相关产品推荐更多 >
万千商家帮你免费找货
0 人在求购买到急需产品
- 详细信息
- 文献和实验
- 技术资料
- 库存:
999
- 供应商:
厦门逸漠生物科技有限公司
- 规格:
500 mL
产品简介
hESC/iPSC 细胞培养基试剂盒是厦门逸漠生物科技有限公司研发技术团队开发的一种适用于无饲养层培养,成分明确,补充多种生长因子的人多能干细胞(hPSC)无血清培养体系。hESC/iPSC 在 hESC/iPSC 细胞培养基中可以快速增殖,而边缘分化的细胞则在该培养基中生长较慢,从而选择性扩增并获得高纯度人多能干细胞。
产品信息
表 1: hESC/iPSC 完全培养基 试剂盒产品内容
|
产品信息 |
货号 |
规格 |
储存条件 |
|
hESC/iPSC 细胞培养基试剂盒 |
IMC-014 |
1 Kit |
2℃~-20℃* |
|
hESC/iPSC Basal Medium |
IMC -014-M |
400 mL |
2 ℃~8 ℃ |
|
hESC/iPSC Grouth Supplements A |
IMC-014-A |
20 mL |
-20℃ or -80℃ |
|
hESC/iPSC Grouth Supplements B |
IMC-014-B |
80 mL |
-20℃ or -80℃ |
|
hESC/iPSC Supplement C |
IMC-014-Y |
1mg |
-20℃ or -80℃ |
表 2: hESC/iPSC 其他相关试剂 产品内容
|
产品信息 |
货号 |
规格 |
储存条件 |
|
hESC/iPSC Passage Solution |
IMC-014-E |
500 mL |
2 ℃~8 ℃ |
|
hESC/iPSC Cryopreservation Solution |
IMC-014-S |
50 mL |
2 ℃~8 ℃ |
|
hESC/iPSC Planking Solution Supplement |
IMC-014-P-1 |
1.2mL |
-2 0 ℃ |
|
hESC/iPSC Planking Solution Basal Medium |
IMC-014-P-2 |
90mL |
2 ℃~8 ℃ |
试剂材料
表 3:其他试剂&材料
|
试剂&材料 |
品牌 |
货号 |
|
DMEM/F12 培养基 |
IMMOCELL |
IMC-205 |
|
6/12/24 孔板 |
-- |
-- |
|
1 mL/5 mL/10 mL/25 mL 移液管 |
-- |
-- |
|
15 mL/50 mL 离心管 |
-- |
-- |
|
1.5/2 mL 冻存管 |
-- |
-- |
|
梯度程序降温盒 |
-- |
-- |
试剂准备
1 )hESC/iPSC 完全培养基配制(500 mL )
1. 在 4℃条件下解冻 hESC/iPSC Grouth SupplementsA/B,勿在 37℃培养箱/水浴锅解冻。
2. 在生物安全柜中,使用无菌移液管将 hESC/iPSC Grouth Supplements A/B 与 hESC/iPSC Basal Medium 混匀配制成 hESC/iPSC 完全培养基,之后根据使用情况将培养基分 装,封口膜封好,确保置于 4℃储存的培养基 2 周内使用完毕,其余培养基于-20℃冷冻保 存,需要时提前于 4℃过夜解冻。
2 )Matrigel 铺板(以货号为 354277 的 的 Corning® Matrigel® 包被 6 孔板为例 )
A. 分装 Matrigel
1. 货号 354277 的 Matrigel,操作说明中不标注蛋白浓度,而是以 Dilution Factor 表示,如某批次的推荐 Dilution Factor 为 278 μL,则表明 278 μL 可包被 4 块 6 孔板,分装数量=5 mL/0.278=17.98。
2. 准备 18 个无菌 1.5 mL EP 管,标记 Matrigel 日期、操作人;1mL 无菌吸头;EP 管架,均置于-20℃冰箱中预冷 1 小时。
3. 将 Matrigel 放置 4℃冰箱过夜解冻,当 Matrigel 完全解冻即可开始分装。
注:在解冻时,将 Matrigel 放置冰箱内侧角落,切勿放在靠近冰箱门附近。
4. 准备一个装满碎冰的冰盒,将解冻过的 Matrigel、预冷的 1.5 mL EP 管及 EP 管架、1mL吸头放置于生物安全柜上。
5. 混匀 Matrigel,无菌分装于各个 1.5 mL EP 管中,并置于冰上。当吸头被堵塞可能导致分装体积不准时需要更换吸头。
6. 将分装后的 Matrigel 置于-20℃冰箱中保存。
B. 铺板
1. 取 36 mL 冷藏 DMEM/F12 于 50 mL 离心管中,准备 4 个 6 孔板,标记 Matrigel、批号、日期和操作人。
2.1 mL 无菌吸头置于-20℃冰箱中预冷 1 小时,取出一支冷冻的 Matrigel(5mL)置于 4℃冰箱解冻至完全化冻。
3. 准备一个装满碎冰的冰盒,将解冻过的 Matrigel、预冷的 1mL 吸头放置于生物安全柜上。
4. 用预冷的吸头向解冻过的 Matrigel(5mL),加入 1 mL 冷的 DMEM/F12 反复吹打解冻并混匀。
5. 吸出已解冻混匀的 Matrigel 加入离心管中剩余的 DMEM/F12,使用 10 mL 移液管再次反复吹打混匀。
6. 分装 1.5 mL/孔于 4 个六孔板中,轻轻摇晃混匀。
7. 培养板置于室温 1 小时后即可使用,或置于 4℃冷藏过夜,两周内使用。
复苏 hESC/iPSC (以 6 孔板为例)
1. 将水浴锅预热至 37℃。将 Matrigel 包被的 6 孔板,提前放置生物安全柜中约 1 小时恢复至室温(15~30℃)。
2. 取 2 mL hESC/iPSC 完全培养基,加入 4uL hESC/iPSC Supplement C 使终浓度为 10uM,取 9mL DMEM/F12,加入 18uL hESC/iPSC Supplement C 使终浓度为 10uM,恢复至室温。。
注意:不要在 37℃水浴锅中预温培养基。
3. 取出 1 支冷冻的细胞置于 37℃水浴锅手持轻轻摇晃,2 min 内解冻,肉眼观察细胞悬液内冰晶即将完全消失时取出。
4. 75%酒精无尘纸擦拭冻存管表面,转入生物安全柜;将细胞悬液移到事先准备好的 15 mL离心管中,随后逐滴加入 9mL DMEM/F12,过程中轻柔晃动混匀细胞,160 g 离心 5 min。
5. 吸除 6 孔板中 1 孔的 Matrigel 包被液,加入 2mL 含有 hESC/iPSC Supplement C 的 hESC/iPSC 完全培养基。
6. 离心完吸弃上清,至留下 50uL 左右的上清,轻弹管底 3-4 下至细胞混匀在上清中, 逐滴缓慢加入 1mL 含有 hESC/iPSC Supplement C 的 hESC/iPSC 完全培养基,轻弹管底 3-4 下 混匀细胞,将这 1mL 细胞悬空滴加进 6 孔板的含有 hESC/iPSC Supplement C 的 hESC/iPSC 完全培养基中。
7. 水平十字摇匀三次,置于 37℃,5% CO2浓度,饱和湿度的培养箱中,再次水平十字 摇匀三次培养。
注:水平十字摇匀 3 次,左右两次+上下两次算一次。
8. 18-24 小时后换新的 hESC/iPSC 完全培养基,之后每天更换培养基。
表 4: hESC/iPSC 传代&培养操作试剂推荐用量
|
培养容器 |
底面积 |
DPBS(mL) |
EDTA 传代工作液 |
hPSC 培养基* |
|
6 孔板 |
9.6 cm2/孔 |
1mL/孔 |
1 mL/孔 |
1 mL/孔 |
|
12 孔板 |
4.5 cm2/孔 |
0.5mL/孔 |
0.5mL/孔 |
0.5 mL/孔 |
|
24 孔板 |
2 cm2/孔 |
0.3mL/孔 |
0.3 mL/孔 |
0.5 mL/孔 |
传代 hESC/iPSC (以 6 孔板为例)

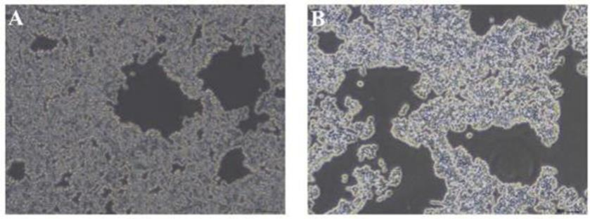
图 1.hESC/iPSC 完全培养基连续培养 hESC 细胞形态图:(A)和(C)分别 为 hESC 细胞培养第 2 和 4 天时低倍镜 hESC 培养形态图示,(B)和(D )为培养至第 2 和 4 天时的高倍镜hESC 培养形态图。
1. 传代条件:① 细胞汇合度达 85%左右(如图 1(C-D)所示),一般情况下每 3-4 天传代;
② 细胞汇合度较低,生长密度分布不均匀。
注:即使克隆团较小、汇合度不足,也建议不要连续培养超过 5 天。
2. 传代比例:可根据细胞生长状态和实验需要按 1:5~1:12 的比例进行传代,如果细胞正常,克隆团汇合度 85%,大小均匀(如图 1(C-D)所示),建议按照 1:8 进行传代,如果密度偏低,则可降低传代比例;密度偏高,则增加传代比例。
注:1:8 传代就是 1 个孔瓶传 8 个孔(以 6 孔板为例)。
3. 将 Matrigel 包被的 6 孔板,提前放置生物安全柜中约 1 小时恢复至室温(~25℃)。
4. 根据传代接种的孔数准备 2 mL/孔的 hESC/iPSC 完全培养基,加入hESC/iPSC Supplement C 终浓度为 10uM,恢复至室温(~25℃)。
5. 将细胞六孔板孔内培养基吸弃,加入 1 mL/孔的 DPBS(不含钙镁),轻轻摇晃后吸弃。
6. 加入 1 mL/孔的 hESC/iPSC Passage Solution 使溶液完全覆盖孔底。
7. 置于 37℃培养箱中孵育 5-7 min。
注:① 消化 5-6 min 后镜下观察细胞变化,当大部分细胞变亮变圆,且细胞尚未脱离基 质,若大部分细胞仍未变亮,则需要延长消化时间,不超过 8min;
② 保持 6 孔板与培养箱金属隔板直接接触,使 6 孔板受热均匀,不要叠放。

图2 :消化 hESC 细胞不同时间形态图:(A)消化 6 min 低倍镜 hESC 培养的的形态图;(B)消化 7 min低倍镜 hESC 培养的的形态图。
8.消化时吸取 6 孔板中的 Matrigel 溶液,加入预温的 hESC/iPSC 完全培养基+ hESC/iPSC Supplement C 2 mL/孔。
9.消化结束后轻轻地将细胞培养板拿回生物安全柜,避免震荡摇晃细胞,倾斜并吸除 hESC/iPSC Passage Solution。及时加入 1 mL/孔预温的 hESC/iPSC 完全培养基+ hESC/iPSC Supplement C,将细胞吹下来。
注:① 加 hESC/iPSC 完全培养基 + hESC/iPSC Supplement C 时,可轻柔吹打细胞不能 超过 2 次,避免反复吹打;有部分细胞(10%~15%)未脱离基质是正常现象,若有大量细 胞未脱离则需延长消化时间(< 8min)。
10.把这一毫升细胞悬液悬空滴加入板里的培养基,每孔 3-5 滴。在 6 孔板上标记细胞名 称、代次、传代比例、日期、操作人,水平十字摇匀 3 次。
注:可将传完代后的细胞在镜下观察细胞密度,根据密度调整是否需要多加细胞滴。
11.置于 37℃,5% CO2 浓度,饱和湿度的培养箱中,再次水平十字摇匀 3 次,不要叠 放。
12. 18-24 小时后换新的 hESC/iPSC 完全培养基,此后每天换液,第 4 天继续传代/冻存。
注:传代后隔天算第 1 天。
冻存 hESC/iPSC
1. 当细胞汇合度达 85%左右(如图 1(C-D)所示)可收获冻存,一般 6 孔板每孔可冻存 1 管。
2. 准备相应数量的 1.5/2 mL 冻存管,标记细胞名称、代次(P#)、日期、操作人。
3. 取出 4℃冰箱中的 hESC/iPSC Cryopreservation Solution,置于室温预温,使用前注意摇匀。
4. 吸取上清液,加入 2 mL/孔的 DPBS(不含钙镁),轻轻摇晃数次,再吸取。
5. 加入1 mL/孔的 hESC/iPSC Passage Solution,将细胞置于 37℃培养箱中,计时 8-9 min(可参考“ 六、传代 hESC/iPSC”步骤)。
6. 消化结束,轻轻取出培养板,吸取 hESC/iPSC Passage Solution。
7. 摇匀预温的 hESC/iPSC Cryopreservation Solution,每孔加入 1 mL 冻存液,轻柔吹打,水平十字摇匀 3 次,随后吸取细胞悬液加入 1.5/2 mL 冻存管中。
8. 将细胞置于梯度程序降温盒中,并置-80℃冰箱中过夜,次日转入液氮罐中长期保存。
其他培养体系中 hESC/iPSC 更换为 hESC/iPSC 完全培养基条件的适应
其他无饲养层条件培养的 hESC/iPSC 可以在细胞状态良好时,使用原培养基进行细胞传代,24 小时后更换成混合培养基(原培养基与 hESC/iPSC 完全培养基按照 1:1 混合)培养,培养 2 代后完全换成 hESC/iPSC 完全培养基培养,培养 2-3 代后可完全适应新的培养体系,此时可进行细胞冻存处理。




风险提示:丁香通仅作为第三方平台,为商家信息发布提供平台空间。用户咨询产品时请注意保护个人信息及财产安全,合理判断,谨慎选购商品,商家和用户对交易行为负责。对于医疗器械类产品,请先查证核实企业经营资质和医疗器械产品注册证情况。
文献和实验人 iPS 细胞体外分化为气道上皮肺类器官用于呼吸系统疾病研究应用以及iPSC操作指南
培养基 (SCM308) 添加到细胞培养小室顶部,并在小室下方的孔中添加 500 µL。 材料: 附录:人iPSC操作指南 人iPSC的解冻 1. 应将冷冻管放在设置维持在37 °C的水浴中快速融化细胞。在水浴中轻轻涡旋冷冻管,以确保快速解冻,但请勿浸没冷冻管的盖子。打开前用70%乙醇(793213)或等效消毒剂对冷冻管进行消毒。 2. 用5 mL无菌移液管,将冷冻保护剂 / 细胞混合物从冷冻管转移到15 mL离心管中。应注意不要对细胞造成物理损伤。 3. 在室温下,缓慢地逐滴向15 mL
表达与启动子区域的甲基化关联呈阴性,而与基因本身的甲基化呈阳性相关。Church确信这是生物学高度相关的。为了进一步证实这个假说,Church小组正在用高通量的方法对等位基因特异的甲基化进行研究。 相比之下,Zhang和Gao的小组主要聚焦于CpG岛上,部分原因是这些区域是高度甲基化的,且它们定义清楚,能呈现出稳定的目标组。他们比较了iPSC和人胚胎干细胞(hESC)两种染色体的所有CpG岛的甲基化模式。出乎意料的是,研究人员发现只有10%的区域在甲基化上表现出差异。对于Zhang
人转录因子E2F1 ( E2F1 )ELISA 试剂盒 原理 本实验采用双抗体夹心 ABC-ELISA 法。用抗人 E2F1 单抗包被于酶标板上,标准品和样品中的 E2F1与单抗结合,加入生物素化的抗人 E2F1 ,形成免疫复合物连接在板上,辣根过氧化物酶标记的 Streptavidin 与生物素结合,加入底物工作液显蓝色,最后加终止液硫酸,在 450nm 处测 OD 值,E2F1 浓度与 OD 值成正比












