相关产品推荐更多 >
万千商家帮你免费找货
0 人在求购买到急需产品
- 详细信息
- 文献和实验
- 技术资料
- 库存:
现货
- 英文名:
SPINeasy™ 96-Well DNA Kit for Tissue
- 供应商:
MP Biomedicals
- 保存条件:
15-25℃
- 规格:
116559096(96 PREPS)/116559496(4 x 96 PREPS)
| 规格: | 116559096(96 PREPS) | 产品价格: | ¥1700.0 |
|---|---|---|---|
| 规格: | 116559496(4 x 96 PREPS) | 产品价格: | ¥6000.0 |
SPINeasy™ 96-Well DNA Kit for Tissue是应用96孔硅胶膜结合板的高性能组织基因组 DNA (gDNA) 提取试剂盒。无需使用任何有机溶剂或精密的实验设备。独特的Buffer TD1 和蛋白酶 K 能有效裂解各种类型的样本,包括坚韧的组织、纤维组织和脂肪组织。加入Buffer TD2,可使DNA特异性结合到96 DNA Plate M中。使用该试剂盒从多种组织中提取的 gDNA 显示出最佳的完整性和纯度,可立即应用于大多数下游实验,包括长片段 PCR、real-time PCR、限制性酶切和测序等。
Kit performance

Figure 1: 比较使用SPINeasy™ 96-Well DNA Kit for Tissue与竞品 O 和 Z的同类型试剂盒从不同类型样本中提取 gDNA 的质量和产量。
使用分光光度计评估 DNA 的产量、A260/280和 A260/230(组织样本量为15 mg)。 使 用 Agilent Tapestation 4150 分析虚拟凝胶图像和 DNA完整值(DIN,绿色或黄色)。

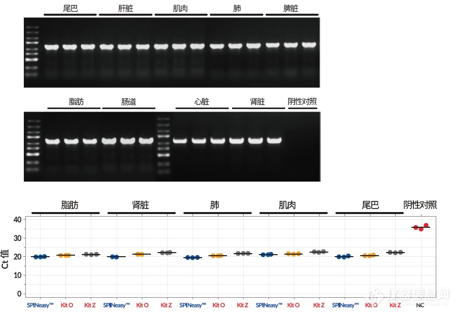
Figure 2. SPINeasy™ 96-Well DNA Kit for Tissue提取的 DNA的扩增能力。
上图: 使用SPINeasy™ 96-Well DNA Kit for Tissue从小鼠的不同组织中分离出的 gDNA, PCR扩增产物的琼脂糖凝胶电泳图。以1 μL提取的gDNA为模版,使用小鼠特异性α-actin引物进行扩增(产物大小为1 kb)。 不 含 DNA的无菌水作为阴性对照(NC)。
下图: 扩增使用SPINeasy™ 96-Well DNA Kit for Tissue和竞品 O和Z 的同类试剂盒提取等量的脂肪、肾脏、肺、肌肉和尾巴组织 gDNA(约 25 ng), 比 较qPCR 的阈值循环 (Ct) 。不含 DNA的无菌水作为阴性对照(NC)。
Application Notes
SPINeasy™ 96-Well DNA Kit for Tissue一款专门针对丛组织样本中高通量提取基因组DNA 的高性能试剂盒。
风险提示:丁香通仅作为第三方平台,为商家信息发布提供平台空间。用户咨询产品时请注意保护个人信息及财产安全,合理判断,谨慎选购商品,商家和用户对交易行为负责。对于医疗器械类产品,请先查证核实企业经营资质和医疗器械产品注册证情况。
文献和实验血液/组织/细胞基因组DNA提取试剂盒操作指南(DP304)——动物组织
以下操作按照天根产品 DP304 血液/组织/细胞基因组 DNA 提取试剂盒的说明书进行,所有反应现象仅适用于该产品及本文所标明的样本量。如使用其它操作流程或产品,样本量不同可能现象与本文有所差异。实验准备:1. 大鼠肝脏10-30 mg 研磨器2. 移液器及配套无菌枪头(10 μl, 200 μl ,1ml),1.5 ml 离心管3. PBS溶液,无水乙醇4. 涡旋振荡器,金属浴/水浴,台式离心机实验准备-试剂盒准备使用前先在漂洗液PW和GD中加入无水乙醇,加入体积请参照瓶上的标签。本文
血液/组织/细胞基因组DNA提取试剂盒操作指南(DP304)——抗凝全血
以下操作按照天根产品 DP304 血液/组织/细胞基因组 DNA 提取试剂盒的说明书进行,所有反应现象仅适用于该产品及本文所标明的样本量。如使用其它操作流程或产品,样本量不同可能现象与本文有所差异。一、实验准备:1.抗凝血 300 μl~1ml 抗凝全血2.自备试剂:无水乙醇 ;红细胞裂解液(目录号:RT122);3.移液器及配套无菌枪头(200 μl ,1ml); 1.5 ml 离心管4.涡旋振荡器 金属浴/水浴 台式离心机备注:本实验以人血为例,如提取哺乳
以下操作按照天根产品 DP321 快捷型植物基因组 DNA 提取试剂盒的说明书进行,所有反应现象仅适用于该产品及本文所标明的样本量。如使用其它操作流程或产品,样本量不同可能现象与本文有所差异。实验准备:1. 植物叶片2. 研钵 液氮3. 移液器及配套无菌枪头(200 μl ,1ml),1.5 ml离心管4. 异丙醇,70%乙醇,干净吸水纸5. 涡旋振荡器,金属浴/水浴,台式离心机本文版权归天根生化科技(北京)有限公司所有,仅供个人学习使用,请勿转载












