相关产品推荐更多 >
万千商家帮你免费找货
0 人在求购买到急需产品
- 详细信息
- 文献和实验
- 技术资料
- 提供商:
天津国晟中源科技有限责任公司
- 服务名称:
大鼠烫伤动物模型
- 规格:
项
大鼠烫伤动物模型
利用台式超级控温烫伤仪进行大鼠烫伤模型的制备,考察烫伤温度、时间、压力等因素对烫伤程度的影响,并进行烫伤皮肤病理学检查,可以成功地制备大鼠体表深Ⅱ度烫伤、浅Ⅱ度烫伤、Ⅰ度烫伤模型。所建立的模型制备方法操作简单,温度、压力、时间准确可控,烫伤面积恒定,可重复性强。
烫伤模型为开发创伤修复的新药研究提供了理想的动物模型。通过在大鼠身上模拟烫伤过程,研究人员可以观察和评估不同药物对烫伤愈合的影响,为新药的开发提供科学依据。
一、材料与仪器:
实验器材:
①大鼠 ②台式超级控温烫伤仪
实验试剂:
①麻醉剂
二、实验步骤:
1、实验准备
确定大鼠体质量,按照Rubner公式计算烫伤面积。

Rubner公式
选择雄性Wistar大鼠32只,随机分为4组:正常对照组、模型1组、模型2组,每组8只。
2、剃毛麻醉
正常对照组:不进行任何处理。
造模组(模型1组、模型2组):
剃除大鼠背部毛发,确保烫伤区域无毛发遮挡。
使用麻醉剂腹腔注射进行麻醉。
3、烫伤制作
等待麻醉生效,使用台式超级控温烫伤仪配套的烫头制作烫伤创面。
模型1组:
制作4个相同的烫伤创面。

烫伤创面
模型2组:
同样制作4个烫伤创面。

烫伤创面
4、创面观察
在烫伤后立刻以及72h分别观察各组大鼠的创面外观情况,记录数据。详细记录各组大鼠的烫伤后反应、创面愈合情况等数据。
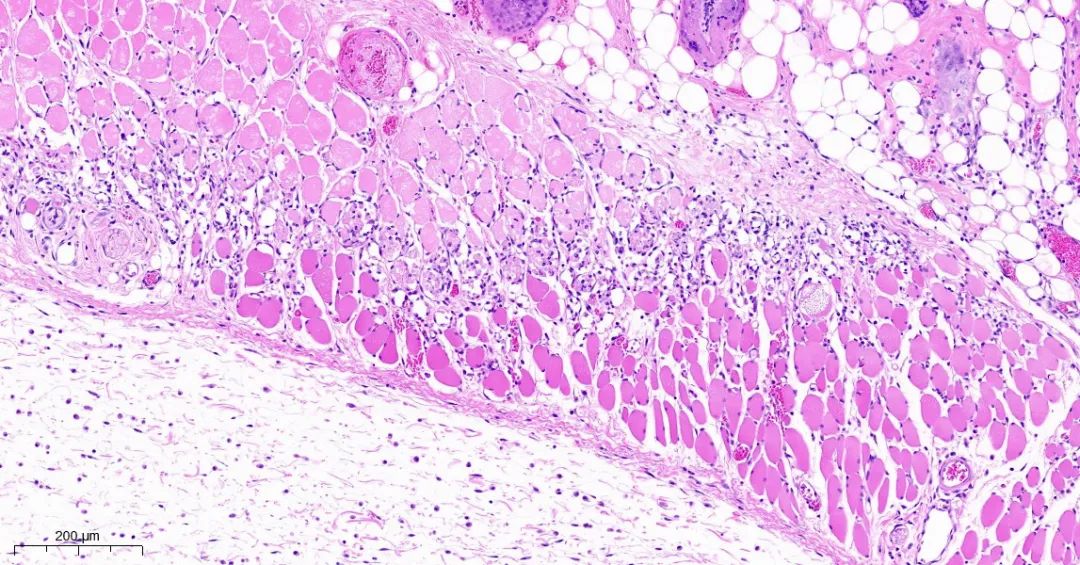
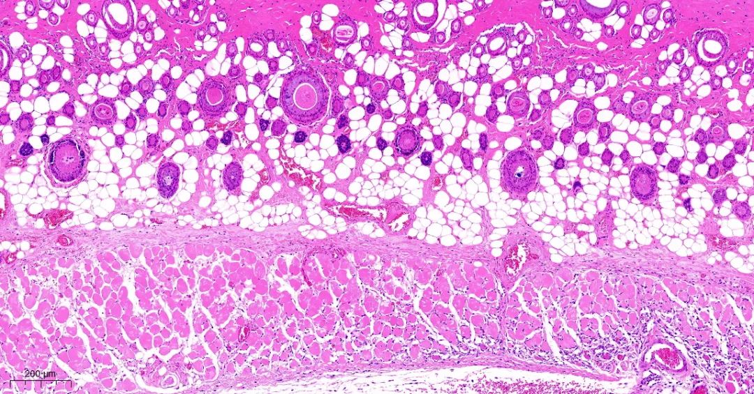
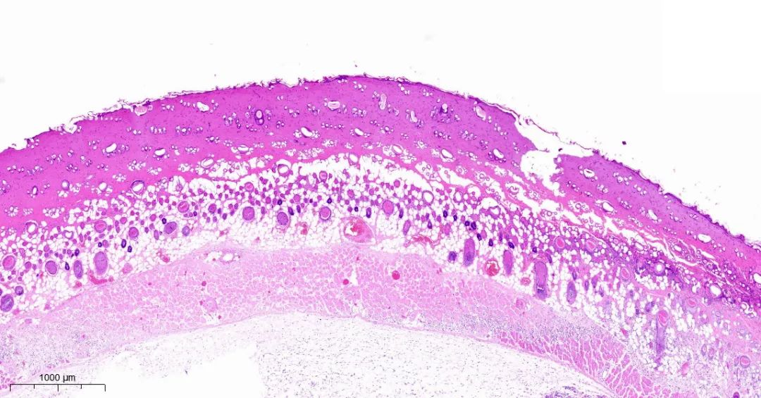
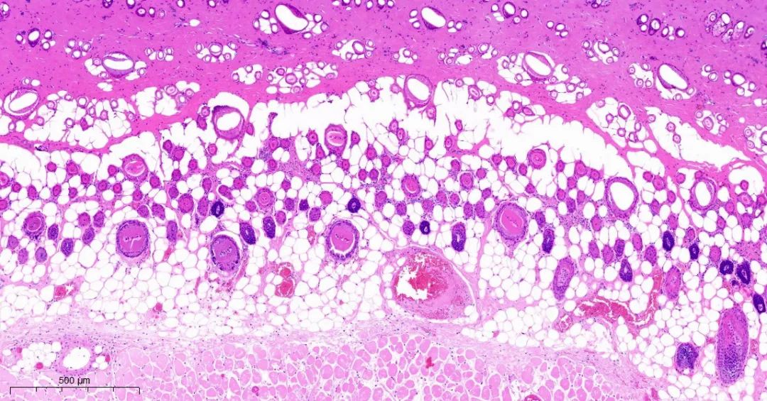
5、病理学检查
取正常对照组及模型组大鼠背部皮肤标本,常规固定,石蜡切片,HE染色,观察皮肤组织学变化。

模型1组皮组织切片对比

模型2组皮组织切片对比
文献参考:
1. 大鼠浅Ⅱ度烫伤实验模型的病理研究 [J] . 朱清如 ,衣承乐 . 上海第二医科大学学报 . 1998,第001期
2. 一种简便的大鼠Ⅱ度烫伤模型制备方法 [J] . 丁毅 ,吾拉尔·阿德力 ,李敏 . 临床与病理杂志 . 2021,第003期
3. 中药烧烫伤复方制剂治疗大鼠烫伤的实验研究 [C] . 袁进 ,顾为望 . 第十三届中南地区实验动物科技交流会 . 2013
风险提示:丁香通仅作为第三方平台,为商家信息发布提供平台空间。用户咨询产品时请注意保护个人信息及财产安全,合理判断,谨慎选购商品,商家和用户对交易行为负责。对于医疗器械类产品,请先查证核实企业经营资质和医疗器械产品注册证情况。
文献和实验摘要:纳米金刚石(ND)因其物理化学特性和生物相容性已被提议应用于各种生物医学,包括生物成像,生物传感和药物输送等。除细胞模型外,如何具有成本效益的同时开展动物实验是关键,而用于体内毒理学测试且快速、灵敏、可重复的斑马鱼胚胎模型则是首选。 随着材料的发展和纳米技术的进步,医学领域也逐渐进入了纳米世界。在所有最近开发的纳米材料中,纳米金刚石(ND)因为极好的物理和化学性质成为碳族一类的新型纳米材料。 此外其低细胞毒性和高表面可修饰性
是大致固定的,若有浸润必会造成细胞核增多,非专业人员如普通研究生可以自己数细胞。 2. 动物实验 wjmed:在动物行为学实验中,最后要处死实验动物。不可否认,这是一项残忍的工作,而且对于我来说,也很残酷。在国外,出于人道考虑,会注射处死,但是由于成本问题,这个目前还没有在国内普及的可能。 对于小鼠,只能脱椎处死。我们发明了一种方法,可以无痛苦处死小鼠(包括大鼠):把小鼠放在干燥中,盖好,抽真空,使小鼠在无痛苦中慢慢缺氧死亡。相对来说,低成本而且人性。
大骨节病动物病理模型,中国地方病防治杂志,(1):55,1987。 18.杨于嘉等:实验性家兔急性脑水肿,湖南医学院学报,8(2):171,1983。 19.杨新生等:脑梗塞的动物模型,湖南医学院学报,9(4):361,1984。 20.钱戍春等:葡萄球菌烫伤样皮肤综合症动物实验模型,中华皮肤杂志,(1):330,1986。 21.徐正谷等:百日咳菌液制作兔脑水肿模型,湖南医学院学报,(1):47,1987。 22.陈生弟:实验性帕金森病动物模型的研究,上海
技术资料









