相关产品推荐更多 >

phospho-Mcl1 (Ser159 + Thr163) Rabbit pAb, BF405 conjugated(bs-3265R-BF405)-100ul
¥2980
Myosin light chain (phospho S20) Rabbit pAb, PE conjugated(bs-7052R-PE)-100ul
¥2980
Smad3 Rabbit pAb, AP conjugated(bs-23581R-AP)-100ul
¥2980
NUP214 Rabbit pAb, BF555 conjugated(bs-19544R-BF555)-100ul
¥2980
T4/L-Thyroxine Rabbit pAb(bs-0706R)-50ul/100ul/200ul
¥1180
万千商家帮你免费找货
0 人在求购买到急需产品
- 详细信息
- 文献和实验
- 技术资料
- 应用范围:
产品信息以Bioss网站为准
- 规格:
50ul/100ul/25ul
| 规格: | 50ul | 产品价格: | ¥1400.0 |
|---|---|---|---|
| 规格: | 100ul | 产品价格: | ¥2500.0 |
| 规格: | 25ul | 产品价格: | ¥800.0 |
| 产品编号 | bsm-52514R |
| 英文名称 | p63 Recombinant Rabbit mAb |
| 中文名称 | 肿瘤抑制基因p63单克隆抗体 |
| 英文别名 | P63_HUMAN; Tumor protein 63; TP63; Chronic ulcerative stomatitis protein(CUSP); Keratinocyte transcription factor KET; Transformation-related protein 63(TP63); Tumor protein p73-like(p73L); p40; p51; KET; P63; P73H; P73L; TP73L; AIS; LMS; NBP; RHS; p40; p51; EEC3; OFC8; SHFM4; TP53L; p53CP; TP53CP; B(p51A); B(p51B); P51A; TAp63gamma; P51B; TAp63alpha; P51delta; TAp63delta; P51delNalpha; deltaNp63 alpha; P51delNbeta; deltaNp63 beta; P51delNgamma; deltaNp63gamma; p40-deltaNp63; p40-deltaNp63; |
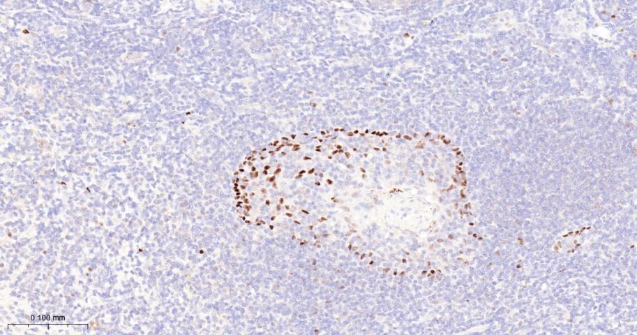
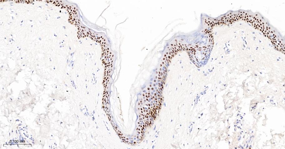
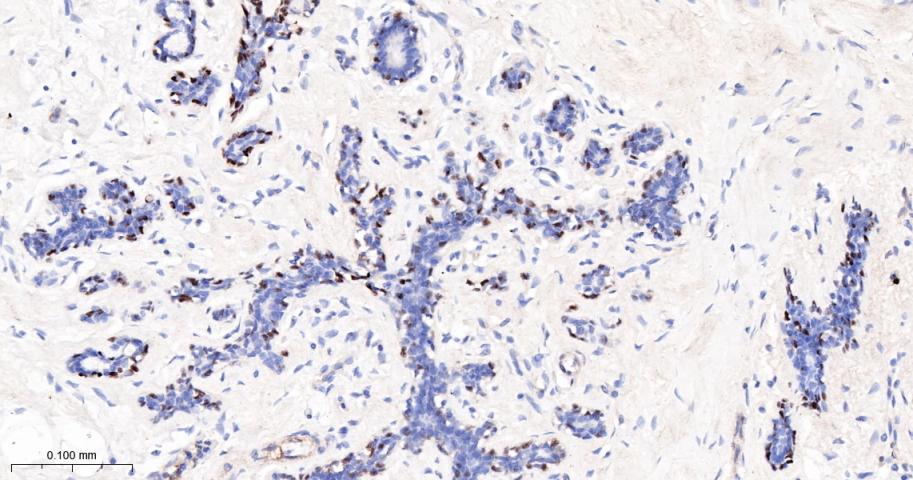
| 产品应用 | WB=1:500-2000, IHC-P=1:100-500, IHC-F=1:100-500, IF=1:100-500 Not yet tested in other applications. |
| 交叉反应 | Human |
| 抗体来源 | Rabbit |
| 免疫原 | A synthesized peptide derived from human p63 |
| 亚型 | IgG |
| 性状 | Liquid |
| 纯化方法 | affinity purified by Protein A |
| 克隆类型 | Recombinant |
| 理论分子量 | 77 kDa |
| 浓度 | 1mg/ml |
| 储存液 | 1*TBS (pH7.4), 0.05% BSA, 40% Glycerol. Preservative: 0.02% Proclin300. |
| 研究领域 | Cancer > Cell cycle > Cell cycle inhibitors > p53 pathway Cancer > Oncoproteins/suppressors > Tumor suppressors > p53 pathway Cell Biology > Apoptosis > Intracellular > p53 Pathway Cell Biology > Cell Cycle > Cell Cycle Inhibitors > p53 Epigenetics and Nuclear Signaling > Cell cycle > Cell Cycle Inhibitors > p53 Epigenetics and Nuclear Signaling > DNA / RNA > DNA Damage & Repair > DNA Damage Response > p53 Epigenetics and Nuclear Signaling > Transcription > Cancer susceptibility > Tumor Suppressors |
| 亚基 | Binds DNA as a homotetramer. Isoform composition of the tetramer may determine transactivation activity. Isoforms Alpha and Gamma interact with HIPK2. Interacts with SSRP1, leading to stimulate coactivator activity. Isoform 1 and isoform 2 interact with WWP1. Interacts with PDS5A. Isoform 5 (via activation domain) interacts with NOC2L. |
| 亚细胞定位 | Nucleus. |
| 组织特异性 | Widely expressed, notably in heart, kidney, placenta, prostate, skeletal muscle, testis and thymus, although the precise isoform varies according to tissue type. Progenitor cell layers of skin, breast, eye and prostate express high levels of DeltaN-type isoforms. Isoform 10 is predominantly expressed in skin squamous cell carcinomas, but not in normal skin tissues. |
| 翻译后修饰 | May be sumoylated. Ubiquitinated. Polyubiquitination involves WWP1 and leads to proteasomal degradation of this protein. |
| 相似性 | Belongs to the p53 family. Contains 1 SAM (sterile alpha motif) domain. |
| 功能 | Acts as a sequence specific DNA binding transcriptional activator or repressor. The isoforms contain a varying set of transactivation and auto-regulating transactivation inhibiting domains thus showing an isoform specific activity. May be required in conjunction with TP73/p73 for initiation of p53/TP53 dependent apoptosis in response to genotoxic insults and the presence of activated oncogenes. Involved in Notch signaling by probably inducing JAG1 and JAG2. Plays a role in the regulation of epithelial morphogenesis. The ratio of DeltaN-type and TA*-type isoforms may govern the maintenance of epithelial stem cell compartments and regulate the initiation of epithelial stratification from the undifferentiated embryonal ectoderm. Required for limb formation from the apical ectodermal ridge. |
| 保存条件 | Shipped at 4℃. Store at -20℃ for one year. Avoid repeated freeze/thaw cycles. |
| 注意事项 | This product as supplied is intended for research use only, not for use in human, therapeutic or diagnostic applications. |
| 背景资料 | This gene encodes a member of the p53 family of transcription factors. An animal model, p63 -/- mice, has been useful in defining the role this protein plays in the development and maintenance of stratified epithelial tissues. p63 -/- mice have several developmental defects which include the lack of limbs and other tissues, such as teeth and mammary glands, which develop as a result of interactions between mesenchyme and epithelium. Mutations in this gene are associated with ectodermal dysplasia, and cleft lip/palate syndrome 3 (EEC3); split-hand/foot malformation 4 (SHFM4); ankyloblepharon-ectodermal defects-cleft lip/palate; ADULT syndrome (acro-dermato-ungual-lacrimal-tooth); limb-mammary syndrome; Rap-Hodgkin syndrome (RHS); and orofacial cleft 8. Both alternative splicing and the use of alternative promoters results in multiple transcript variants encoding different proteins. Many transcripts encoding different proteins have been reported but the biological validity and the full-length nature of these variants have not been determined. [provided by RefSeq, Jul 2008]. |
| 应用 | 推荐稀释比例 |
| {WB} | {1:500-2000} |
| {IHC-P} | {1:100-500} |
| {IHC-F} | {1:100-500} |
| {IF} | {1:100-500} |






风险提示:丁香通仅作为第三方平台,为商家信息发布提供平台空间。用户咨询产品时请注意保护个人信息及财产安全,合理判断,谨慎选购商品,商家和用户对交易行为负责。对于医疗器械类产品,请先查证核实企业经营资质和医疗器械产品注册证情况。
文献和实验[IF={{ 2.7 }}] {Zhou Bosen. et al. Transformation zone at the vallate papillae: a significant source of papillomavirus infection at the base of the tongue?. J CANCER RES CLIN. 2024 Nov;150(11):1-11} {IF} {Human}
到 PVDF 膜上,同时减少蛋白不必要降解,这对于最终获得清晰、可信结果也是需要考虑因素。抗体信息:1.ACC1, Recombinant Rabbit monoclonal IgG. HuaAn. HuaAn biotechnology , inc.2.ATGL, Mouse mAb IgG1, Cat#:RT1058. HuaAn biotechnology , inc.3.p-PERK(Thr981), Rabbit Polyclonal IgG primary antibodies, Cat
The OP9-DL1 System: Generation of T-Lymphocytes from Embryonic or Hematopoietic Stem Cells In Vitro
al. 2006b ). MATERIALS Reagents Anti-CD24 monoclonal antibody (mAb) (J11d clone) (for Protocol 3) Use either culture supernatant that contains anti-CD24 mAb or purified anti-CD24 mAb (see Step 55). BDPharmLyse (red blood cell lysing
技术资料暂无技术资料 索取技术资料





