相关产品推荐更多 >

Arctium minus, ext.
询价
Immunotag™ M3K13 Antibody-Biotin*
¥9525.60
ACETAMIDE,2-(4-(4,4-BIS(P-FLUOROPHENYL)BUTYL)PIPERAZINYL)-N-METHYL- N-(4-PHENYLCYCLOHEXYL)-,2HCL,(E)-
询价![4-(4-THIENO[2,3-C]PYRIDIN-7-YL-PIPERAZIN-1-YLMETHYL)-BENZOIC ACID TERT-BUTYL ESTER95%](https://img1.dxycdn.com/p/s14/2025/0228/055/0637678947310935981.jpg!wh200)
4-(4-THIENO[2,3-C]PYRIDIN-7-YL-PIPERAZIN-1-YLMETHYL)-BENZOIC ACID TERT-BUTYL ESTER95%
询价
5-(BENZYLTHIO)-4-CHLORO-2-PHENYLPYRIDAZIN-3(2H)-ONE
询价
万千商家帮你免费找货
0 人在求购买到急需产品
- 详细信息
- 文献和实验
- 技术资料
- 库存:
99
- 英文名:
Hep Par 1 Antibody / Hepatocyte Paraffin 1 [clone OCH1E5] (V2341)
- CAS号:
详询
- 保质期:
详询
- 供应商:
北京孚博生物科技有限公司
- 保存条件:
未知
- 规格:
100ug
| Species Reactivity | Human |
| Format | Purified |
| Clonality | Monoclonal (mouse origin) |
| Isotype | Mouse IgG1, kappa |
| Clone Name | OCH1E5 |
| Purity | Protein G affinity |
| Buffer | 1X PBS, pH 7.4 |
| Localization | Finely granular cytoplasmic |
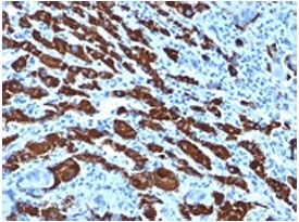
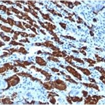
| Applications | Immunofluorescence : 0.5-1ug/ml Immunohistochemistry (FFPE) : 1-2ug/ml for 30 min at RT |
| Limitations | This Hep Par 1 antibody is available for research use only. |

Description
Hepatocyte Specific Antigen, also called Hepatocyte Paraffin 1 or Hep Par 1, localizes to the mitochondria of hepatocytes. It is a sensitive marker for distinguishing hepatocellular carcinomas (HCC) from other metastatic carcinomas as well as cholangio-carcinomas. HCC's occur primarily in the stomach, but they are also found in many other organs. The Hepatocyte Specific Antigen may also be a useful marker for intestinal metaplasia. Reportedly, strong expression of the Hepatocyte Specific Antigen correlates with smaller tumor size and longer patient survival. Occasionally, Hepatocyte Specific Antigen is also found in gastric carcinomas as well as in a few other non-hepatic tumors.
Application Notes
The concentration stated for each application is a general starting point. Variations in protocols, secondaries and substrates may require the Hep Par 1 antibody to be titered up or down for optimal performance.
1. The prediluted format is supplied in a dropper bottle and is optimized for use in IHC. After epitope retrieval step (if required), drip mAb solution onto the tissue section and incubate at RT for 30 min.
Immunogen
Extract of a formalin-fixed, rejected-allograft of a human liver was used as the immunogen for this Hep Par 1 antibody.
Storage
Store the Hep Par 1 antibody at 2-8oC (with azide) or aliquot and store at -20oC or colder (without azide).
Alternate Names
HSA

风险提示:丁香通仅作为第三方平台,为商家信息发布提供平台空间。用户咨询产品时请注意保护个人信息及财产安全,合理判断,谨慎选购商品,商家和用户对交易行为负责。对于医疗器械类产品,请先查证核实企业经营资质和医疗器械产品注册证情况。
文献和实验NSJ Bioreagents 的员工已在生物技术界抗体生产领域工作了 20 多年。NSJBio 为生命科学界提供经典、广泛使用的单克隆抗体和前沿、新上市的单克隆和多克隆抗体,以及重组单克隆和人类蛋白质微阵列验证抗体,涉及癌症、肿瘤生物标志物、细胞凋亡、免疫学、细胞生物学、转录因子和表观遗传学等所有研究领域。许多产品提供多种尺寸,以更好地满足研究人员的测试需求和预算限制。全面的产品数据表提供产品信息和测试数据图像,并由经验丰富的技术服务提供支持。所有产品 100% 保证按照产品数据表上的说明工作。
) Anti‐BrdU antibody (Millipore, clone AH4H7‐1/131‐14871, cat. no. MAB3424) PBT (see recipe ) Horse
技术资料



