相关产品推荐更多 >
万千商家帮你免费找货
0 人在求购买到急需产品
- 详细信息
- 文献和实验
- 技术资料
- 免疫原:
peptide
- 亚型:
IgG1
- 形态:
Liquid
- 保存条件:
-20℃
- 克隆性:
mAb
- 适应物种:
Human
- 保质期:
1年
- 目录编号:
TD-32295
- 级别:
科研级
- 库存:
88
- 供应商:
武汉天德
- 宿主:
Mouse
- 应用范围:
FCM、ELISA、IHC
- 靶点:
详询
- 抗体英文名:
Mouse Monoclonal Antibody to CD162
- 抗体名:
CD162
- 规格:
100ul/50ul
| 规格: | 100ul | 产品价格: | ¥2180.0 |
|---|---|---|---|
| 规格: | 50ul | 产品价格: | ¥1280.0 |
Mouse Monoclonal Antibody to CD162
Description |
|
| This gene encodes a glycoprotein that functions as a high affinity counter-receptor for the cell adhesion molecules P-, E- and L- selectin expressed on myeloid cells and stimulated T lymphocytes. As such, this protein plays a critical role in leukocyte trafficking during inflammation by tethering of leukocytes to activated platelets or endothelia expressing selectins. This protein requires two post-translational modifications, tyrosine sulfation and the addition of the sialyl Lewis x tetrasaccharide (sLex) to its O-linked glycans, for its high-affinity binding activity. Aberrant expression of this gene and polymorphisms in this gene are associated with defects in the innate and adaptive immune response. Alternate splicing results in multiple transcript variants. | |
Specification |
|
| Aliases | CLA; SELPLG; PSGL1; PSGL-1 |
| Entrez GeneID | 6404 |
| Swissprot | Q14242 |
| clone | 3D5E11 |
| WB Predicted band size | 43.2kDa |
| Host/Isotype | Mouse IgG1 |
| Antibody Type | Primary antibody |
| Storage | Store at 4°C short term. Aliquot and store at -20°C long term. Avoid freeze/thaw cycles. |
| Species Reactivity | Human |
| Immunogen | Purified recombinant fragment of human CD162 (AA: 42-320) expressed in E. Coli. |
| Formulation | Purified antibody in PBS with 0.05% sodium azide |
Application |
|
| IHC | 1/200 - 1/1000 |
| FCM | 1/200 - 1/400 |
| ELISA | 1/10000 |
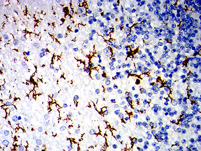
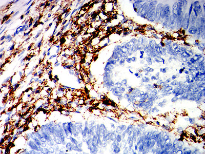
Product Image |
|
|
|
|
|
风险提示:丁香通仅作为第三方平台,为商家信息发布提供平台空间。用户咨询产品时请注意保护个人信息及财产安全,合理判断,谨慎选购商品,商家和用户对交易行为负责。对于医疗器械类产品,请先查证核实企业经营资质和医疗器械产品注册证情况。
文献和实验How Do I make an Antibody against a Peptides
of mcKLH is highly soluble, making coupling reactions easier to complete. Figure 1. Peptide Carrier Conjugation using Maleimide Activated Carriers Figure 2. EDC-Mediated Peptide-Carrier Conjugation
Too many bands on a Western blot
Too many bands on a Western blot Western- or immunoblotting is a commonly employed technique for the detection of protein antigens in complex mixtures. Samples are first separated by SDS-polyacrylamide gel
for the technique of embedding specimens in plastic
for the technique of embedding specimens in plastic Day 1 Use of rubber gloves, lab coat, and safety glasses is mandatory. Step 2 : On working mat, place the following: metal disposal dish
技术资料暂无技术资料 索取技术资料










