相关产品推荐更多 >
万千商家帮你免费找货
0 人在求购买到急需产品
- 详细信息
- 文献和实验
- 技术资料
- 免疫原:
aldehyde dehydrogenase 7 family, member A1
- 亚型:
IgG
- 形态:
liquid
- 保存条件:
负20摄氏度
- 克隆性:
Polyclonal antibody
- 标记物:
Non-conjugated
- 适应物种:
Human,Mouse ,Rat
- 保质期:
6个月
- 抗原来源:
Rabbit
- 目录编号:
Q9GZT9
- 级别:
纯化级别
- 库存:
50
- 供应商:
LSM bio
- 宿主:
E. coli - derived recombinant protein
- 应用范围:
ELISA,WB,IHC
- 浓度:
≥95% as determined by SDS-PAGE
- 靶点:
ALDH7A1
- 抗体英文名:
anti-ALDH7A1 antibody,ALDH7A1 antibody
- 抗体名:
anti-ALDH7A1 抗体,ALDH7A1 抗体
- 规格:
100μg
ALDH7A1抗体| ALDH7A1 antibody
货号 PAab00299
蛋白别名 ALDH7A1 antibody, Alpha AASA dehydrogenase antibody, Antiquitin 1 antibody, ATQ1 antibody, Betaine aldehyde dehydrogenase antibody, EPD antibody, FLJ11738 antibody, FLJ92814 antibody, P6c dehydrogenase antibody, PDE
蛋白介绍
Multifunctional enzyme mediating important protective effects. Metabolizes betaine aldehyde to betaine, an important cellular osmolyte and methyl donor. Protects cells from oxidative stress by metabolizing a number of lipid peroxidation-derived aldehydes. Involved in lysine catabolism.
产品描述
anti-ALDH7A1 antibody is a Rabbit Polyclonal antibody againstALDH7A1..
建议稀释比例
WB :1:500-1:5000;IHC:1:20-1:200
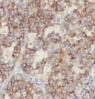
IHC
Immunohistochemistry of paraffin-embedded human ovary tumor using PAab00299(ALDH7A1 antibody) at dilution of 1:50
Western blot
mouse liver tissue were subjected to SDS PAGE followed by western blot with PAab00299(ALDH7A1 antibody) at dilution of 1:1000(本抗体仅供体外科研用途,不可用于临床诊断!)
风险提示:丁香通仅作为第三方平台,为商家信息发布提供平台空间。用户咨询产品时请注意保护个人信息及财产安全,合理判断,谨慎选购商品,商家和用户对交易行为负责。对于医疗器械类产品,请先查证核实企业经营资质和医疗器械产品注册证情况。
文献和实验在免疫反应方面,基于抗原的刺激在体内形成、并与抗原作特异性结合的蛋白质之总称。其化学实质是免疫球蛋白。抗体,按照抗原抗体反应的类型可分别称为沉淀素、凝集素、溶血素、溶菌素、抗毒素、中和抗体等,但这些并不等于有相应的不同抗体存在,一般多只表明抗体反应的多样性而已。抗体在血清中含量最多(体液抗体=humoral antibody);含有某特定抗体的血清称为抗血或免疫血清。
机体在抗原物质刺激下,由B细胞分化成的浆细胞所产生的、可与相应抗原发生特异性结合反应的免疫球蛋白。因为最初有人用电泳证明血清中抗体活性在γ球蛋白部分,故曾把抗体统称为两种(γ)球蛋白。后来证明,抗体并不都在γ区;而且位于γ区的球蛋白,也不一定都具有抗体活性。1964年,世界卫生组织举行专门会议,将具有抗体活性以及与抗体相关的球蛋白统称为免疫球蛋白(Ig)。如骨髓瘤蛋白,巨球蛋白血症、冷球蛋白血症等患者血清中存在的异常免疫球蛋白以及“正常人”天然存在的免疫
指仅对一种抗原决定基的纯粹的抗体。这类抗体不可能通过将抗原 胞的 Hybridoma,在试管内制成了纯粹的单克隆抗体。用某种抗原使动物产生免疫感应,对应于抗原之不同部分可制成各种不同的抗体复合体。然而,因为一个产生抗体的细胞,只能产生一种抗体,所以骨髓肿瘤细胞与产生抗体细胞间的细胞杂种,可形成边产生抗体边增殖的 hybridoma,将每个杂种细胞进行克隆(无性繁殖系)培养,则一个克隆的细胞群只由单种类产生同一抗体的细胞所组成,这样得到的就是单克隆抗体。此抗体在测定
技术资料暂无技术资料 索取技术资料







