕氏(Loeffler)碱性美蓝染液 A液:美蓝(methyleneblue)0.6 g 95%酒精30 ml B液:KOH 0.01 g 蒸馏水:100 ml 分别配制A液和B液,配好后混合即可。 二、齐氏(Ziehl)石炭酸复红染色液 A液:碱性复红(basicfuchsin)0.3 g 95%酒精 10 ml B液:石炭酸 5.0 g 蒸馏水 95 ml 将碱性复红在研钵中研磨后,逐渐加入95%酒精,继续研磨使其溶解,配成A液
技术资料暂无技术资料 索取技术资料











