相关产品推荐更多 >
万千商家帮你免费找货
0 人在求购买到急需产品
- 详细信息
- 文献和实验
- 技术资料
- 免疫原:
peptide
- 亚型:
IgG1
- 形态:
Liquid
- 保存条件:
-20℃
- 克隆性:
mAb
- 适应物种:
Human
- 保质期:
1年
- 目录编号:
TD-31561
- 级别:
科研级
- 库存:
88
- 供应商:
武汉天德
- 宿主:
Mouse
- 应用范围:
FCM、ELISA、IHC、ICC
- 靶点:
详询
- 抗体英文名:
Mouse Monoclonal Antibody to CD182
- 抗体名:
CD182
- 规格:
100ul/50ul
| 规格: | 100ul | 产品价格: | ¥2180.0 |
|---|---|---|---|
| 规格: | 50ul | 产品价格: | ¥1280.0 |
Mouse Monoclonal Antibody to CD182
Description |
|
| The protein encoded by this gene is a member of the G-protein-coupled receptor family. This protein is a receptor for interleukin 8 (IL8). It binds to IL8 with high affinity, and transduces the signal through a G-protein activated second messenger system. This receptor also binds to chemokine (C-X-C motif) ligand 1 (CXCL1/MGSA), a protein with melanoma growth stimulating activity, and has been shown to be a major component required for serum-dependent melanoma cell growth. This receptor mediates neutrophil migration to sites of inflammation. The angiogenic effects of IL8 in intestinal microvascular endothelial cells are found to be mediated by this receptor. Knockout studies in mice suggested that this receptor controls the positioning of oligodendrocyte precursors in developing spinal cord by arresting their migration. This gene, IL8RA, a gene encoding another high affinity IL8 receptor, as well as IL8RBP, a pseudogene of IL8RB, form a gene cluster in a region mapped to chromosome 2q33-q36. Alternatively spliced variants, encoding the same protein, have been identified. | |
Specification |
|
| Aliases | CXCR2; IL8R2; IL8RA; IL8RB; CMKAR2; CDw128b |
| Entrez GeneID | 3579 |
| Swissprot | P25025 |
| clone | 5F7A11 |
| WB Predicted band size | 40.8kDa |
| Host/Isotype | Mouse IgG1 |
| Antibody Type | Primary antibody |
| Storage | Store at 4°C short term. Aliquot and store at -20°C long term. Avoid freeze/thaw cycles. |
| Species Reactivity | Human |
| Immunogen | Purified recombinant fragment of human CD182 expressed in E. Coli. |
| Formulation | Purified antibody in PBS with 0.05% sodium azide |
Application |
|
| IHC | 1/200 - 1/1000 |
| ICC | 1/100 |
| FCM | 1/200 - 1/400 |
| ELISA | 1/10000 |
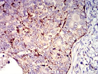
Product Image |
|
|
|
|
|
风险提示:丁香通仅作为第三方平台,为商家信息发布提供平台空间。用户咨询产品时请注意保护个人信息及财产安全,合理判断,谨慎选购商品,商家和用户对交易行为负责。对于医疗器械类产品,请先查证核实企业经营资质和医疗器械产品注册证情况。
文献和实验流式课堂 | 易被忽略的 CD4、CD8 共表达细胞——胸腺淋巴细胞
做过流式实验的同学,对 CD4、CD8 这两个指标都不会陌生。检测 CD4+ T 细胞和 CD8+ T 细胞分型,是流式中最常见的实验之一。 通常,我们会先检测 CD3,来圈总T淋巴细胞,再分别用 CD4 抗体和 CD8 抗体,来区分 CD4+ T 淋巴细胞(辅助或调节性T细胞)和 CD8+ T 淋巴细胞(细胞毒性 T 细胞)。 新生小鼠脾脏细胞 上图为新生小鼠脾脏细胞进行的 CD3-PE、CD4-FITC、CD8-APC 三色流式实验结果。从图中可以看出,在新生小鼠脾脏中,绝大
大鼠CD4分子(CD4) 酶联免疫 分析( ELISA ) 试剂 盒使用说明书 本试剂仅供研究使用 目的:本试剂盒用于测定大鼠血清,血浆及相关液体样本中 CD4分子(CD4) 含量。 实验原理 : 本试剂盒应用双抗体夹心法测定 标本 中 大鼠 CD4分子( CD4 ) 水平。用纯化的 大鼠 CD4分子( CD4 ) 抗体包被微孔板,制成固相抗体,往包被单抗的微孔中依次加入 CD4分子( CD4 ) ,再与HRP
机体免疫应答过程的复杂性和严格的调控性,是由多种免疫细胞和免疫分子共同参与完成的。而T淋巴细胞的活化,在免疫应答中扮演着相当重要的角色。研究表明,诱导T细胞的活化与增殖需要两种信号:一种是 TCR/CD3 与抗原提呈细胞(APCs)表面特异的 MHCⅡ 抗原肽复合物结合产生的特异性抗原刺激信号;另一种是非特异性协同刺激信号,由 APCs 表面的协同刺激分子和 T 细胞的相应受体相互作用后产生,其中 CD28/B7 是最为重要的协同刺激分子,能增加 IL-2 的产生,加速T细胞增殖,阻止细胞进入
技术资料暂无技术资料 索取技术资料









