万千商家帮你免费找货
0 人在求购买到急需产品
- 详细信息
- 技术资料
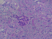
BI0QUANT LIFESCIENCE是由先进的数字扫描显微镜与生命 科学研究专业测量分析软件组成。能够将病理切片样本从实物 形式转化为数据图像,用于测量和分析。可以自动采集序列图 片并拼接成可达1TB的高分辨率单色或多色大图,具备图像剪辑 、图像测绘和图像校正。内置生命科学研究者常用的组织形态 学数据测量模板和计算公式,自动完成二维和三维形态学计量 。应用连续切片实现组织结构的3D重构。支持高精度的人工交 互操作来得出形态计量学数据,在现代病理学、组织工程学、 生物学和生命科学研究中,满足高效率、可存储、即时分析、 安全共享、教学、远程会诊等需求。


风险提示:丁香通仅作为第三方平台,为商家信息发布提供平台空间。用户咨询产品时请注意保护个人信息及财产安全,合理判断,谨慎选购商品,商家和用户对交易行为负责。对于医疗器械类产品,请先查证核实企业经营资质和医疗器械产品注册证情况。
技术资料暂无技术资料 索取技术资料
生命科学计量分析
询价









