万千商家帮你免费找货
0 人在求购买到急需产品
- 详细信息
- 技术资料
(一)目的:
建立实验室动物建模的标准操作规程。
(二)适用范围:本SOP适应于科沿有道实验室动物实验所有工作人员。
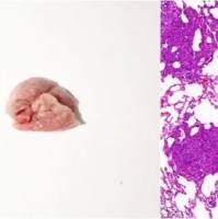
(三)主体内容:胰腺癌(pancreatic cancer)是一种恶性程度很高的肿瘤,其突出的特征是发现较难、早期转移,预后较差。裸鼠先天性T淋巴细胞缺陷,诱导产生的体液免疫应答较弱,可在裸鼠体内移植成功。利用裸鼠建立的人胰腺癌裸鼠原位移植瘤,呈圆形、椭圆形或呈分叶状,少数移植瘤有完整的泡膜形成,大多数移植瘤与周围组织粘连,无完整的泡膜形成,瘤体周围血管丰富。
1.实验动物:品系:Balb/C-nude小鼠;
性别:不限;
周龄:6-8周;
体重:18-20g。
2. 操作流程:1)动物适应性饲养7天;
2)皮下移植瘤模型:75% 酒精棉球消毒裸小鼠皮肤, 将( 2~3) ×10^6 ( 0.2ml)的单细胞悬液接种于裸鼠右肩背部皮下,建立皮下移植瘤模型。密切观察皮下肿瘤生长情况,每周用游标卡尺测量肿瘤大小,按公式V=1/2长径×短径^2,计算肿瘤体积,并绘制皮下移植瘤生长曲线。
3)原位移植瘤模型:3周左右待皮下移植瘤长至1cm 大小时,颈椎脱位法处死皮下荷瘤鼠,消毒皮肤,取下肿瘤,浸入含100 U/mL青霉素和100 ug/mL链霉素的高糖DMEM无血清培养基,去除中央坏死组织,选取周围健康肿瘤组织,剪成大小约1立方毫米瘤块供原位移植用。麻醉机麻醉裸鼠,75%酒精消毒皮肤,左上腹直肠旁线处行1cm 的纵行切口,仔细分开胃与脾之间的薄膜,暴露胰腺,剪开胰腺被膜,将1立方毫米瘤块植入胰体尾处,以8-0 可吸收外科缝线缝合胰腺被膜。将胰腺轻轻送回腹腔,6-0可吸收外科缝线单层缝合腹壁肌层及皮肤。

8周后,摘取移植瘤,福尔马林固定,石蜡包埋,进行HE染色。

风险提示:丁香通仅作为第三方平台,为商家信息发布提供平台空间。用户咨询产品时请注意保护个人信息及财产安全,合理判断,谨慎选购商品,商家和用户对交易行为负责。对于医疗器械类产品,请先查证核实企业经营资质和医疗器械产品注册证情况。
技术资料暂无技术资料 索取技术资料









