Cell line: HeLa
Fixative: 100% Ice-cold methanol
Permeabilization: 0.1% TritonX-100
Primary ab dilution: 1:50
Primary incubation condition: 4°C overnight Nuclear counter stain: DAPI (Blue)
Counter stain: Tubulin (Red)
Comment: Color green is the positive signal for bsm-60335M
相关产品推荐更多 >

MEGF6/EGFL3 Rabbit pAb(bs-18776R)-50ul/100ul/200ul
¥1180
Choline kinase alpha Rabbit pAb(bs-13921R)-50ul/100ul/200ul
¥1180
phospho-c-Kit (Tyr568 + Tyr570) Rabbit pAb, PE conjugated(bs-12916R-PE)-100ul
¥2980
Dermatopontin Rabbit pAb(bs-14282R)-50ul/100ul/200ul
¥1180
CRHBP Rabbit pAb, Biotin conjugated(bs-9906R-Bio)-100ul
¥2980
万千商家帮你免费找货
0 人在求购买到急需产品
- 详细信息
- 技术资料
- 应用范围:
产品信息以Bioss网站为准
- 规格:
50ul/100ul/25ul
| 规格: | 50ul | 产品价格: | ¥1400.0 |
|---|---|---|---|
| 规格: | 100ul | 产品价格: | ¥2500.0 |
| 规格: | 25ul | 产品价格: | ¥800.0 |
| 产品编号 | bsm-60335M |
| 英文名称 | PABPN1 Recombinant Mouse mAb |
| 产品应用 | WB=1:500-1000, IHC-P=1:100-500, IHC-F=1:100-500, ICC/IF=1:100-500, IF=1:100-500 Not yet tested in other applications. |
| 交叉反应 | Human, Mouse, Rat |
| 抗体来源 | Mouse |
| 亚型 | IgG1, Kappa |
| 性状 | Liquid |
| 纯化方法 | affinity purified by Protein G |
| 克隆类型 | Recombinant |
| 浓度 | 1mg/ml |
| 储存液 | 0.01M TBS (pH7.4) with 1% BSA, 0.02% Proclin300 and 50% Glycerol. |
| 研究领域 | Epigenetics and Nuclear Signaling > Chromatin Binding Proteins > DNA / RNA binding Epigenetics and Nuclear Signaling > DNA / RNA > RNA Processing Epigenetics and Nuclear Signaling > DNA / RNA > RNA Processing > Splicing Epigenetics and Nuclear Signaling > RNAi > P bodies/GW bodies Epigenetics and Nuclear Signaling > Transcription > Other factors |
| 亚基 | May interact with SETX (PubMed:21700224). Monomer and homooligomer. Binds RNA as a monomer and oligomerizes when bound to poly(A). Interacts with PAPOLA, but only in presence of oligo(A) RNA. Interacts with transportin. Identified in a IGF2BP1-dependent mRNP granule complex containing untranslated mRNAs. Association in a ternary complex with CPSF4 and influenza A virus NS1 blocks pre-mRNAs processing, thereby preventing nuclear export of host cell mRNAs. Associates in a single complex with SKIP and MYOD1 and interacts with SKIP in differentiated myocytes. Interacts with NUDT21/CPSF5. |
| 亚细胞定位 | Cytoplasmic and Nuclear. |
| 组织特异性 | Ubiquitous. |
| 翻译后修饰 | Arginine dimethylation is asymmetric and involves PRMT1 and PRMT3. It does not influence the RNA binding properties (By similarity). |
| 相似性 | Contains 1 RRM (RNA recognition motif) domain. |
| 功能 | Involved in the 3'-end formation of mRNA precursors (pre-mRNA) by the addition of a poly(A) tail of 200-250 nt to the upstream cleavage product. Stimulates poly(A) polymerase (PAPOLA) conferring processivity on the poly(A) tail elongation reaction and controls also the poly(A) tail length. Increases the affinity of poly(A) polymerase for RNA. Is also present at various stages of mRNA metabolism including nucleocytoplasmic trafficking and nonsense-mediated decay (NMD) of mRNA. Cooperates with SKIP to synergistically activate E-box-mediated transcription through MYOD1 and may regulate the expression of muscle-specific genes. Binds to poly(A) and to poly(G) with high affinity. May protect the poly(A) tail from degradation (By similarity). |
| 保存条件 | Shipped at 4℃. Store at -20℃ for one year. Avoid repeated freeze/thaw cycles. |
| 注意事项 | This product as supplied is intended for research use only, not for use in human, therapeutic or diagnostic applications. |
| 背景资料 | This gene encodes an abundant nuclear protein that binds with high affinity to nascent poly(A) tails. The protein is required for progressive and efficient polymerization of poly(A) tails at the 3' ends of eukaryotic transcripts and controls the size of the poly(A) tail to about 250 nt. At steady-state, this protein is localized in the nucleus whereas a different poly(A) binding protein is localized in the cytoplasm. This gene contains a GCG trinucleotide repeat at the 5' end of the coding region, and expansion of this repeat from the normal 6 copies to 8-13 copies leads to autosomal dominant oculopharyngeal muscular dystrophy (OPMD) disease. Related pseudogenes have been identified on chromosomes 19 and X. Read-through transcription also exists between this gene and the neiGHBoring upstream BCL2-like 2 (BCL2L2) gene. [provided by RefSeq, Dec 2010] |
| 应用 | 推荐稀释比例 |
| {WB} | {1:500-1000} |
| {IHC-P} | {1:100-500} |
| {IHC-F} | {1:100-500} |
| {ICC/IF} | {1:100-500} |
| {IF} | {1:100-500} |


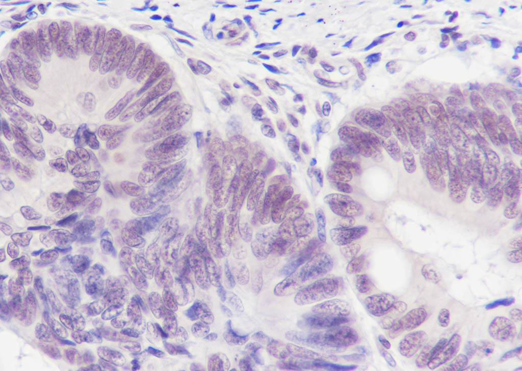
Tissue: Human colon cancer
Section type: Formalin fixed & Paraffin -embedded section
Retrieval method: High temperature and high pressure
Retrieval buffer: Tris/EDTA buffer, pH 9.0 Primary ab dilution: 1:100
Primary ab incubation condition: 1 hour at room temperature
Counter stain: Hematoxylin
Comment: Color brown is the positive signal for bsm-60335M
Section type: Formalin fixed & Paraffin -embedded section
Retrieval method: High temperature and high pressure
Retrieval buffer: Tris/EDTA buffer, pH 9.0 Primary ab dilution: 1:100
Primary ab incubation condition: 1 hour at room temperature
Counter stain: Hematoxylin
Comment: Color brown is the positive signal for bsm-60335M

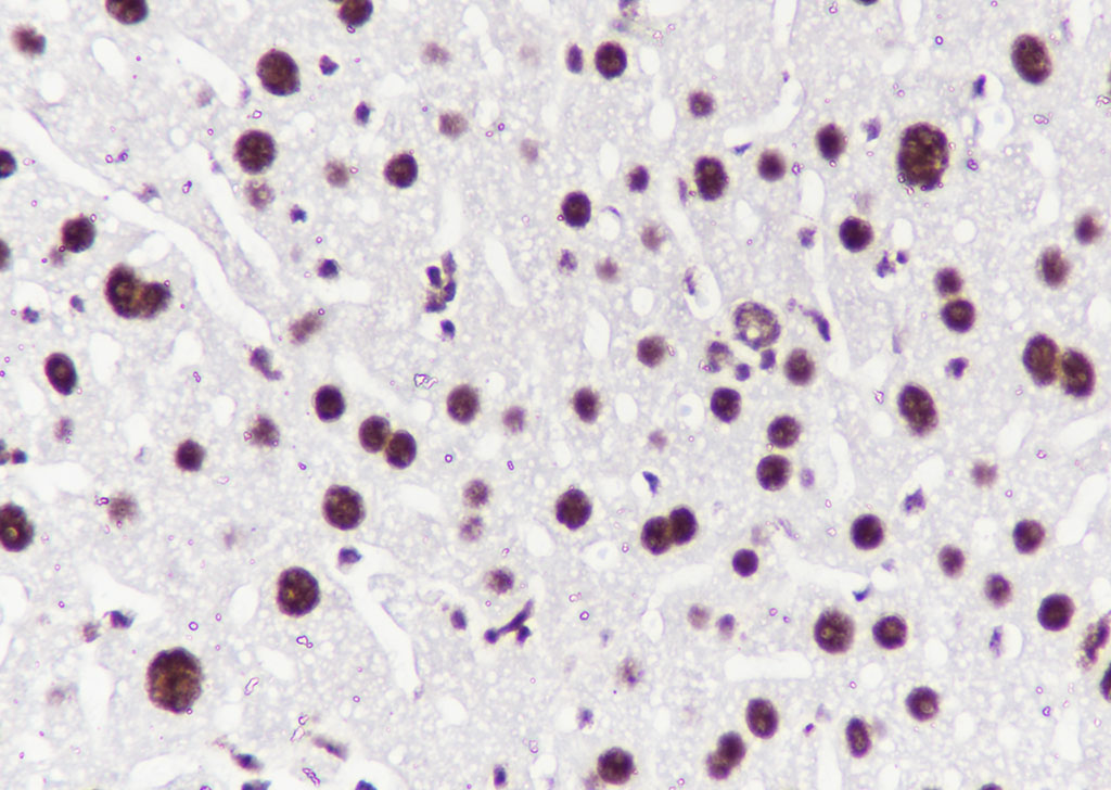
Tissue: Mouse liver
Section type: Formalin fixed & Paraffin -embedded section
Retrieval method: High temperature and high pressure
Retrieval buffer: Tris/EDTA buffer, pH 9.0 Primary ab dilution: 1:100
Primary ab incubation condition: 1 hour at room temperature
Counter stain: Hematoxylin
Comment: Color brown is the positive signal for bsm-60335M
Section type: Formalin fixed & Paraffin -embedded section
Retrieval method: High temperature and high pressure
Retrieval buffer: Tris/EDTA buffer, pH 9.0 Primary ab dilution: 1:100
Primary ab incubation condition: 1 hour at room temperature
Counter stain: Hematoxylin
Comment: Color brown is the positive signal for bsm-60335M

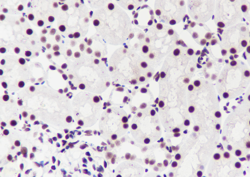
Tissue: Rat kidney
Section type: Formalin fixed & Paraffin -embedded section
Retrieval method: High temperature and high pressure
Retrieval buffer: Tris/EDTA buffer, pH 9.0 Primary ab dilution: 1:100
Primary ab incubation condition: 1 hour at room temperature
Counter stain: Hematoxylin
Comment: Color brown is the positive signal for bsm-60335M
Section type: Formalin fixed & Paraffin -embedded section
Retrieval method: High temperature and high pressure
Retrieval buffer: Tris/EDTA buffer, pH 9.0 Primary ab dilution: 1:100
Primary ab incubation condition: 1 hour at room temperature
Counter stain: Hematoxylin
Comment: Color brown is the positive signal for bsm-60335M

Blocking buffer: 5% NFDM/TBST
Primary ab dilution: 1:1000
Primary ab incubation condition: 4°C overnight
Lysate: HeLa, MCF-7, 3T3, Jurkat
Protein loading quantity: 20 μg
Exposure time: 30 s
Predicted MW: 56 kDa
Observed MW: 54 kDa
Primary ab dilution: 1:1000
Primary ab incubation condition: 4°C overnight
Lysate: HeLa, MCF-7, 3T3, Jurkat
Protein loading quantity: 20 μg
Exposure time: 30 s
Predicted MW: 56 kDa
Observed MW: 54 kDa
风险提示:丁香通仅作为第三方平台,为商家信息发布提供平台空间。用户咨询产品时请注意保护个人信息及财产安全,合理判断,谨慎选购商品,商家和用户对交易行为负责。对于医疗器械类产品,请先查证核实企业经营资质和医疗器械产品注册证情况。
技术资料暂无技术资料 索取技术资料
PABPN1 Recombinant Mouse mAb(bsm-60335M)-50ul/100ul/25ul
¥800 - 2500





