万千商家帮你免费找货
0 人在求购买到急需产品
- 详细信息
- 文献和实验
- 技术资料
- 提供商:
上海申知心生物科技有限公司
- 服务名称:
胰腺炎小鼠模型构建
一、常用胰腺炎小鼠模型构建方法
1. 雨蛙素(Cerulein)诱导急性胰腺炎(AP)
原理
雨蛙素(胆囊收缩素类似物)超剂量刺激胰腺腺泡细胞,导致酶原过早激活、炎症反应和胰腺水肿/坏死。
步骤
-
动物准备:8-12周龄C57BL/6或BALB/c小鼠,禁食12小时(自由饮水)。
-
药物配制:雨蛙素(Cerulein)溶解于生理盐水(常用剂量50-100 μg/kg)。
-
腹腔注射:
-
急性胰腺炎(AP):每小时1次,连续注射6-10次(观察6-24小时)。
-
慢性胰腺炎(CP):每日1次,连续5天/周,持续4-6周。
-
-
观察指标:
-
血清检测:淀粉酶(AMY)、脂肪酶(LPS)、炎症因子(IL-6、TNF-α)。
-
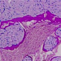
组织病理:HE染色观察胰腺水肿、炎症浸润、坏死(评分标准:Schmidt或Spofford评分)。
-
特点
-
优点:操作简单、重复性好,适用于急性胰腺炎研究。
-
缺点:自限性(通常24-48小时恢复),不适用于严重坏死性胰腺炎模型。
2. L-精氨酸(L-Arginine)诱导坏死性胰腺炎
原理
L-精氨酸超剂量导致腺泡细胞代谢紊乱,引发严重胰腺坏死和炎症。
步骤
-
配制溶液:L-精氨酸(8-10% in PBS,pH 7.4)。
-
腹腔注射:
-
单次高剂量:4-5 g/kg,分2次(间隔1小时)注射。
-
慢性胰腺炎:多次低剂量(2 g/kg,每周2次,持续4周)。
-
-
观察时间:
-
急性期:24-72小时(严重坏死)。
-
慢性期:4周后纤维化形成(Masson染色检测胶原沉积)。
-
特点
-
优点:可模拟重症急性胰腺炎(SAP)和慢性胰腺炎纤维化。
-
缺点:死亡率较高(需密切监测)。
3. 胆胰管逆行注射(DBTC模型,慢性胰腺炎)
原理
逆行注射 二ding基二氯化锡(DBTC) 或 牛磺胆酸钠(NaTc) 导致胰管阻塞、腺泡萎缩和纤维化。
步骤
-
麻醉小鼠(异氟烷或戊巴bi妥钠)。
-
开腹手术:找到胆胰管(近十二指肠处),微量注射器逆行注入:
-
DBTC(1% in 乙醇:甘油 = 2:3,8 mg/kg)。
-
NaTc(3-5%,0.1 mL/10g)。
-
-
术后观察:
-
急性期(3-7天):胰腺水肿、炎症。
-
慢性期(4周后):纤维化(α-SMA、胶原沉积)。
-
特点
-
优点:适用于慢性胰腺炎、胰腺纤维化研究。
-
缺点:手术难度较高,需熟练操作。
4. 基因工程模型(自发胰腺炎)
-
KrasG12D突变:模拟胰腺导管腺癌前病变(PanIN)。
-
CFTR敲除:囊性纤维化相关胰腺炎。
-
Try7突变小鼠:胰蛋白酶原过早激活导致慢性炎症。
二、关键检测指标
| 检测目标 | 方法 |
|---|---|
| 胰腺损伤 | 血清淀粉酶(AMY)、脂肪酶(LPS) |
| 炎症因子 | ELISA检测IL-6、TNF-α、IL-1β |
| 组织病理 | HE染色(水肿/坏死/炎症评分) |
| 纤维化 | Masson染色、α-SMA免疫组化 |
| 氧化应激 | MDA、SOD、GSH检测 |
| 细胞凋亡 | TUNEL染色、Caspase-3检测 |
三、注意事项
-
模型选择:
-
急性胰腺炎 → 雨蛙素、L-精氨酸。
-
慢性胰腺炎 → DBTC、L-精氨酸多次注射。
-
-
剂量优化:不同品系小鼠敏感性不同(如C57BL/6对L-精氨酸更敏感)。
-
动物福利:
-
L-精氨酸模型可能高死亡率,需密切监测。
-
术后镇痛(如布洛芬饮水)。
-
-
对照组设置:生理盐水或PBS注射对照。
风险提示:丁香通仅作为第三方平台,为商家信息发布提供平台空间。用户咨询产品时请注意保护个人信息及财产安全,合理判断,谨慎选购商品,商家和用户对交易行为负责。对于医疗器械类产品,请先查证核实企业经营资质和医疗器械产品注册证情况。
文献和实验有用的研究工具。二、应用小鼠模型研究SARS-CoV有哪些策略与方法? 根据小鼠构建策略与方法不同,目前SARS-CoV感染小鼠模型分为三种:1. 应用人SARS-CoV病毒直接感染近交系小鼠;2. 应用基因编辑小鼠技术,敲除小鼠相关基因,或将人宿主细胞SARS病毒结合受体(比如ACE2)转入小鼠体内;3. 将野生型SARS-CoV病毒在小鼠体内进行反复适应进化过程,获得致病性更强的小鼠适应病毒,从而建立能引起明显临床表型的病毒感染小鼠模型。 关于SARS-CoV感染小鼠模型,主要的研究进展集中于以下几个
模型 集萃药康通过转基因技术构建了 MMTV-PyMT 小鼠模型,经验证,小鼠出现乳腺肿瘤的表型,并出现肺及唾液腺转移,可用于研究乳腺肿瘤的发生、发展及转移机制和乳腺肿瘤相关药物的筛选。 图 2. MMTV-PyMT 小鼠乳腺、肺及卵巢组织病理学检测 从病理检测结果可见:MMTV-PyMT 小鼠存在明显的炎性细胞浸润,并形成乳腺癌巢、乳腺癌转移灶、乳腺导管及曲精小管坏死等现象。 集萃药康除乳腺癌外还可提供肠癌、肝癌、肺癌、胰腺癌等多种癌种自发肿瘤模型,并可根据服务需求提供肿瘤模型定制
动物模型构建CRISPR-Cas9 系统作为最新一代基因编辑技术,能够简便高效地实现基因组精确 修饰,是制备哺乳动物疾病模型的重要工具。目前科学家利用 CRISPR-Cas9 技术在动物模型,如小鼠、大鼠、猪 和猴等研制方面做出一系列重要工作。如科学家们将 CRISPR-Cas9 系统导入小鼠受精卵,成功获得了有特定基因突变的小鼠模型,并获得近乎 100% 的基因靶向突变效率,极大地降低了基因编辑小鼠模型制备的难度和成本,有望被广泛应用。背景:使用自主研发的sgRNA设计平台为一个基因位点设计
技术资料暂无技术资料 索取技术资料









