万千商家帮你免费找货
0 人在求购买到急需产品
- 详细信息
- 技术资料
- 供应商:
武汉天德
- 库存:
88
- 靶点:
详询
- 级别:
科研级
- 目录编号:
TD-ab218314
- 克隆性:
单克隆
- 抗原来源:
peptiede
- 保质期:
1年
- 抗体英文名:
Rabbit monoclonal [EPR21725] to 4R Tau
- 抗体名:
Anti-4R Tau
- 标记物:
详询
- 宿主:
Rabbit
- 适应物种:
Human,Mouse,Rat
- 免疫原:
Synthetic peptide
- 亚型:
lgG
- 形态:
Liquit
- 应用范围:
IP, WB, IHC-P
- 保存条件:
-20℃
- 浓度:
1mg/ml
- 规格:
10μl/40μl/100μl
| 规格: | 10μl | 产品价格: | 询价 |
|---|---|---|---|
| 规格: | 40μl | 产品价格: | 询价 |
| 规格: | 100μl | 产品价格: | 询价 |
货号:TD-ab218314
-
产品名称
Anti-4R Tau抗体[EPR21725]
-
描述
兔单克隆抗体[EPR21725] to 4R Tau -
宿主
Rabbit -
经测试应用
适用于: IP, WB, IHC-P
不适用于: IHC-Fr -
种属反应性
与反应: Mouse, Rat, Human -
免疫原
Synthetic peptide.
-
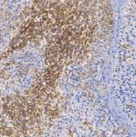
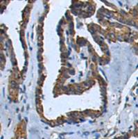
阳性对照
- IHC-P: Human breast carcinoma and cerebrum tissue; Mouse cerebrum and colon tissue; Rat cerebral cortex and colon tissue. WB: Recombinant human 0N4R Tau, 1N4R Tau and 2N4R Tau protein; Mouse hippocampus and brain lysate; Rat hippocampus lysate. IP: Rat hippocampus lysate
风险提示:丁香通仅作为第三方平台,为商家信息发布提供平台空间。用户咨询产品时请注意保护个人信息及财产安全,合理判断,谨慎选购商品,商家和用户对交易行为负责。对于医疗器械类产品,请先查证核实企业经营资质和医疗器械产品注册证情况。
技术资料暂无技术资料 索取技术资料
Anti-4R Tau
询价









