相关产品推荐更多 >
万千商家帮你免费找货
0 人在求购买到急需产品
- 详细信息
- 技术资料
- 免疫原:
peptide
- 亚型:
IgG
- 形态:
Liquid
- 保存条件:
-20℃
- 克隆性:
mAb
- 适应物种:
Human
- 保质期:
1年
- 目录编号:
TD-P23326
- 级别:
科研级
- 库存:
88
- 供应商:
武汉天德
- 宿主:
Mouse
- 应用范围:
ELISA、IHC、WB
- 靶点:
详询
- 抗体英文名:
Rabbit Polyclonal Antibody to CD179b
- 抗体名:
CD179b
- 规格:
100ul/50ul
| 规格: | 100ul | 产品价格: | ¥2180.0 |
|---|---|---|---|
| 规格: | 50ul | 产品价格: | ¥1280.0 |
Rabbit Polyclonal Antibody to CD179b
Description |
|
| Critical for B-cell development. | |
Specification |
|
| Aliases | IGLL1; IGL1; Immunoglobulin lambda-like polypeptide 1; CD179 antigen-like family member B; Ig lambda-5; Immunoglobulin omega polypeptide; Immunoglobulin-related protein 14.1; CD179b |
| Entrez GeneID | 3543 |
| Swissprot | P15814 |
| WB Predicted band size | Calculated MW: 23 kDa; Obs/erved MW: 23 kDa |
| Host/Isotype | Rabbit IgG |
| Antibody Type | Primary antibody |
| Storage | Store at 4°C short term. Aliquot and store at -20°C long term. Avoid freeze/thaw cycles. |
| Species Reactivity | Human |
| Immunogen | The antiserum was produced against synthesized peptide derived from the C-terminal region of human IGLL1. AA range:151-200 |
| Formulation | Liquid in PBS containing 50% glycerol, 0.5% BSA and 0.02% sodium azide, pH 7.3. |
Application |
|
| WB | 1/500-1/1000 |
| IHC | 1/50-1/100 |
| ELISA | 1/10000 |
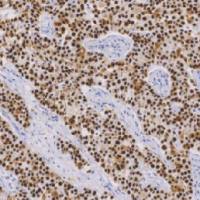
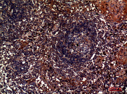
Product Image |
|
|
|
风险提示:丁香通仅作为第三方平台,为商家信息发布提供平台空间。用户咨询产品时请注意保护个人信息及财产安全,合理判断,谨慎选购商品,商家和用户对交易行为负责。对于医疗器械类产品,请先查证核实企业经营资质和医疗器械产品注册证情况。
技术资料暂无技术资料 索取技术资料
CD179b
¥1280 - 2180









