相关产品推荐更多 >

phospho-CPI17 alpha (Thr38) Rabbit pAb(bs-4073R)-50ul/100ul/200ul
¥1180
CD11b Rabbit pAb(bs-1014R)-50ul/100ul/200ul
¥1180
LPA2 Rabbit pAb, PerCP-Cy5.5 conjugated(bs-10368R-PerCP-Cy5.5)-100ul
¥2980
human CD19 Mouse mAb, PE-Cy5 conjugated(bsm-30096M-PE-Cy5)-25T/50T/100T
¥1380
TYW5 Rabbit pAb(bs-9809R)-50ul/100ul/200ul
¥1180
万千商家帮你免费找货
0 人在求购买到急需产品
- 详细信息
- 文献和实验
- 技术资料
- 应用范围:
产品信息以Bioss网站为准
- 规格:
50ul/100ul/25ul
| 规格: | 50ul | 产品价格: | ¥1400.0 |
|---|---|---|---|
| 规格: | 100ul | 产品价格: | ¥2500.0 |
| 规格: | 25ul | 产品价格: | ¥800.0 |
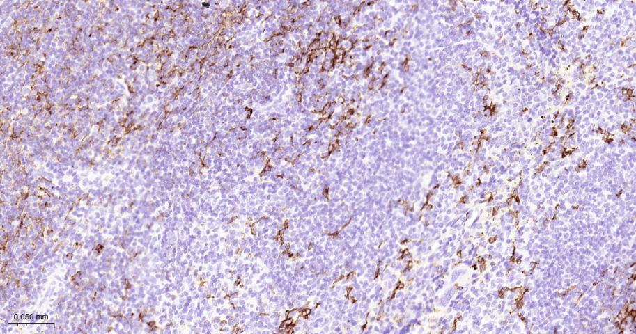
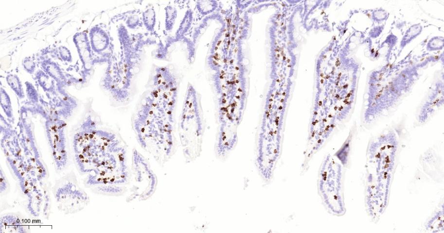
| 产品编号 | bsm-60734R |
| 英文名称 | CD8 alpha Recombinant Rabbit mAb |
| 中文名称 | CD8重组兔单抗 |
| 英文别名 | CD8 antigen, alpha polypeptide(p32); CD8a; CD8a antigen; CD8a molecule; CD8A_HUMAN; Leu2; Leu2 T lymphocyte antigen; MAL; OKT8 T cell antigen; p32; T cell antigen Leu2; T cell co receptor; T-cell surface glycoprotein CD8 alpha chain; T-lymphocyte differentiation antigen T8/Leu-2; T8 T cell antigen. |
| 产品应用 | IHC-P=1:100-500, IHC-F=1:100-500, IF=1:100-500, WB=1:500-2000 Not yet tested in other applications. |
| 交叉反应 | Mouse |
| 抗体来源 | Rabbit |
| 免疫原 | KLH conjugated synthetic peptide derived from human CD8 alpha |
| 亚型 | IgG |
| 性状 | Liquid |
| 纯化方法 | affinity purified by Protein A |
| 克隆类型 | Recombinant |
| 理论分子量 | 27 kDa |
| 储存液 | PBS, Glycerol, BSA. |
| 研究领域 | Cancer > Tumor immunology > CD markers Immunology > Adaptive Immunity > T Cells > CD Immunology > Adaptive Immunity > T Cells > Cytotoxic Cells |
| 亚基 | In general heterodimer of an alpha and a beta chain linked by two disulfide bonds. Can also form homodimers. |
| 亚细胞定位 | Membrane; Single-pass type I membrane protein. |
| 组织特异性 | Most prominently found in the gastrointestinal tract, skin, lung, and brain but not in liver. |
| 相似性 | Contains 1 Ig-like V-type (immunoglobulin-like) domain. |
| 功能 | Identifies cytotoxic/suppressor T-cells that interact with MHC class I bearing targets. CD8 is thought to play a role in the process of T-cell mediated killing. CD8 alpha chains binds to class I MHC molecules alpha-3 domains. |
| 保存条件 | Shipped at 4℃. Store at -20℃ for one year. Avoid repeated freeze/thaw cycles. |
| 注意事项 | This product as supplied is intended for research use only, not for use in human, therapeutic or diagnostic applications. |
| 背景资料 | The CD8 antigen is a cell surface glycoprotein found on most cytotoxic T lymphocytes that mediates efficient cell-cell interactions within the immune system. The CD8 antigen acts as a coreceptor with the T-cell receptor on the T lymphocyte to recognize antigens displayed by an antigen presenting cell in the context of class I MHC molecules. The coreceptor functions as either a homodimer composed of two alpha chains or as a heterodimer composed of one alpha and one beta chain. Both alpha and beta chains share significant homology to immunoglobulin variable light chains. This gene encodes the CD8 alpha chain. Multiple transcript variants encoding different isoforms have been found for this gene. The major protein isoforms of this gene differ by the presence or absence of a transmembrane domain and thus differ in being a membrane-anchored or secreted protein. [provided by RefSeq, May 2020] |
| 应用 | 推荐稀释比例 |
| {IHC-P} | {1:100-500} |
| {IHC-F} | {1:100-500} |
| {IF} | {1:100-500} |
| {WB} | {1:500-2000} |





风险提示:丁香通仅作为第三方平台,为商家信息发布提供平台空间。用户咨询产品时请注意保护个人信息及财产安全,合理判断,谨慎选购商品,商家和用户对交易行为负责。对于医疗器械类产品,请先查证核实企业经营资质和医疗器械产品注册证情况。
文献和实验[IF={{ 6.4 }}] {Mengdi Zhang. et al. Topical transdermal administration of lenalidomide nanosuspensions-based hydrogels against melanoma: In vitro and in vivo studies. INT J PHARM-X. 2025 Jun;9:100316} {IHC} {Mouse}
[IF={{ 12.9 }}] {Wenqiang Chen. et al. Remodeling tumor microenvironment by versatile nanoplatform orchestrated mechanotherapy with chemoimmunotherapy to synergistically enhance anticancer efficiency. BIOMATERIALS. 2025 Jan;:123104} {IF} {Mouse}
到 PVDF 膜上,同时减少蛋白不必要降解,这对于最终获得清晰、可信结果也是需要考虑因素。抗体信息:1.ACC1, Recombinant Rabbit monoclonal IgG. HuaAn. HuaAn biotechnology , inc.2.ATGL, Mouse mAb IgG1, Cat#:RT1058. HuaAn biotechnology , inc.3.p-PERK(Thr981), Rabbit Polyclonal IgG primary antibodies, Cat
The OP9-DL1 System: Generation of T-Lymphocytes from Embryonic or Hematopoietic Stem Cells In Vitro
al. 2006b ). MATERIALS Reagents Anti-CD24 monoclonal antibody (mAb) (J11d clone) (for Protocol 3) Use either culture supernatant that contains anti-CD24 mAb or purified anti-CD24 mAb (see Step 55). BDPharmLyse (red blood cell lysing
,EDTA 缓冲液适用于多数磷酸化酪氨酸特异性抗体,而柠檬酸盐缓冲液适用于其他多数抗体。每天都需制备新鲜的 1X 溶液。抗体:hospho-HER3/ErbB3 (Tyr1289) (D1B5) Rabbit mAb #2842样本:蜡包埋人类肺部肿瘤抗原修复缓冲液:柠檬酸盐缓冲液(左)或者 EDTA 缓冲液(右)煮沸装置载玻片在所推荐的缓冲液中加热煮沸一段时间后,才可引起抗原修复。该步骤通常在微波炉或高压锅中进行。虽然,一些研究人员也使用水浴锅,但是,因为该步骤中所选择的装置对染色存在积极或消极的影响
技术资料暂无技术资料 索取技术资料






