相关产品推荐更多 >
万千商家帮你免费找货
0 人在求购买到急需产品
- 详细信息
- 文献和实验
- 技术资料
- 应用范围:
产品信息以Bioss网站为准
- 规格:
50ul/100ul/25ul
| 规格: | 50ul | 产品价格: | ¥1400.0 |
|---|---|---|---|
| 规格: | 100ul | 产品价格: | ¥2500.0 |
| 规格: | 25ul | 产品价格: | ¥800.0 |
| 产品编号 | bsm-60648R |
| 英文名称 | HES5 Recombinant Rabbit mAb |
| 中文名称 | 发状分裂相关增强子-5重组兔单抗 |
| 英文别名 | BHLHB38; Transcription factor HES-5; Class B basic helix-loop-helix protein 38(bHLHb38); Hairy and enhancer of split 5; HES 5; HES5 protein; MGI:104876; HES5_HUMAN. |
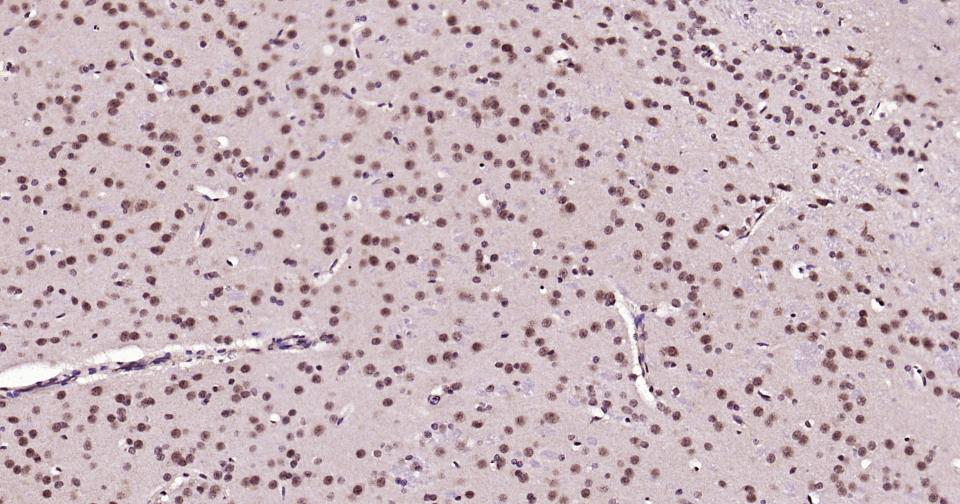
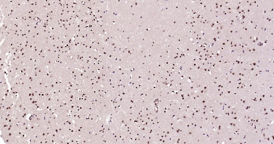
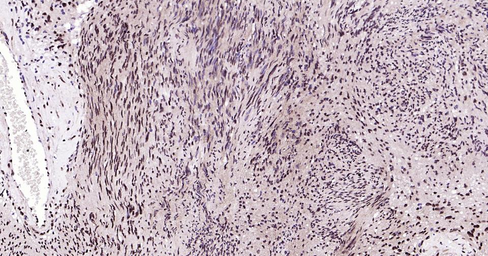
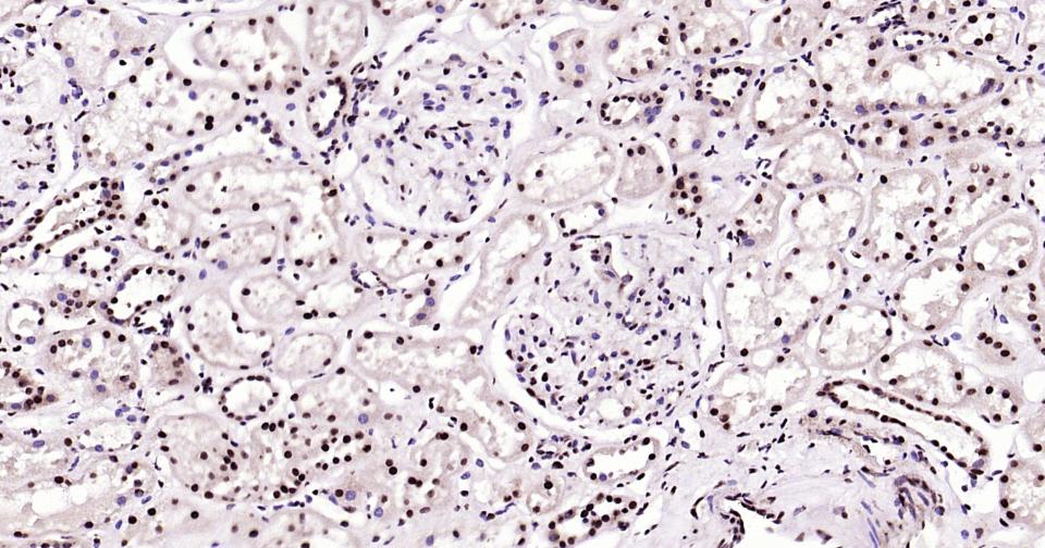
| 产品应用 | WB=1:500-2000, IHC-P=1:100-500, IHC-F=1:100-500, IF=1:100-500 Not yet tested in other applications. |
| 交叉反应 | Human, Mouse, Rat |
| 抗体来源 | Rabbit |
| 免疫原 | A synthesized peptide derived from human HES5 |
| 亚型 | IgG |
| 性状 | Liquid |
| 纯化方法 | affinity purified by Protein A |
| 克隆类型 | Recombinant |
| 理论分子量 | 18 kDa |
| 浓度 | 1mg/ml |
| 储存液 | 0.01M TBS (pH7.4) with 1% BSA, 0.02% Proclin300 and 50% Glycerol. |
| 研究领域 | Epigenetics and Nuclear Signaling > Transcription > Domain Families > HLH / Leucine Zipper > HLH Epigenetics and Nuclear Signaling > Transcription > Transcription Factors Neuroscience > Neurology process > Notch Pathway Stem Cells > Neural Stem Cells > Intracellular Stem Cells > Signaling Pathways > Notch > Nuclear |
| 亚基 | Transcription repression requires formation of a complex with a corepressor protein of the Groucho/TLE family. |
| 亚细胞定位 | Nucleus. |
| 组织特异性 | Expressed in fetal heart and brain tumors. |
| 相似性 | Contains 1 basic helix-loop-helix (bHLH) domain. Contains 1 Orange domain. |
| 功能 | Transcriptional repressor of genes that require a bHLH protein for their transcription |
| 保存条件 | Shipped at 4℃. Store at -20℃ for one year. Avoid repeated freeze/thaw cycles. |
| 注意事项 | This product as supplied is intended for research use only, not for use in human, therapeutic or diagnostic applications. |
| 背景资料 | This gene encodes a member of a family of basic helix-loop-helix transcriptional repressors. The protein product of this gene, which is activated downstream of the Notch pathway, regulates cell differentiation in multiple tissues. Disruptions in the normal expression of this gene have been associated with developmental diseases and cancer. [provided by RefSeq, Dec 2008] |
| 应用 | 推荐稀释比例 |
| {WB} | {1:500-2000} |
| {IHC-P} | {1:100-500} |
| {IHC-F} | {1:100-500} |
| {IF} | {1:100-500} |








风险提示:丁香通仅作为第三方平台,为商家信息发布提供平台空间。用户咨询产品时请注意保护个人信息及财产安全,合理判断,谨慎选购商品,商家和用户对交易行为负责。对于医疗器械类产品,请先查证核实企业经营资质和医疗器械产品注册证情况。
文献和实验到 PVDF 膜上,同时减少蛋白不必要降解,这对于最终获得清晰、可信结果也是需要考虑因素。抗体信息:1.ACC1, Recombinant Rabbit monoclonal IgG. HuaAn. HuaAn biotechnology , inc.2.ATGL, Mouse mAb IgG1, Cat#:RT1058. HuaAn biotechnology , inc.3.p-PERK(Thr981), Rabbit Polyclonal IgG primary antibodies, Cat
The OP9-DL1 System: Generation of T-Lymphocytes from Embryonic or Hematopoietic Stem Cells In Vitro
al. 2006b ). MATERIALS Reagents Anti-CD24 monoclonal antibody (mAb) (J11d clone) (for Protocol 3) Use either culture supernatant that contains anti-CD24 mAb or purified anti-CD24 mAb (see Step 55). BDPharmLyse (red blood cell lysing
技术资料暂无技术资料 索取技术资料









