相关产品推荐更多 >

BRN3B Rabbit pAb, FITC conjugated(bs-6985R-FITC)-100ul
¥2980
SOAT1 Rabbit pAb, Biotin conjugated(bs-7544R-Bio)-100ul
¥2980
TGF-beta 3 Rabbit pAb, Cy3 conjugated(bs-20413R-Cy3)-100ul
¥2980
WDR68 Rabbit pAb, HRP conjugated(bs-13682R-HRP)-100ul
¥2980
GPM6B Rabbit pAb, Cy5.5 conjugated(bs-11847R-Cy5.5)-100ul
¥2980
万千商家帮你免费找货
0 人在求购买到急需产品
- 详细信息
- 技术资料
- 应用范围:
产品信息以Bioss网站为准
- 规格:
50ul/100ul
| 规格: | 50ul | 产品价格: | ¥1400.0 |
|---|---|---|---|
| 规格: | 100ul | 产品价格: | ¥2500.0 |
| 产品编号 | bsm-52337R |
| 英文名称 | Melan A Recombinant Rabbit mAb |
| 中文名称 | 黑色素瘤相关抗原/黑色素-A重组兔单抗 |
| 英文别名 | MAR1_HUMAN; Melanoma antigen recognized by T-cells 1; MLANA; MART1; Antigen LB39-AA; Antigen SK29-AA; Protein Melan-A; |
| 产品应用 | WB=1:500-2000, IHC-P=1:50-200, Flow-Cyt=1:50-100, IHC-F=1:50-200, IF=1:50-200, ICC/IF=1:50-200 Not yet tested in other applications. |
| 交叉反应 | Human |
| 抗体来源 | Rabbit |
| 免疫原 | A synthesized peptide derived from human MART1 |
| 亚型 | IgG |
| 性状 | Liquid |
| 纯化方法 | affinity purified by Protein A |
| 克隆类型 | Recombinant |
| 理论分子量 | 13 kDa |
| 浓度 | 1mg/ml |
| 储存液 | 0.01M TBS(pH7.4) with 1% BSA, 0.02% Proclin300 and 50% Glycerol. |
| 研究领域 | Cancer > Tumor immunology > Tumor-associated antigens Tags & Cell Markers > Cell Type Markers > Tumor Associated |
| 亚基 | Interacts with PMEL. Interacts with GPR143. |
| 亚细胞定位 | Endoplasmic reticulum membrane; Single-pass type III membrane protein. Golgi apparatus. Golgi apparatus, trans-Golgi network membrane. Melanosome. Note=Also found in small vesicles and tubules dispersed over the entire cytoplasm. A small fraction of the protein is inserted into the membrane in an inverted orientation. Inversion of membrane topology results in the relocalization of the protein from a predominant Golgi/post-Golgi area to the endoplasmic reticulum. Melanoma cells expressing the protein with an inverted membrane topology are more effectively recognized by specific cytolytic T-lymphocytes than those expressing the protein in its native membrane orientation. |
| 组织特异性 | Expression is restricted to melanoma and melanocyte cell lines and retina. |
| 翻译后修饰 | Acylated. |
| 功能 | Involved in melanosome biogenesis by ensuring the stability of GPR143. Plays a vital role in the expression, stability, trafficking, and processing of melanocyte protein PMEL, which is critical to the formation of stage II melanosomes. |
| 保存条件 | Shipped at 4℃. Store at -20 °C for one year. Avoid repeated freeze/thaw cycles. |
| 注意事项 | This product as supplied is intended for research use only, not for use in human, therapeutic or diagnostic applications. |
| 背景资料 | Melan A, a product of the MART-1 gene, is a melanocyte differentiation marker recognized by autologous cytotoxic T lymphocytes. Other melanoma-associated markers recognized by autologous cytotoxic T cells are reported to include MAGE-1, MAGE-3, tyrosinase, gp100, gp75, BAGE-1 and GAGE-1. The analysis of these different molecules and their expression in individual melanomas may be of help in the study of their particular molecular roles in melanocyte differentiation and tumorigenesis. |
| 应用 | 推荐稀释比例 |
| {WB} | {1:500-2000} |
| {IHC-P} | {1:50-200} |
| {Flow-Cyt} | {1:50-100} |
| {IHC-F} | {1:50-200} |
| {IF} | {1:50-200} |
| {ICC/IF} | {1:50-200} |

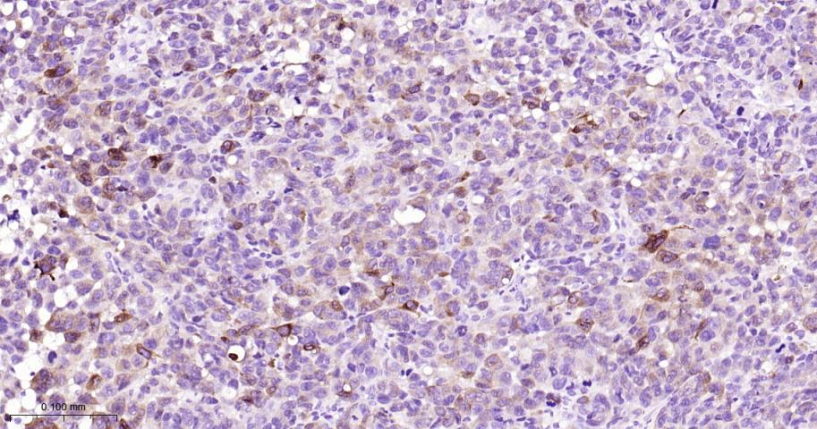
Paraformaldehyde-fixed, paraffin embedded Human melanoma; Antigen retrieval by boiling in sodium citrate buffer (pH6.0) for 15 min; Antibody incubation with Melan A Monoclonal Antibody, Unconjugated(bsm-52337R) at 1:200 overnight at 4°C, followed by conjugation to the bs-0295G-HRP and DAB (C-0010) staining.

25 ug total protein per lane of various lysates (see on figure) probed with MART1 monoclonal antibody, unconjugated (bsm-52337R) at 1:1000 dilution and 4°C overnight incubation. Followed by conjugated secondary antibody incubation at r.t. for 60 min.
风险提示:丁香通仅作为第三方平台,为商家信息发布提供平台空间。用户咨询产品时请注意保护个人信息及财产安全,合理判断,谨慎选购商品,商家和用户对交易行为负责。对于医疗器械类产品,请先查证核实企业经营资质和医疗器械产品注册证情况。
技术资料暂无技术资料 索取技术资料
Melan A Recombinant Rabbit mAb(bsm-52337R)-50ul/100ul
¥1400 - 2500





