相关产品推荐更多 >
万千商家帮你免费找货
0 人在求购买到急需产品
- 详细信息
- 文献和实验
- 技术资料
- 库存:
999
- 供应商:
厦门逸漠生物科技有限公司
- 规格:
500ml
产品描述
hESC/iPSC 传代工作液(无酶)(hESC/ iPSC Passage Solution(Enzyme free))适用于无滋养层依赖的干细胞的传代培养,具有温和,高效,使用普遍的特点,能将干细胞克隆消化为小团块进行传代,减少分化风险。
产品信息
表1. 试剂盒组成信息
|
产品货号 |
产品名称 |
产品规格 |
数量 |
|
IMC-014-E2 |
hESC/iPSC Passage Solution(Enzyme free) |
500 mL |
1瓶 |
储存条件
2~8℃,6个月。
使用方法
以hESC(H1)传代为例:

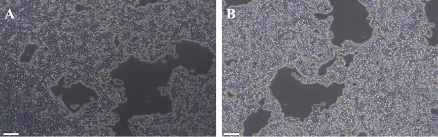
图1. hESC/iPSC完全培养基连续培养hESC(H1)细胞形态图:(A)和(C)分别为hESC(H1)细胞培养第2和4天时低倍镜hESC(H1)培养形态图示,(B)和(D)为培养至第2和4天时的高倍镜hESC(H1)培养形态图
1. 传代条件:① 细胞汇合度达85%左右(如图1(C-D)所示),一般情况下每3-4天传代;
② 细胞汇合度较低,生长密度分布不均匀。
注:即使克隆团较小、汇合度不足,也建议不要连续培养超过5天。
2. 传代比例:可根据细胞生长状态和实验需要按1:5~1:12的比例进行传代,如果细胞正常,克隆团汇合度85%,大小均匀(如图1(C-D)所示),建议按照1:8进行传代,如果密度偏低,则可降低传代比例;密度偏高,则增加传代比例。
注:1:8传代就是1个孔传8个孔(以6孔板为例)。
3. 将 Matrigel 包被的6孔板,hESC/iPSC Passage Solution(Enzyme free),DPBS提前放置生物安全柜中约1小时恢复至室温(~25℃)。
4. 根据传代接种的孔数准备2 mL/孔的hESC/iPSC完全培养基,加入hESC/iPSC Supplement C终浓度为10uM,恢复至室温(~25℃)。
5. 将细胞六孔板孔内培养基吸弃,加入1 mL/孔的DPBS(不含钙镁),轻轻摇晃后吸弃。
6. 加入1 mL/孔的 hESC/iPSC Passage Solution(Enzyme free)使溶液完全覆盖孔底。
7. 置于37℃培养箱中孵育5-7 min。
注:① 消化5-6 min后镜下观察细胞变化,当大部分细胞变亮变圆,且细胞尚未脱离基质,若大部分细胞仍未变亮,则需要延长消化时间,不超过8min;
② 保持6孔板与培养箱金属隔板直接接触,使6孔板受热均匀,不要叠放。

图2:消化hESC(H1)细胞不同时间形态图:(A)消化5 min低倍镜hESC(H1)培养的的形态图;(B)消化6 min低倍镜hESC(H1)培养的的形态图。
8.消化时吸取6孔板中的Matrigel溶液,加入预温的hESC/iPSC完全培养基+ hESC/iPSC Supplement C 2 mL/孔。
9. 消化结束后轻轻地将细胞培养板拿回生物安全柜,避免震荡摇晃细胞,倾斜并吸除hESC/iPSC Passage Solution(Enzyme free)。及时加入1 mL/孔预温的hESC/iPSC完全培养基+ hESC/iPSC Supplement C,将细胞吹下来。
注:① 加hESC/iPSC完全培养基 + hESC/iPSC Supplement C时,可轻柔吹打细胞不能超过2次,避免反复吹打;有部分细胞(10%~15%)未脱离基质是正常现象,若有大量细胞未脱离则需延长消化时间(< 8min)。
10.把这一毫升细胞悬液悬空滴加入板里的培养基,每孔3-5滴。在6孔板上标记细胞名称、代次、传代比例、日期、操作人,水平十字摇匀3次。
注:可将传完代后的细胞在镜下观察细胞密度,根据密度调整是否需要多加细胞滴。
11.置于37℃,5% CO2浓度,饱和湿度的培养箱中,再次水平十字摇匀3次,不要叠放。
12. 18-24小时后换新的hESC/iPSC完全培养基,此后每天换液,第4天继续传代/冻存。
注:传代后隔天算第1天。




风险提示:丁香通仅作为第三方平台,为商家信息发布提供平台空间。用户咨询产品时请注意保护个人信息及财产安全,合理判断,谨慎选购商品,商家和用户对交易行为负责。对于医疗器械类产品,请先查证核实企业经营资质和医疗器械产品注册证情况。
文献和实验人 iPS 细胞体外分化为气道上皮肺类器官用于呼吸系统疾病研究应用以及iPSC操作指南
保护剂和细胞混合液放入适当标记的冷冻管中。 7. 如果需要深低温保存更多的孔,应将来自相同传代数和培养条件的细胞合并在一起。然后等分混合后的细胞,可用于细胞计数。将收获的细胞以200 x g离心2分钟,吸除用过的培养基,并将细胞沉淀轻轻地重悬于适当体积的冷冻保护剂中。6孔板的一个孔产生约1-2 × 106个细胞。建议每个冷冻管冷冻约1-2 × 106个细胞。每个冷冻管使用1 mL冷冻保护剂-细胞混合液。 8. 立即将冷冻管放入预冷(2-8 °C)的Mr. Frosty水浴中,然后立即
利用 MACSQuant Tyto 细胞分选实现帕金森病的首次人类 iPSC 衍生多巴胺能祖细胞临床移植试验
位于日本京都 CiRA (Center for iPS Cell Research and Application)的著名实验室,Jun Takahashi 教授团队正在使用 MACSQuant® Tyto® 细胞分选仪对 iPSC 衍生的多巴胺能祖细胞进行符合 GMP 的细胞分选,用于帕金森病细胞移植。 该团队目前的临床试验旨在利用 iPSC 衍生的多巴胺能神经元治疗帕金森病患者,该试验源自 2017 年 8 月发表在《自然》杂志上的灵长类动物模型研究。实际上,正是开创性工作的定义,人体
factors OCT4, SOX2, KLF4, and MYC. The culture conditions are then switched to conditions that support human embryonic stem cell growth and emerging iPSC colonies that morphologically resemble human embryonic stem cell (hESC) colonies and have silenced












