相关产品推荐更多 >

C2orf88 Rabbit pAb(bs-15163R)-50ul/100ul/200ul
¥1180
Myosin light chain (phospho S20) Rabbit pAb, BF647 conjugated(bs-7052R-BF647)-100ul
¥2980
HOPX/LAGY Rabbit pAb, FITC conjugated(bs-9462R-FITC)-100ul
¥2980
MAP2 Rabbit pAb, PerCP-Cy5.5 conjugated(bs-1369R-PerCP-Cy5.5)-100ul
¥2980
phospho-MAP3K8 (Ser400) Rabbit pAb(bs-3454R)-50ul/100ul/200ul
¥1180
万千商家帮你免费找货
0 人在求购买到急需产品
- 详细信息
- 文献和实验
- 技术资料
- 应用范围:
产品信息以Bioss网站为准
- 规格:
50ul/100ul/25ul
| 规格: | 50ul | 产品价格: | ¥1400.0 |
|---|---|---|---|
| 规格: | 100ul | 产品价格: | ¥2500.0 |
| 规格: | 25ul | 产品价格: | ¥800.0 |
| 产品编号 | bsm-60751R |
| 英文名称 | Heme Oxygenase 1 Recombinant Rabbit mAb |
| 中文名称 | 血红素氧合酶 1抗体 |
| 英文别名 | Heme oxygenase(decycling) 1; Heme oxygenase 1; Hemox; HMOX 1; Hmox; HMOX1; HO 1; HO-1; HO; HO1; Hsp32; bK286B10; D8Wsu38e; HMOX1_HUMAN. |
| 产品应用 | WB=1:2000-20000, IHC-P=1:100-500, IHC-F=1:100-500, ICC/IF=1:50-200, IF=1:100-500, Flow-Cyt=1:50-100 Not yet tested in other applications. |
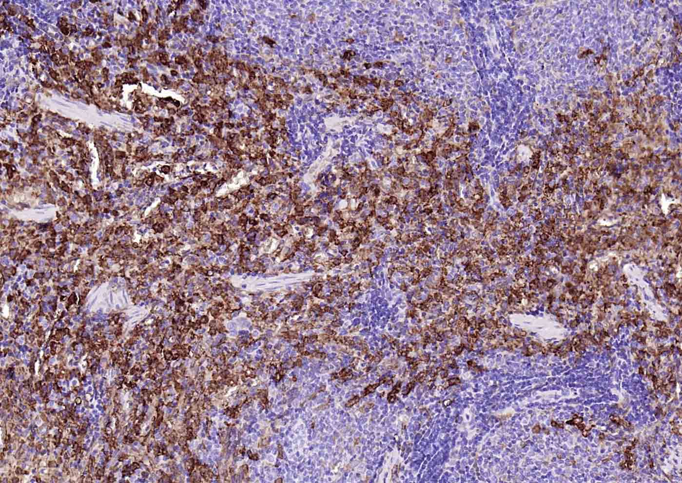
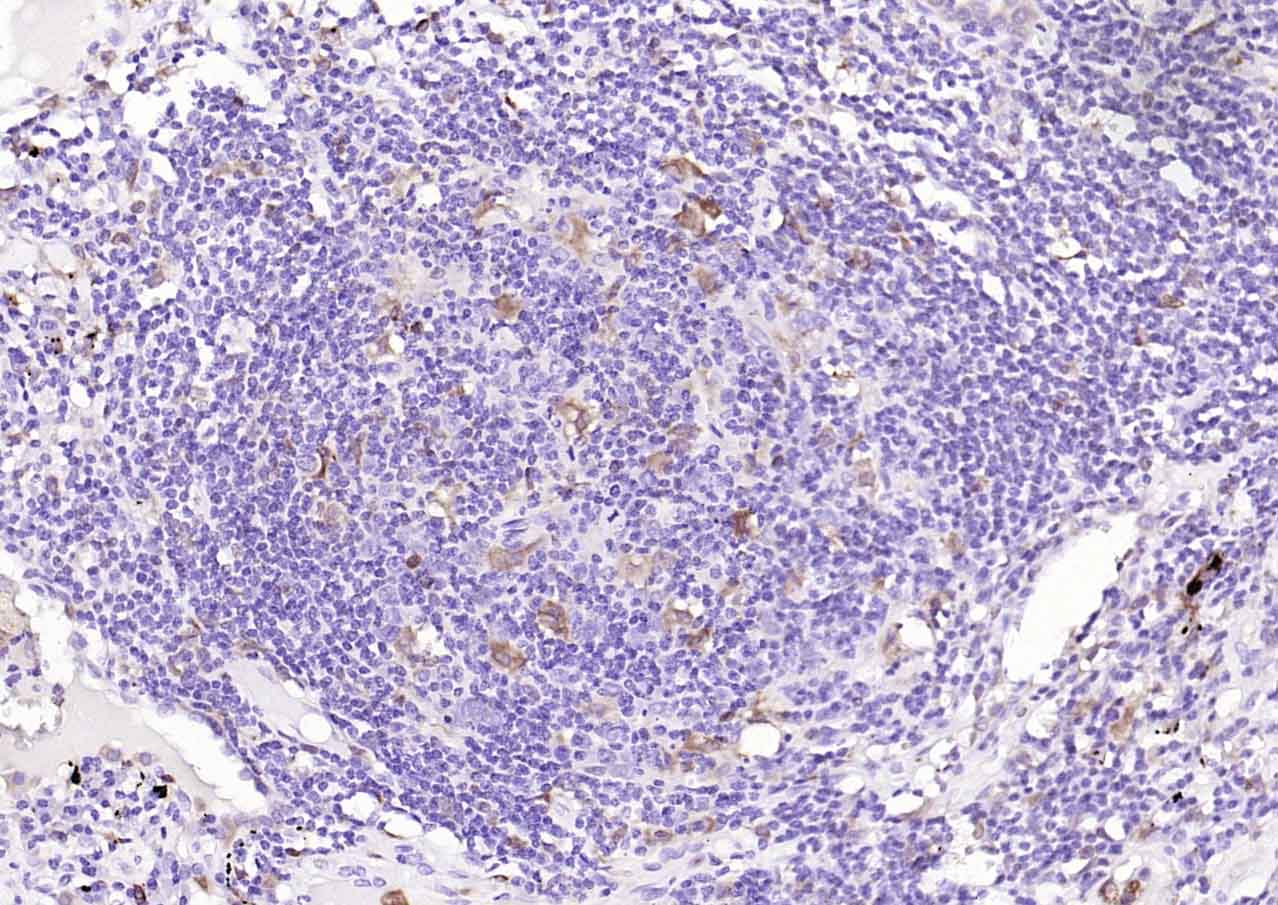
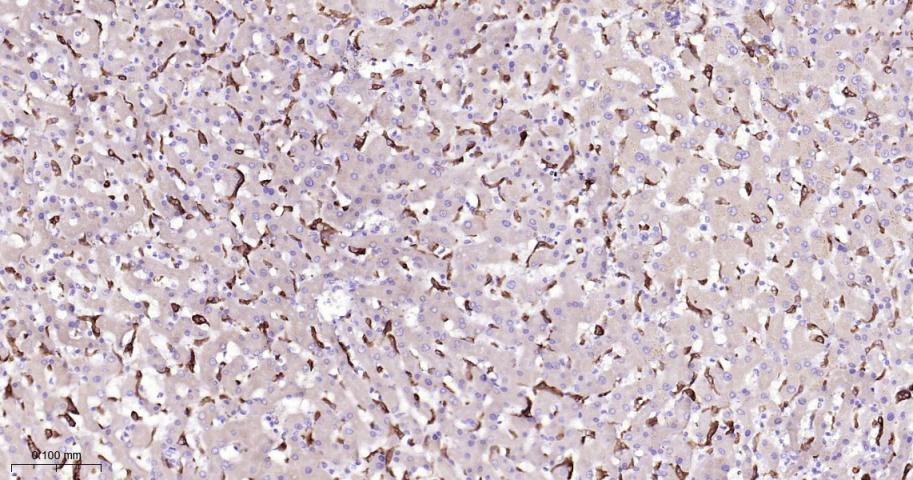
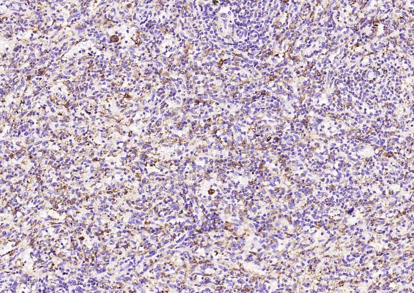
| 交叉反应 | Human, Mouse, Rat, spleen, spleen, spleen, spleen, thymus, thymus, thymus, thymus, human lung carcinoma, human lung carcinoma, human lung carcinoma, human lung carcinoma, 肝, 肝, 肝, 肝, spleen, spleen, spleen, thymus, thymus, thymus |
| 抗体来源 | Rabbit |
| 免疫原 | KLH conjugated synthetic peptide derived from human Heme Oxygenase 1 |
| 亚型 | IgG |
| 性状 | Liquid |
| 纯化方法 | affinity purified by Protein A |
| 克隆类型 | Recombinant |
| 理论分子量 | 32 kDa |
| 浓度 | 1mg/ml |
| 储存液 | PBS, Glycerol, BSA. |
| 研究领域 | Cancer > Cancer Metabolism > Response to hypoxia Cardiovascular > Atherosclerosis > Vascular Inflammation > Inflammatory mediators Cardiovascular > Blood > Platelets Cardiovascular > Vasculature > Endothelium Epigenetics and Nuclear Signaling > Nuclear Signaling Pathways > NFkB pathway Metabolism > Pathways and Processes > Metabolism processes > Hypoxia Metabolism > Types of disease > Cancer Metabolism > Types of disease > Heart disease Metabolism > Types of disease > Neurodegenerative disease Neuroscience > Neurology process > Neurodegenerative disease > Alzheimer's disease Signal Transduction > Signaling Pathway > Nuclear Signaling > NFkB Pathway |
| 亚细胞定位 | Microsome. Endoplasmic reticulum. |
| 组织特异性 | Expressed at higher levels in renal cancer tissue than in normal tissue (at protein level). |
| 相似性 | Belongs to the heme oxygenase family. |
| 功能 | Heme oxygenase cleaves the heme ring at the alpha methene bridge to form biliverdin. Biliverdin is subsequently converted to bilirubin by biliverdin reductase. Under physiological conditions, the activity of heme oxygenase is highest in the spleen, where senescent erythrocytes are sequestrated and destroyed. |
| 保存条件 | Shipped at 4℃. Store at -20℃ for one year. Avoid repeated freeze/thaw cycles. |
| 注意事项 | This product as supplied is intended for research use only, not for use in human, therapeutic or diagnostic applications. |
| 背景资料 | The hemeoxygenase-1 calls that the hemoglobin oxidizes to synthesize the enzyme again-1( hemeoxygenase-1, HO-1) is the catalyst enzyme that a kind of hemoglobin declines the solution, under the NADPH and the cell dye P-450 revivification enzymes and the member oxygen functions, the catalyst HO-1 hemoglobin declines the solution as the courage green vegetable, CO and irons, the former revivification has the very strong anti- to oxidize the ability after become the red vegetable of courage , the latter is a kind of important letter to make the member. |
| 应用 | 推荐稀释比例 |
| {WB} | {1:2000-20000} |
| {IHC-P} | {1:100-500} |
| {IHC-F} | {1:100-500} |
| {ICC/IF} | {1:50-200} |
| {IF} | {1:100-500} |
| {Flow-Cyt} | {1:50-100} |







Lane 1: Mouse Liver tissue lysates
Lane 2: Mouse Placenta tissue lysates
Lane 3: Mouse NIH/3T3 cell lysates
Lane 4: Rat Spleen tissue lysates
Lane 5: Rat Liver tissue lysates
Lane 6: Human HeLa cell lysates
Lane 7: Human 293T cell lysates
Lane 8: Human HepG2 cell lysates
Primary: Anti-Heme Oxygenase 1 (bsm-60751R) at 1/10000 dilution
Secondary: IRDye800CW Goat Anti-Rabbit IgG at 1/20000 dilution
Predicted band size: 32 kDa
Observed band size: 30 kDa

风险提示:丁香通仅作为第三方平台,为商家信息发布提供平台空间。用户咨询产品时请注意保护个人信息及财产安全,合理判断,谨慎选购商品,商家和用户对交易行为负责。对于医疗器械类产品,请先查证核实企业经营资质和医疗器械产品注册证情况。
文献和实验[IF={{ 8.2 }}] {E Wen. et al. The P2X7-Mediated Mitochondrial ROS as an Emerging Core Target of Tuftsin Nanoparticles in Severe Acute Pancreatitis Therapy via Regulating Mitophagy. ACS APPL MATER INTER. 2025;17(5):7521–7538} {WB} {Mouse}
[IF={{ 4.7 }}] {Keiichi Hiramoto. et al. Induction of Skin Cancer by Long-Term Blue Light Irradiation. BIOMEDICINES. 2023 Aug;11(8):2321} {IHC} {Mouse}
[IF={{ 4.6 }}] {Zhiguang Zhang. et al. The Protective Effect of Marsdenia tenacissima against Cisplatin-Induced Nephrotoxicity Mediated by Inhibiting Oxidative Stress, Inflammation, and Apoptosis. MOLECULES. 2023 Jan;28(22):7582} {WB} {Mouse}
[IF={{ 17.1 }}] {Lei Liu. et al. Myricetin Oligomer Triggers Multi-Receptor Mediated Penetration and Autophagic Restoration of Blood-Brain Barrier for Ischemic Stroke Treatment. ACS NANO. 2024;XXXX(XXX):XXX-XXX} {WB} {Rat}
技术资料暂无技术资料 索取技术资料






