万千商家帮你免费找货
0 人在求购买到急需产品
- 详细信息
- 技术资料
(一)目的:
建立实验室动物建模的标准操作规程。
(二)适用范围:本SOP适应于科沿有道实验室动物实验所有工作人员。
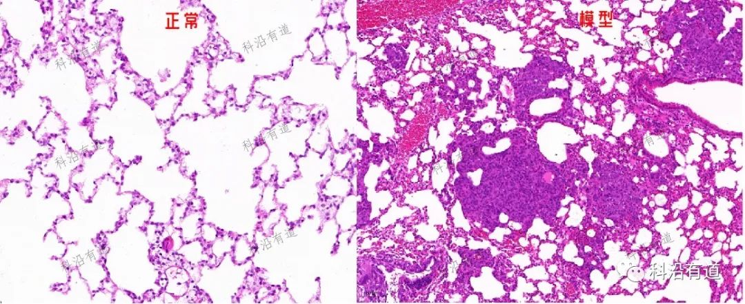
(三)主体内容:肺癌作为第二大最普遍的恶性肿瘤,其死亡率在世界范围内仍然居高不下。据统计,非小细胞肺癌则占据了肺癌总病例的85%,其中包括鳞状细胞癌、腺癌和大细胞癌。在目前的治疗方式下非小细胞肺癌的5年存活率仅为15%,更安全有效的治疗方式被迫切需要。在肺癌的新型治疗方法的研究中1个主要的障碍是缺乏简便易行的、可重复的、临床相似度更高的动物模型。原位移植瘤和异位移植瘤相比,其优点在于肿瘤细胞生长的微环境与肺癌临床情况相符合。在曾经常用的皮下移植瘤模型中,一些抗转移的药物缺乏响应,使得原位移植瘤模型更受到药物试验的推崇。已经有很多种肺原位移植瘤模型的建立方法被报道,最常用的方法包括经气管细胞注射法和经胸壁细胞注射法。
1.实验动物: 品系:Balb/C-nude小鼠; 性别:雌雄不限; 周龄:6-8周; 体重:18-20g。 2. 操作流程:1)动物适应性饲养7天;
2)裸鼠以麻醉机麻醉后固定,消毒皮肤后,于颈部气管正上方剪开一个约1cm 的小口,钝性分离气管周围肌肉,暴露气管。注射器准确吸取50μL(细胞量5×10^6)均一的细胞悬液后,穿入气管0.5~1.0cm,竖立裸鼠,缓慢注入细胞,完成后保持竖立姿势2~3min。复原气管周围组织,缝合伤口。

1)裸鼠手术后喂养6 周后或出现明显的体重下降且≥3g,精神倦怠,皮肤变得粗糙等恶病质表现时予以麻醉处死,取肺观察有无结节出现。

2)4%多 聚 甲 醛 吹肺并固定,石蜡包埋切片,HE染色并观察形态。

风险提示:丁香通仅作为第三方平台,为商家信息发布提供平台空间。用户咨询产品时请注意保护个人信息及财产安全,合理判断,谨慎选购商品,商家和用户对交易行为负责。对于医疗器械类产品,请先查证核实企业经营资质和医疗器械产品注册证情况。
技术资料暂无技术资料 索取技术资料
裸鼠肺癌原位移植瘤模型
询价









