万千商家帮你免费找货
0 人在求购买到急需产品
- 详细信息
- 询价记录
- 文献和实验
- 技术资料
- 提供商:
北京永欣康泰科技发展有限公司
- 服务名称:
消化性溃疡动物模型
一、Hp感染引起的胃溃疡模型
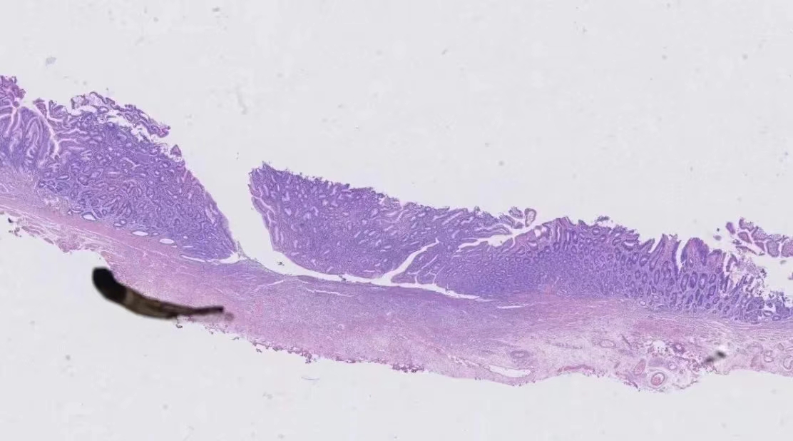
蒙古沙鼠,雌性,6~7周,50~60g。灌胃前24小时禁食、4小时前禁水。每只动物给予国际标准菌株Hp(ATCC 43504)灌胃0.5ml。灌胃后4小时恢复食水,隔天灌一次,共5次,对照组灌0.5ml布氏肉汤。末次灌胃后24周、48周、52周,尿素酶阳性率分别为66.6%、83.3%、83.3%,Hp培养阳性率分别为66.6%、66.6%、83.3%,血清抗HpIgG抗体水平比对照组显著升高。肉眼可见胃黏膜明显出血、炎症及溃疡,溃疡多发生在胃窦,呈圆形或卵圆形,直径0.2~0.5cm,边缘稍微凸起。镜下在小弯侧胃窦部可见到溃疡。
二、Hp感染引起的十二指肠溃疡模型
蒙古沙鼠,雄性,14周,饲养于屏障系统。造模前 24小时禁食,Hp 菌株 TN2GF4(1x10*CFU/ml),每只动物灌胃1ml,对照组只灌布氏肉汤。灌胃后12周,取动物外周血后麻醉处死动物。
三、幽门结扎引起的胃溃疡模型
Wistar大鼠,雌雄兼用,150~225g。禁食12小时(自由饮水)后,口服阿司匹林(200mg/ kg),再禁食18小时,麻醉动物,进行幽门结扎手术。术后4小时,处死动物,开腹、夹住食管取出胃,小心收集胃液并记录胃液量,测定胃液总酸度、胃蛋白酶活性和黏蛋白量。测定胃组织匀浆中的脂质过氧化物、内源性超氧化物歧化酶(SOD)、过氧化氢酶(CAT)、还原型谷胱甘肽(GSH)。将胃浸入1%甲醛中10分钟,沿胃大弯剪开胃,观察溃疡点数,计算溃疡指数和溃疡发生率。结果可见:阿司匹林加幽门结扎组的溃疡发生率为100%,严重的可见到溃疡深达肌层甚至穿孔。与对照组或雷尼替丁组相比,溃疡指数或等级都明显升高,胃液总酸度、胃蛋白酶活性明显升高而黏蛋白量明显降低。脂质过氧化物浓度明显升高而SOD、CAT 和 GSH水平都明显降低。
四、疲劳运动引起胃溃疡模型
Sprague Dawley大鼠,雌性,8周,200~220g,采用跑台训练(也称运动性疲劳训练)。第 1~4周,以逐渐递增的速度(15m/min增至30m/ min)和递增的跑时(25m/d 增至40m/d)。第5~6周,再加大训练强度(表 7-2)。6周训练结束。取血后处死动物,取出胃,沿胃大弯剪开后展平,按溃疡面积大小评分:斑点状出血为1分、线状出血长度小于 1mm 为2分,长度1~2mm为3分,在此基础上每增加1mm则增加1分,依次类推;宽度超过1mm评分加倍。血清皮质醇放免测定。光镜下可见:造模组胃黏膜明显充血水肿、多处出血点和散在斑点状糜烂;随运动强度加大,黏膜结构破坏严重,有的呈坏死脱落,腺体紊乱及溃疡形成,溃疡呈火山口状,可深达黏膜肌层;溃疡指数随运动强度增大而显著增大,与对照组相比差异显著,不同运动强度组之间也有显著差异;血清皮质醇含量明显高于对照组。

检测平台
| 服务项目 | 服务承诺 | 服务周期 | 样本种类 |
| 病理切片、免疫组化 | 染色结果照片 | 2-3周 | 组织 |
| Western blotting | 胶片 | 1-2周 | 蛋白样本或组织 |
| 流式细胞服务 | 散点图、分析数据、设备信息等 | 1-2周 | 血样、骨髓等 |
| 细胞凋亡检测 | 凋亡图、数据分析 | 细胞 | |
| RT-PCR | 扩增图 | 1-2周 | RNA或组织 |
| 血压监测(无创式) | 实时血压数据 | 大、小鼠 |


动物模型更新速度较慢,如店铺内模型为满足您的科研需求,请扫描二维码联系我们,定制专属服务动物模型
风险提示:丁香通仅作为第三方平台,为商家信息发布提供平台空间。用户咨询产品时请注意保护个人信息及财产安全,合理判断,谨慎选购商品,商家和用户对交易行为负责。对于医疗器械类产品,请先查证核实企业经营资质和医疗器械产品注册证情况。
- 作者
- 内容
- 询问日期
文献和实验[1]高蓉,苟炜.胃溃疡动物模型研究进展及评价[J].基层医学论坛, 2015, 19(26):2.DOI:CNKI:SUN:YXLT.0.2015-26-073.
知识,提高公众对乳腺癌的关注。 图 1. 2020 年全球范围乳腺癌年龄标准化发病率预估 动物模型是疾病研究及治疗方法探索中必不可少的工具,一个理想的乳腺癌动物模型应与人乳腺癌的肿瘤分子特性及生物行为学等方面存在共性,以便于发病机制的研究及治疗新药的开发。但从癌症的分型来看,单一的动物模型对乳腺癌表型模拟程度有限,因此在实际研究中还需结合具体需求选择合适的动物模型,才能更好地达到研究目的。接下来小编将带大家一起了解一下不同的乳腺癌模型特点及如何选择合适的模型。 乳腺癌动物模型主流的乳腺癌小鼠
癌症已经成为影响人类健康的重要疾病,发病率呈现逐年上升趋势,癌症研究领域中公认的缺陷之一是缺乏能够研究癌变和癌症治疗的模型系统。在过去的几十年中,抗肿瘤治疗药物的研发呈现爆炸式的增长,但是绝大多数新疗法都不能顺利通过III期临床试验,其主要原因就是缺乏合适的体内模型。我们常用的人类肿瘤细胞系或患者源性肿瘤移植到免疫缺陷小鼠体内的肿瘤动物模型,使用人类肿瘤细胞系建立的动物模型称作肿瘤细胞系异种移植模型(Cancer cell line-based xenograft , CDX),而使
jchent 有意研究wnt信号通路,但是生手不知如何下手。看到一篇文献做的是鸟的wnt相关基因表达,我想换一种动物模型,比如将鸟换成小鼠,将来可以比较二者的不同。不确定这是否可算作是科研创新?意义大吗?非常感谢!! qingguyouquan 我认为不算科研创新,是跟在别人后面走而已。不过也可以了,如果结果好的话毕业时没问题的。严格意义上的创新基本上是别人没怎么做或者没怎么涉及的,而你从另一个角度独辟蹊径,取得了一定成果











