相关产品推荐更多 >
万千商家帮你免费找货
0 人在求购买到急需产品
- 详细信息
- 文献和实验
- 技术资料
- 免疫原:
peptide
- 亚型:
IgG
- 形态:
Liquid
- 保存条件:
-20℃
- 克隆性:
mAb
- 适应物种:
Human
- 保质期:
1年
- 目录编号:
TD-P23343
- 级别:
科研级
- 库存:
88
- 供应商:
武汉天德
- 宿主:
Mouse
- 应用范围:
IHC、ELISA
- 靶点:
详询
- 抗体英文名:
Rabbit Polyclonal Antibody to CD42c
- 抗体名:
CD42c
- 规格:
100ul
Rabbit Polyclonal Antibody to CD42c
Description |
|
| Gp-Ib, a surface membrane protein of platelets, participates in the formation of platelet plugs by binding to von Willebrand factor, which is already bound to the subendothelium. | |
Specification |
|
| Aliases | Platelet glycoprotein Ib beta chain (GP-Ib beta; GPIb-beta; GPIbB; Antigen CD42b-beta; CD antigen CD42c) |
| Entrez GeneID | 2812 |
| Swissprot | P13224 |
| Host/Isotype | Rabbit IgG |
| Antibody Type | Primary antibody |
| Storage | Store at 4°C short term. Aliquot and store at -20°C long term. Avoid freeze/thaw cycles. |
| Species Reactivity | Human,Mouse,Rat |
| Immunogen | Synthetic peptide from human protein at AA range: 90-150 |
| Formulation | Liquid in PBS containing 50% glycerol, 0.5% BSA and 0.02% sodium azide, pH 7.3. |
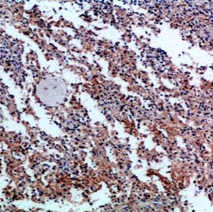
Application |
|
| IHC | 1/50-1/100 |
| ELISA | 1/10000 |
Product Image |
|
|
|
风险提示:丁香通仅作为第三方平台,为商家信息发布提供平台空间。用户咨询产品时请注意保护个人信息及财产安全,合理判断,谨慎选购商品,商家和用户对交易行为负责。对于医疗器械类产品,请先查证核实企业经营资质和医疗器械产品注册证情况。
文献和实验CD42a/CD42b/CD42c/CD42d 分子 CD42a 常用单克隆抗体或代号: FMC25,GR- P;(GPIX) 主要表达细胞: Pt,Meg [Pt] 分子质量(kDa)和结构: gp22,形成血小板,GPIb/Ⅸ复合物功 能: 血小板粘附,结合vWF、凝血酶 CD42b 常用单克隆抗体或代号: PHN89,AN51;(GPIba ) 主要表达细胞: Pt,Meg [Pt]
(135kDa,CD42b)和GPIbβ(22kDa,CD42c),GPIb与另一个糖蛋白分子GPIX(23kDa,CD42a)按1:1的比例通过非共价键结合构成GPIb-IX复合物。GPIbα、GPIbβ和GPIX的共同特点是都含有不同数目的由24个氨a基酸构成的富含亮氨酸糖蛋白的重复序列段(leucine-rech glycoprotein,LRG)。BSs病人的血小板除缺乏GPIbα、GPIbβ、GPIX三种分子外,同时还缺乏另一条称为GPV的肽链。GPV同样含有LRG序列,其功能还不清
1b-α 形成GPIb/Ⅸ复合物 血小板粘附,结合vWF CD42c Pt,Meg 22,血小板GPIb-β CD42d Pt,Meg 85,血小板GPV
技术资料暂无技术资料 索取技术资料










