相关产品推荐更多 >
万千商家帮你免费找货
0 人在求购买到急需产品
- 详细信息
- 技术资料
- 免疫原:
recombinant protein
- 形态:
liquid
- 保存条件:
Store at -20˚C
- 克隆性:
Monoclonal antibody
- 适应物种:
Human;Mouse
- 保质期:
12 months
- 抗原来源:
Recombinant Rabbit
- 供应商:
南京赛戈巍生物科技有限公司
- 宿主:
Recombinant Rabbit
- 应用范围:
WB, ICC/IF, IHC, FC, IP
- 靶点:
Uniprot:Q86U42
- 抗体英文名:
PABPN1 Rabbit mAb
- 规格:
50ul/100ul
OPMD antibody
PAB2 antibody
PABII antibody
PABP 2 antibody
pABP-2 antibody
PABP2 antibody
PABP2_HUMAN antibody
PABPII antibody
Pabpn1 antibody
poly(A) binding protein nuclear 1 antibody
Poly(A)-binding protein 2 antibody
Poly(A)-binding protein II antibody
PolyA binding protein II antibody
Polyadenylate-binding nuclear protein 1 antibody
Polyadenylate-binding protein 2 antibody
计算分子量:49 kDa
配方:1*TBS (pH7.4), 1%BSA, 40%Glycerol. Preservative: 0.05% Sodium Azide.
应用详情:WB: 1:500-1:2,000
IHC: 1:50-1:200
ICC: 1:50-1:200
IP: 1:10-1:50
FC: 1:50-1:100
图片:
![PABPN1 Rabbit mAb[49479]](https://img1.dxycdn.com/p/s14/2025/0923/726/4262828619198140791.jpg)
Western blot analysis of PABPN1 on MCF-7 cells lysates using anti-PABPN1 antibody at 1/500 dilution.
,
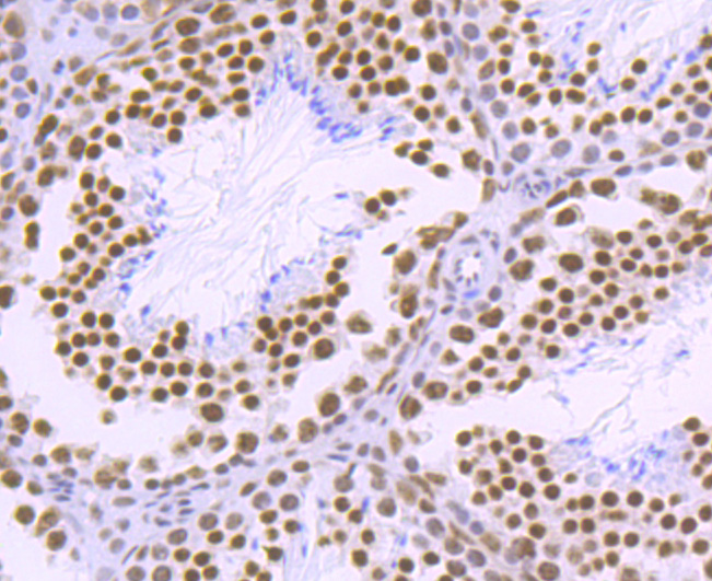
![PABPN1 Rabbit mAb[49479]](https://img1.dxycdn.com/p/s14/2025/0923/654/0025380740298140791.jpg)
Immunohistochemical analysis of paraffin-embedded mouse testis tissue using anti-PABPN1 antibody. Counter stained with hematoxylin.
,
![PABPN1 Rabbit mAb[49479]](https://img1.dxycdn.com/p/s14/2025/0923/073/2950783149198140791.jpg)
ICC staining PABPN1 in AGS cells (green). The nuclear counter stain is DAPI (blue). Cells were fixed in paraformaldehyde, permeabilised with 0.25% Triton X100/PBS.
,
![PABPN1 Rabbit mAb[49479]](https://img1.dxycdn.com/p/s14/2025/0923/189/2597537049198140791.jpg)
ICC staining PABPN1 in SW480 cells (green). The nuclear counter stain is DAPI (blue). Cells were fixed in paraformaldehyde, permeabilised with 0.25% Triton X100/PBS.
,
![PABPN1 Rabbit mAb[49479]](https://img1.dxycdn.com/p/s14/2025/0923/253/4431868529198140791.jpg)
Flow cytometric analysis of Hela cells with PABPN1 antibody at 1/50 dilution (red) compared with an unlabelled control (cells without incubation with primary antibody; black). Alexa Fluor 488-conjugated goat anti rabbit IgG was used as the secondary antibody.
风险提示:丁香通仅作为第三方平台,为商家信息发布提供平台空间。用户咨询产品时请注意保护个人信息及财产安全,合理判断,谨慎选购商品,商家和用户对交易行为负责。对于医疗器械类产品,请先查证核实企业经营资质和医疗器械产品注册证情况。
技术资料暂无技术资料 索取技术资料


![PABPN1 Rabbit mAb[49479]](https://img1.dxycdn.com/p/s14/2025/0923/496/0462304380155040791.jpg)


![KCNMB4 Conjugated Antibody[C37680]](https://img1.dxycdn.com/p/s14/2025/0923/278/4431488150116040791.jpg!wh200)
![PROM2 Antibody[62167]](https://img1.dxycdn.com/p/s14/2025/0922/632/2321321568067599691.jpg!wh200)
![FAM234A Antibody[43873]](https://img1.dxycdn.com/p/s14/2025/0922/568/0046652811090600791.jpg!wh200)
![GPR55 Rabbit Polyclonal Antibody[53454]](https://img1.dxycdn.com/p/s14/2025/0922/498/0460884283108299691.jpg!wh200)
