相关产品推荐更多 >
万千商家帮你免费找货
0 人在求购买到急需产品
- 详细信息
- 文献和实验
- 技术资料
- 库存:
现货
- 英文名:
Recombinant Human Wnt3a V3
- 保质期:
6个月
- 供应商:
上海经科化学科技有限公司
- 保存条件:
-20℃
- 规格:
10ug

Measured by its ability to induce Topflash reporter activity in HEK293T human embryonic kidney cells.The ED50 for this effect is 71.45 ng/ml.
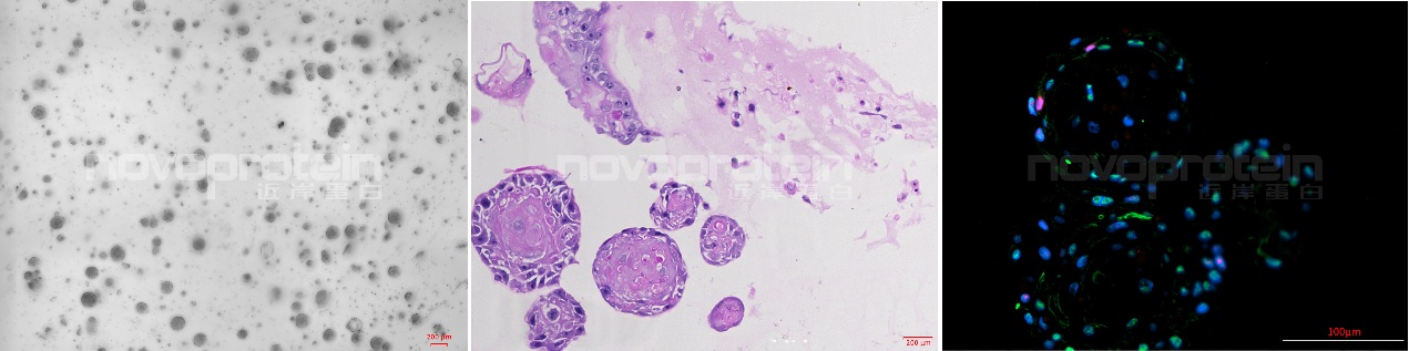
Mouse Colon organoids were cultured with EGF (Cat#C029), Wnt3a (Cat#C22R), Noggin (Cat#C028) , and R-spondin 1 (Cat#CX83). The organoids showed good morphology.
Mouse Gastric organoids were cultured with EGF (Cat#C029), Wnt3a (Cat#C22R), Noggin (Cat#C028) , R-spondin 1 (Cat#CX83) and FGF-10 (Cat#CR11). The organoids showed good morphology.
Human intestinal organoids (ipsc source) were cultured with Activin A(Cat#C687) , BMP-4(CR93) , EGF (Cat#C029) , Wnt3a (Cat#C22R), Noggin (Cat#C028), R-spondin 1 (Cat#CX83) and FGF-4 (Cat#CR08) . The organoids showed good morphology.
Human breast cancer organoids were cultured with Wnt3a (Cat#C22R), Noggin (Cat#CB89) , R-spondin 3 (Cat#C18C) , KGF(Cat#CH73), FGF-10 (Cat#CR11), EGF (Cat#C029) and NRG1-beta 1 (Cat#753). The organoids showed good morphology.- The product is shipped on dry ice/polar packs.
- Upon receipt, store it immediately at the temperature listed below.
- Store at ≤-70°C, stable for 6 months after receipt.
- Store at ≤-70°C, stable for 3 months under sterile conditions after opening.
- Please minimize freeze-thaw cycles.
Four independent lots were tested for activity and plotted on the same graph to show lot-to-lot consistency of Wnt3a V3. (Regularly tested)风险提示:丁香通仅作为第三方平台,为商家信息发布提供平台空间。用户咨询产品时请注意保护个人信息及财产安全,合理判断,谨慎选购商品,商家和用户对交易行为负责。对于医疗器械类产品,请先查证核实企业经营资质和医疗器械产品注册证情况。
文献和实验The protective effect of Wnt3a on inflammatory response in oxygen-glucose deprivation/reoxygenation (OGD/R) astrocyte model
Su-Qin Chen, Ang Li, Min-Yan Feng, Wen-Qing Zhong, Liu Yang, Xiao-Yu Chen, Xing-Er Wu
FOLIA NEUROPATHOLOGICA
Cucurbitacin E Chemosensitizes Colorectal Cancer Cells via Mitigating TFAP4/Wnt/β-Catenin Signaling
Peng Yang, Wen Liu, Rong Fu, Guo-bin Ding, Sajid Amin, Zhuoyu Li
JOURNAL OF AGRICULTURAL AND FOOD CHEMISTRY
Construction of Recombinant Human Cytomegalovirus
The use of reverse genetics to generate recombinant viruses allows the researcher to investigate the exact functional significance of particular viral genes during the virus life cycle, by means of their deletion or modification in the viral
Delivery of Recombinant Adenoviruses to Human Saphenous Vein
The human saphenous vein is the most commonly used conduit for coronary artery bypass grafting owing to its ready availability, ease of harvesting, and favorable surgical handling (1 ). However, it suffers from a progressive decline
Recombinant Genetic Libraries and Human Monoclonal Antibodies
In order to comprehensively manipulate the human proteome we require a vast repertoire of pharmacological reagents. To address these needs we have developed repertoires of synthetic antibodies by phage display, where diversified
技术资料









