相关产品推荐更多 >
万千商家帮你免费找货
0 人在求购买到急需产品
- 详细信息
- 文献和实验
- 技术资料
- 免疫原:
Recombinant Human CD68 protein (Catalog#11192-H08B1)
- 亚型:
Rabbit IgG
- 形态:
液体
- 保存条件:
在-20℃ to -80℃
- 克隆性:
PAb
- 适应物种:
兔
- 保质期:
12个月
- 抗原来源:
11192-H08B1
- 目录编号:
11192-T24
- 级别:
免疫学试剂
- 库存:
99
- 供应商:
北京义翘神州科技股份有限公司
- 宿主:
Rabbit
- 应用范围:
ELISA,IHC-P
- 浓度:
ELISA: 1:5000-1:10000;IHC-P: 1:2500-1:10000
- 靶点:
CD68
- 抗体英文名:
CD68 Antibody, Rabbit PAb, Antigen Affinity Purified
- 抗体名:
CD68 兔多抗 (抗原亲和纯化)
- 规格:
100 µL
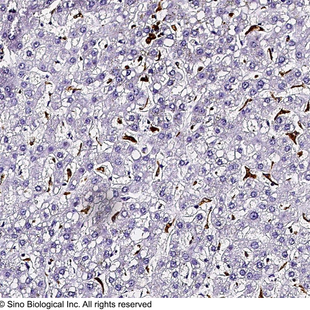
CD68 兔多抗 (抗原亲和纯化)(产品说明)
抗体种属:Human
抗体靶点:CD68
抗体应用:ELISA,IHC-P
抗原货号:11192-H08B1
抗原描述:Recombinant Human CD68 protein (Catalog#11192-H08B1)
抗体宿主:Rabbit
抗体Ig类型:Rabbit IgG
抗体纯化方法:Protein A & Antigen Affinity
抗体制备:Produced in rabbits immunized with purified, recombinant Human CD68 (rh CD68; Catalog#11192-H08B1; P34810-1; Met1-Ser319). CD68 specific IgG was purified by Human CD68 affinity chromatography.
抗体特异性:Human CD68
抗体保存:This antibody can be stored at 2℃-8℃ for one month without detectable loss of activity. Antibody products are stable for twelve months from date of receipt when stored at -20℃ to -80℃. Preservative-Free. Avoid repeated freeze-thaw cycles.
风险提示:丁香通仅作为第三方平台,为商家信息发布提供平台空间。用户咨询产品时请注意保护个人信息及财产安全,合理判断,谨慎选购商品,商家和用户对交易行为负责。对于医疗器械类产品,请先查证核实企业经营资质和医疗器械产品注册证情况。
文献和实验1, Zhao L, et al. Reducing macrophage numbers alleviates temporomandibular joint ankylosis.Cell and tissue research, PubMed ID: 31522279
技术资料暂无技术资料 索取技术资料









