万千商家帮你免费找货
0 人在求购买到急需产品
- 详细信息
- 文献和实验
- 技术资料
- 提供商:
北京永欣康泰科技发展有限公司
- 服务名称:
炎症性肠病动物模型
一、半抗原诱导法造模操作
1. 小鼠:
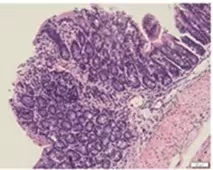
雄性 BALB/c,7~9 周,18~21g,先以3.3% DNCB涂于腹部皮肤2.0cmx1.5cm 区域致敏,每只50μl,每天一次,连续4 天。第5天开始灌肠(激发过敏):将直径 1mm的硅胶管从肛门插入结肠约3.5cm,灌入0.1%、0.2%和0.4% DNCB(灌肠液用60%乙醇配制),2.0μl/g,每天1次,连续4天。观察疾病活动指数、结肠大体和镜下改变以及白细胞移动抑制因子活性的改变。第9天处死动物,大体病理可见:0.1%DNCB组结肠轻度水肿,黏膜充血;0.2%DNCB组肠管粘连、胀气;4% DNCB组可见较广泛的结肠粘连、近端肠腔扩张及少量白色渗出物,结肠黏膜充血、坏死、多处溃疡形成。镜下可见:0.1%DNCB组少量淋巴结增生,腺体排列不整齐且数目减少;0.2% DNCB组腺体排列紊乱,杯状细胞减少,黏膜固有层弥漫性炎性细胞浸润,隐窝脓肿及溃疡形成;0.4% DNCB组镜下见隐窝缺损明显,组织结构紊乱,黏膜糜烂、出血、坏死和大面积深层溃疡形成。同时模型组的疾病活动指数以及LMIF 活性均显著高于对照组。
2. 大鼠:
雌性 Sprague Dawley 大鼠,150~200g, TNBS 溶于不完全福氏佐剂中,先在大鼠背部皮内注射 0.8%TNBS 0.5ml 致敏。24 小时后,向空肠内灌入 0.2mgTNBS,每天一次,共3周。最后一次灌肠后 24小时处死动物,肉眼可见小肠远端黏膜表面充血水肿,镜下可见肠壁全层有淋巴细胞浸润,透壁性肉芽肿并伴多形核细胞浸润为特征的炎性病变。
3.豚鼠:
成年雄性 Hartley豚鼠,500~700g.2% DNCB(用乙醇溶解)涂于颈部皮肤致敏,每天一次,共7次。最后一次致敏后7天,麻醉下用0.25% DNCB灌肠液给豚鼠灌肠,每天一次,共14次。最后一次灌肠后14天处死动物。取远端2/3结肠组织和肠系膜淋巴结。结果:结肠炎发生率100%。大体可见结肠浆膜面有红斑,静脉明显充血。镜下管周单个核细胞浸润。固有层淋巴细胞形成的玫瑰花环的量显著高于对照组,有丝分裂原引起的细胞毒作用也显著大于对照组。
4.家兔:
成年新西兰家兔,体重3kg左右,以0.1ml2% DNCB 涂于侧腹部皮肤直径约1cm区域。10天后,麻醉,将连有1ml注射器的外径约 10mm 的塑料管经肛门插入约12cm,20%DNCB灌肠,每只0.5ml。分别于灌肠后3天、14天和35天处死动物。结果可见:灌肠后3天和 14天,黏膜层和黏膜下层水肿,固有层浆细胞、多形核白细胞及嗜酸性粒细胞浸润,有隐窝脓肿及浅溃疡。灌肠后 35天,则呈增生表现:隐窝脓肿和溃疡均消失,代之以出现隐窝排列紊乱、缺失,固有层浆细胞、淋巴细胞、肥大细胞及一些嗜酸性粒细胞浸润增多。固有层和黏膜下组织也见到成纤维细胞增多。
二、评价方式
疾病活动指数(DAI)
结肠长度和重量检测
组织学与免疫组化
上皮细胞增值和迁移评估

检测平台
| 服务项目 | 服务承诺 | 服务周期 | 样本种类 |
| 病理切片、免疫组化 | 染色结果照片 | 2-3周 | 组织 |
| Western blotting | 胶片 | 1-2周 | 蛋白样本或组织 |
| 流式细胞服务 | 散点图、分析数据、设备信息等 | 1-2周 | 血样、骨髓等 |
| 细胞凋亡检测 | 凋亡图、数据分析 | 细胞 | |
| RT-PCR | 扩增图 | 1-2周 | RNA或组织 |
| 血压监测(无创式) | 实时血压数据 | 大、小鼠 |


动物模型更新速度较慢,如店铺内模型为满足您的科研需求,请扫描二维码联系我们,定制专属服务动物模型
风险提示:丁香通仅作为第三方平台,为商家信息发布提供平台空间。用户咨询产品时请注意保护个人信息及财产安全,合理判断,谨慎选购商品,商家和用户对交易行为负责。对于医疗器械类产品,请先查证核实企业经营资质和医疗器械产品注册证情况。
文献和实验李时杰, 牛俊坤, 缪应雷. 炎症性肠病动物模型研究进展 [J] . 中华炎性肠病杂志, 2019, 03(1) : 21-24.










