万千商家帮你免费找货
0 人在求购买到急需产品
- 详细信息
- 文献和实验
- 技术资料
- 形态:
Liquit
- 保存条件:
-20℃
- 克隆性:
单克隆
- 适应物种:
Human,(predicted:Mouse,Rat,)
- 保质期:
1年
- 抗原来源:
peptiede
- 目录编号:
TDCCR-0200
- 级别:
科研级
- 库存:
88
- 供应商:
武汉天德
- 宿主:
兔
- 浓度:
1mg/ml
- 抗体英文名:
CAldesmon
- 抗体名:
CAldesmon
- 规格:
1ml工作液

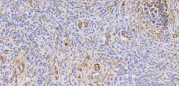
Caldesmon 兔抗人钙结合蛋白单克隆抗体
钙结合蛋白是一种平滑肌肌动蛋白和钙调蛋白的结合蛋白,位于细肌丝,调节肌动蛋白和肌球蛋白的相互作用,是一种平滑肌细胞的标记物。在临床诊断中,(Caldesmon可以用于从真性平滑肌瘤中鉴别肌纤维母细胞瘤),与CD10联合应用,用于子宫平滑肌肿瘤和子宫内膜间质肉瘤的鉴别。
- 货号:TDCCR-0200
- 克隆号:E89
- 阳性部位:胞质
- 适用组织:石蜡切片
- 预处理:热修复
风险提示:丁香通仅作为第三方平台,为商家信息发布提供平台空间。用户咨询产品时请注意保护个人信息及财产安全,合理判断,谨慎选购商品,商家和用户对交易行为负责。对于医疗器械类产品,请先查证核实企业经营资质和医疗器械产品注册证情况。
文献和实验广义的是指与钙离子进行特异结合的蛋白质之总称。与活体内钙的多种功能相应地有多种功能的蛋白质,可分别为以Ca 2 为活化因子的酶(血液凝固因子、各种蛋白酶、磷脂酶 A 2 和α - 淀粉酶等分解酶、膜的 Ca 2 运输 ATPase 、磷酸化酶 b 激酶)及无酶活性的两类,后者多称为狭义的钙结合蛋白,其中又分为:( 1 )与酶或细胞的机能调控有关的;( 2 )通过与 Ca 2 结合使游离的离子浓度降低,具有贮藏 Ca 的功能的。但也有功能未被测定的。肌宁蛋白 C 及调钙蛋白
补充维生素 D 真的有益吗?JAMA 子刊研究表明:效果可能取决于你的体重
越低。同样,25-OHD3、游离维生素 D(FVD)、生物可利用维生素 D(BioD)、维生素 D 结合蛋白(VDBP)、白蛋白和钙的水平都随着 BMI 的升高而降低,而甲状旁腺激素水平较高。 与安慰剂组相比,补充维生素 D 会增加参与者血液中的总 25-OHD, 25-OHD3, FVD 和 BioD 的水平,但在 BMI 较高的参与者中,这种增加显著降低。此外,补充维生素 D 对 VDBP、白蛋白、甲状旁腺激素或钙水平没有实质性改变。 文章来源:JAMA Network Open
tissue,human testis tissue,human brain tissue IF:Hela,HepG2 另外有 HRP、FITC、Bintin 标记的多抗对应货号分别为: CSB-PA07179B0Rb、CSB-PA07179C0Rb、CSB-PA07179D0Rb 兔抗人淀粉样肽 beta A4 蛋白单克隆抗体 货号:CSB-MA0019501A0m 识别
技术资料暂无技术资料 索取技术资料










