万千商家帮你免费找货
0 人在求购买到急需产品
- 详细信息
- 文献和实验
- 技术资料
- 免疫原:
peptide
- 亚型:
IgG1
- 形态:
Liquid
- 保存条件:
-20℃
- 克隆性:
mAb
- 适应物种:
Human
- 保质期:
1年
- 目录编号:
TD-31317
- 级别:
科研级
- 库存:
88
- 供应商:
武汉天德
- 宿主:
Mouse
- 应用范围:
FCM、ELISA、IHC
- 靶点:
详询
- 抗体英文名:
Mouse Monoclonal Antibody to CD100
- 抗体名:
CD100
- 规格:
100ul/50ul
| 规格: | 100ul | 产品价格: | ¥2180.0 |
|---|---|---|---|
| 规格: | 50ul | 产品价格: | ¥1280.0 |
Mouse Monoclonal Antibody to CD100
Description |
|
| SEMA4D (Semaphorin 4D) is a Protein Coding gene. Diseases associated with SEMA4D include Hemorrhagic Fever With Renal Syndrome. Among its related pathways are Guidance Cues and Growth Cone Motility and Developmental Biology. GO annotations related to this gene include receptor binding and transmembrane signaling receptor activity. An important paralog of this gene is SEMA4B. | |
Specification |
|
| Aliases | SEMA4D; SEMAJ; coll-4; C9orf164; M-sema-G |
| Entrez GeneID | 10507 |
| Swissprot | Q92854 |
| clone | 5C5B10 |
| WB Predicted band size | 96.2kDa |
| Host/Isotype | Mouse IgG1 |
| Antibody Type | Primary antibody |
| Storage | Store at 4°C short term. Aliquot and store at -20°C long term. Avoid freeze/thaw cycles. |
| Species Reactivity | Human |
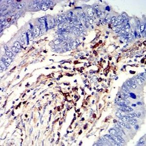
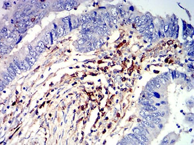
| Immunogen | Purified recombinant fragment of human CD100 (AA: extra 590-734) expressed in E. Coli. |
| Formulation | Purified antibody in PBS with 0.05% sodium azide |
Application |
|
| IHC | 1/200 - 1/1000 |
| FCM | 1/200 - 1/400 |
| ELISA | 1/10000 |
Product Image |
|
|
|
|
|
风险提示:丁香通仅作为第三方平台,为商家信息发布提供平台空间。用户咨询产品时请注意保护个人信息及财产安全,合理判断,谨慎选购商品,商家和用户对交易行为负责。对于医疗器械类产品,请先查证核实企业经营资质和医疗器械产品注册证情况。
文献和实验人S 蛋白100B (S-100B) 酶联免疫分析 试剂盒使用说明书 本试剂仅供研究使用 目的:本试剂盒用于测定人血清,血浆及相关液体样本中S 蛋白100B (S-100B) 的含量。 实验原理: 本试剂盒应用双抗体夹心法测定标本中人 S 蛋白 100B (S-100B) 水平。用纯化的人 S 蛋白 100B (S-100B) 抗体包被微孔板,制成固相抗体,往包被单抗的微孔中依次加入 S 蛋白 100
科研君们,当埋头实验几月找到了目标基因片段,电泳时条带却突然消失了;千辛万苦分离纯化的物质,色谱图中却意外出现杂质峰,苦苦查询,可能仍找不到问题原因。若问题只在小小的吸头上,科研君的心还能淡定吗? 吸头的问题在哪里,如何保证纯净无污染的吸头?需要考虑以下几方面因素: 一、 吸头材质 吸头市场上,原材料基本都是聚丙烯塑料(低吸附,化学惰性高,使用温度范围广,无色透明)。也许大家不知道的是,同样是聚丙烯,品质会有大的差别。高品质的吸头一般采用天然 100% 纯聚丙烯,而低廉的吸头则很多
流式课堂 | 易被忽略的 CD4、CD8 共表达细胞——胸腺淋巴细胞
做过流式实验的同学,对 CD4、CD8 这两个指标都不会陌生。检测 CD4+ T 细胞和 CD8+ T 细胞分型,是流式中最常见的实验之一。 通常,我们会先检测 CD3,来圈总T淋巴细胞,再分别用 CD4 抗体和 CD8 抗体,来区分 CD4+ T 淋巴细胞(辅助或调节性T细胞)和 CD8+ T 淋巴细胞(细胞毒性 T 细胞)。 新生小鼠脾脏细胞 上图为新生小鼠脾脏细胞进行的 CD3-PE、CD4-FITC、CD8-APC 三色流式实验结果。从图中可以看出,在新生小鼠脾脏中,绝大
技术资料暂无技术资料 索取技术资料










